Skip to main content

Complement Factor I Antibody (OTI7C9) - Azide and BSA Free

Novus Biologicals, part of Bio-Techne | Catalog # NBP2-70997

Novus Biologicals, part of Bio-Techne

Key Product Details

Species Reactivity

Human

Applications

Immunohistochemistry, Immunohistochemistry-Paraffin, Western Blot

Label

Unconjugated

Antibody Source

Monoclonal Mouse IgG2A Clone # OTI7C9

Format

Azide and BSA Free

Concentration

LYOPH mg/ml

Product Specifications

Immunogen

Human recombinant protein fragment corresponding to amino acids 340-583 of human CFI(NP_000195) produced in E.coli.

Clonality

Monoclonal

Host

Mouse

Isotype

IgG2A

Theoretical MW

63.4 kDa.
Disclaimer note: The observed molecular weight of the protein may vary from the listed predicted molecular weight due to post translational modifications, post translation cleavages, relative charges, and other experimental factors.

Description

Novus Biologicals Mouse Complement Factor I Antibody (OTI7C9) - Azide and BSA Free (NBP2-46264) is a monoclonal antibody validated for use in IHC and WB. All Novus Biologicals antibodies are covered by our 100% guarantee.

Scientific Data Images for Complement Factor I Antibody (OTI7C9) - Azide and BSA Free

Western Blot: Complement Factor I Antibody (OTI7C9)Azide and BSA Free [NBP2-70997]

Western Blot: Complement Factor I Antibody (OTI7C9)Azide and BSA Free [NBP2-70997]

Western Blot: Complement Factor I Antibody (OTI7C9) - Azide and BSA Free [NBP2-70997] - Analysis of HEK293T cells were transfected with the pCMV6-ENTRY control (Left lane) or pCMV6-ENTRY Complement Factor 1.
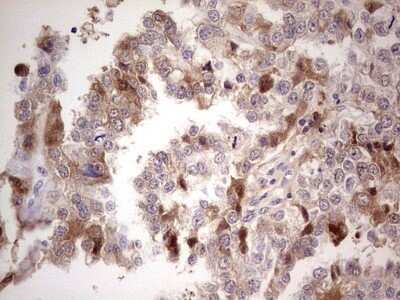
Immunohistochemistry: Complement Factor I Antibody (OTI7C9) - Azide and BSA Free [NBP2-70997]

Immunohistochemistry: Complement Factor I Antibody (OTI7C9) - Azide and BSA Free [NBP2-70997]

Immunohistochemistry: Complement Factor I Antibody (OTI7C9) - Azide and BSA Free [NBP2-70997] - Analysis of Carcinoma of Human lung tissue, dilution 1:150
Immunohistochemistry: Complement Factor I Antibody (OTI7C9) - Azide and BSA Free [NBP2-70997]

Immunohistochemistry: Complement Factor I Antibody (OTI7C9) - Azide and BSA Free [NBP2-70997]

Immunohistochemistry: Complement Factor I Antibody (OTI7C9) - Azide and BSA Free [NBP2-70997] - Analysis of Adenocarcinoma of Human ovary tissue, dilution 1:150

Applications for Complement Factor I Antibody (OTI7C9) - Azide and BSA Free

Application
Recommended Usage

Western Blot

1:2000

Formulation, Preparation, and Storage

Purification

Immunogen affinity purified

Reconstitution

we recommend adding 100uL distilled water to a final antibody concentration of about 1 mg/mL. To use this carrier-free antibody for conjugation experiment, we strongly recommend performing another round of desalting process.

Formulation

Lyophilized from PBS (pH 7.3) with 8% Trehalose

Format

Azide and BSA Free

Preservative

No Preservative

Concentration

LYOPH mg/ml

Shipping

The product is shipped with polar packs. Upon receipt, store it immediately at the temperature recommended below.

Stability & Storage

Store at -20C. Avoid freeze-thaw cycles.

Background: Complement Factor I

Factor I is a plasma protein of molecular weight 88 kDa, consisting of two disulphide linked chains of 50 and 38 kDa. Factor I is a serine protease with a high degree of specificity for C3b and C4b. It has a requirement for protein cofactors for cleavage of these complement proteins, Factor H, CR1 or MCP are required for C3b cleavage and C4bp or CR1 for C4b cleavage.

Alternate Names

C3b Inactivator, CFI

Gene Symbol

CFI

Additional Complement Factor I Products

Product Documents for Complement Factor I Antibody (OTI7C9) - Azide and BSA Free

Certificate of Analysis

To download a Certificate of Analysis, please enter a lot number in the search box below.

Product Specific Notices for Complement Factor I Antibody (OTI7C9) - Azide and BSA Free

This product is for research use only and is not approved for use in humans or in clinical diagnosis. Primary Antibodies are guaranteed for 1 year from date of receipt.

Loading...
Loading...
Loading...
Loading...
Loading...