Skip to main content

Complement Factor H Antibody - BSA Free

Novus Biologicals, part of Bio-Techne | Catalog # NBP2-33933

Novus Biologicals, part of Bio-Techne
Catalog #
Availability
Size / Price
Qty
Loading...
NBP2-33933
NBP2-33933-25ul

Key Product Details

Species Reactivity

Human

Applications

Immunohistochemistry, Immunohistochemistry-Paraffin, Western Blot

Label

Unconjugated

Antibody Source

Polyclonal Rabbit IgG

Format

BSA Free

Concentration

Concentrations vary lot to lot. See vial label for concentration. If unlisted please contact technical services.

Product Specifications

Immunogen

This antibody was developed against a recombinant protein corresponding to amino acids: CNELPPRRNTEILTGSWSDQTYPEGTQAIYKCRPGYRSLGNVIMVCRKGEWVALNPLRKCQKRPCGHPGDTPFGTFTLTGGNVFEYGVKA

Clonality

Polyclonal

Host

Rabbit

Isotype

IgG

Description

Novus Biologicals Rabbit Complement Factor H Antibody - BSA Free (NBP2-33933) is a polyclonal antibody validated for use in IHC and WB. All Novus Biologicals antibodies are covered by our 100% guarantee.

Scientific Data Images for Complement Factor H Antibody - BSA Free

Western Blot: Complement Factor H Antibody [NBP2-33933]

Western Blot: Complement Factor H Antibody [NBP2-33933]

Western Blot: Complement Factor H Antibody [NBP2-33933] - Analysis in human plasma.
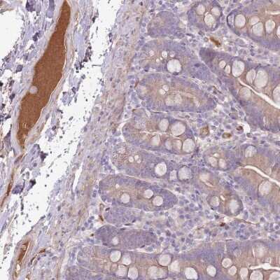
Immunohistochemistry-Paraffin: Complement Factor H Antibody [NBP2-33933]

Immunohistochemistry-Paraffin: Complement Factor H Antibody [NBP2-33933]

Immunohistochemistry-Paraffin: Complement Factor H Antibody [NBP2-33933] - Immunohistochemical staining of human small intestine shows strong plasma positivity.

Applications for Complement Factor H Antibody - BSA Free

Application
Recommended Usage

Immunohistochemistry

1:200 - 1:500

Immunohistochemistry-Paraffin

1:200 - 1:500

Western Blot

0.04-0.4 ug/ml
Application Notes
For IHC-Paraffin, HIER pH 6 retrieval is recommended.

Formulation, Preparation, and Storage

Purification

Immunogen affinity purified

Formulation

PBS (pH 7.2) and 40% Glycerol

Format

BSA Free

Preservative

0.02% Sodium Azide

Concentration

Concentrations vary lot to lot. See vial label for concentration. If unlisted please contact technical services.

Shipping

The product is shipped with polar packs. Upon receipt, store it immediately at the temperature recommended below.

Stability & Storage

Store at 4C short term. Aliquot and store at -20C long term. Avoid freeze-thaw cycles.

Background: Complement Factor H

The complement Factor H protein is secreted into the bloodstream and acts in the regulation of complement activation. Mutations leading to changes in this protein have been linked with HUS (hemolytic-uremic syndrome) and chronic hypocomplementemic nephropathy. Factor H is mainly synthesised in the liver but also in macrophages and endothelium. It is primarily aplasma glycoprotein but is also found in platelets and there is a membrane bound form on some leukocytes. Consisting of a single polypeptide, the major form of Factor H has a molecular weight of 155kDa. There are two truncated forms, a non-glycosylated 49 kDa form and a glycosylated 39-43 kDaform. Plasma concentrations are in the range 200-600mg/L for the 155 kDa form and 1-5mg/L for thetruncated forms. Factor H is a major regulatory protein of the complement system. By binding to C3b it either displacesor prevents the binding of Bb (activated Factor B). When bound to Factor H, C3b is susceptible tocleavage by Factor 1 to yield iC3b. Factor H is released or modified following this cleavage. The regulatory role of Factor H is essential because C3bBb is not only a C5 convertase but a C3 convertaseand so has a positive feedback effect, potentially consuming the entire C3 pool if unregulated.

Alternate Names

ARMD4, ARMS1, beta-1-H-globulin, CFH, CFHL3, FH, FHL1, HF1, HF2, HUS

Gene Symbol

CFH

UniProt

Additional Complement Factor H Products

Product Documents for Complement Factor H Antibody - BSA Free

Certificate of Analysis

To download a Certificate of Analysis, please enter a lot number in the search box below.

Product Specific Notices for Complement Factor H Antibody - BSA Free

This product is for research use only and is not approved for use in humans or in clinical diagnosis. Primary Antibodies are guaranteed for 1 year from date of receipt.

Loading...
Loading...
Loading...
Loading...