Skip to main content

Complement Component C1qA Antibody (C1QA/2952) - Azide and BSA Free

Novus Biologicals, part of Bio-Techne | Catalog # NBP3-08746

Novus Biologicals, part of Bio-Techne

Key Product Details

Species Reactivity

Human

Applications

Immunohistochemistry-Paraffin, Protein Array

Label

Unconjugated

Antibody Source

Monoclonal Mouse IgG2b Kappa Clone # C1QA/2952

Format

Azide and BSA Free

Concentration

1 mg/ml

Product Specifications

Immunogen

Recombinant fragment (around aa 104-237) of human Complement Component C1qA protein (exact sequence is proprietary) (Uniprot: P02745)

Localization

Secreted

Clonality

Monoclonal

Host

Mouse

Isotype

IgG2b Kappa

Theoretical MW

29 kDa.
Disclaimer note: The observed molecular weight of the protein may vary from the listed predicted molecular weight due to post translational modifications, post translation cleavages, relative charges, and other experimental factors.

Description

1.0 mg/ml of antibody purified from Bioreactor Concentrate by Protein A/G. Prepared in 10mM PBS WITHOUT BSA & azide. Also available at 200 ug/ml WITH BSA & azide (NBP3-07731).

Antibody with azide - store at 2 to 8C. Antibody without azide - store at -20 to -80C.

Scientific Data Images for Complement Component C1qA Antibody (C1QA/2952) - Azide and BSA Free

Immunohistochemistry-Paraffin: Complement Component C1qA Antibody (C1QA/2952) - Azide and BSA Free [NBP3-08746]

Immunohistochemistry-Paraffin: Complement Component C1qA Antibody (C1QA/2952) - Azide and BSA Free [NBP3-08746]

Immunohistochemistry-Paraffin: Complement Component C1qA Antibody (C1QA/2952) [NBP3-08746] - Formalin-fixed, paraffin-embedded human Kidney stained with Complement Component C1qA Mouse Monoclonal Antibody (Complement Component C1qA/2952).
Immunohistochemistry-Paraffin: Complement Component C1qA Antibody (C1QA/2952) - Azide and BSA Free [NBP3-08746]

Immunohistochemistry-Paraffin: Complement Component C1qA Antibody (C1QA/2952) - Azide and BSA Free [NBP3-08746]

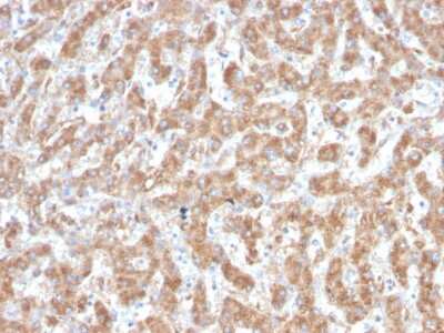
Immunohistochemistry-Paraffin: Complement Component C1qA Antibody (C1QA/2952) [NBP3-08746] - Formalin-fixed, paraffin-embedded human Liver stained with Complement Component C1qA Mouse Monoclonal Antibody (Complement Component C1qA/2952).
Protein Array: Complement Component C1qA Antibody (C1QA/2952) - Azide and BSA Free [NBP3-08746]

Protein Array: Complement Component C1qA Antibody (C1QA/2952) - Azide and BSA Free [NBP3-08746]

Protein Array: Complement Component C1qA Antibody (C1QA/2952) [NBP3-08746] - Analysis of Protein Array containing more than 19,000 full-length human proteins using Complement Component C1qA Mouse Monoclonal Antibody (Complement Component C1qA/2952).

Applications for Complement Component C1qA Antibody (C1QA/2952) - Azide and BSA Free

Application
Recommended Usage

Immunohistochemistry-Paraffin

1-2 ug/ml
Application Notes
Immunohistochemistry Formalin-fixed: 1-2ug/ml for 30 minutes at RT. Staining of formalin-fixed tissues requires heating tissue sections in 10mM Tris with 1mM EDTA, pH 9.0, for 45 min at 95C followed by cooling at RT for 20 minutes.

Formulation, Preparation, and Storage

Purification

Protein A or G purified

Formulation

10 mM PBS

Format

Azide and BSA Free

Preservative

No Preservative

Concentration

1 mg/ml

Shipping

The product is shipped with polar packs. Upon receipt, store it immediately at the temperature recommended below.

Stability & Storage

Store at -20 to -80C. Avoid freeze-thaw cycles.

Background: Complement Component C1qA

Long Name

Complement Component 1q Subcomponent, A Chain

Alternate Names

C1QA

Gene Symbol

C1QA

Additional Complement Component C1qA Products

Product Documents for Complement Component C1qA Antibody (C1QA/2952) - Azide and BSA Free

Certificate of Analysis

To download a Certificate of Analysis, please enter a lot number in the search box below.

Product Specific Notices for Complement Component C1qA Antibody (C1QA/2952) - Azide and BSA Free

This product is for research use only and is not approved for use in humans or in clinical diagnosis. Primary Antibodies are guaranteed for 1 year from date of receipt.

Loading...
Loading...
Loading...
Loading...