Collagen VI alpha 2 Antibody - BSA Free
Novus Biologicals, part of Bio-Techne | Catalog # NBP1-90951
Key Product Details
Validated by
Independent Antibodies
Species Reactivity
Human
Applications
Immunohistochemistry, Immunohistochemistry-Paraffin, Simple Western
Label
Unconjugated
Antibody Source
Polyclonal Rabbit IgG
Format
BSA Free
Concentration
Concentrations vary lot to lot. See vial label for concentration. If unlisted please contact technical services.
Product Specifications
Immunogen
This antibody was developed against Recombinant Protein corresponding to amino acids: TTERNNNCPEKTDCPIHVYFVLDTSESVTMQSPTDILLFHMKQFVPQFISQLQNEFYLDQVALSWRYGGLHFSDQVEVFSPPGSDRASFIKNLQGISSFRRGTFTDCALANMTEQIRQDR
Reactivity Notes
Immunogen displays the following percentage of sequence identity for non-tested species: Mouse (89%), Rat (88%)
Clonality
Polyclonal
Host
Rabbit
Isotype
IgG
Scientific Data Images for Collagen VI alpha 2 Antibody - BSA Free
Immunohistochemistry-Paraffin: Collagen VI alpha 2 Antibody [NBP1-90951]
Immunohistochemistry-Paraffin: Collagen VI alpha 2 Antibody [NBP1-90951] - Staining of human gastrointestinal, pancreas, placenta and prostate using Anti-COL6A2 antibody NBP1-90951 (A) shows similar protein distribution across tissues to independent antibody NBP2-55655 (B).Immunohistochemistry-Paraffin: Collagen VI alpha 2 Antibody [NBP1-90951]
Immunohistochemistry-Paraffin: Collagen VI alpha 2 Antibody [NBP1-90951] - Staining of human prostate shows moderate to strong membranous and cytoplasmic positivity in smooth muscle cells.Immunohistochemistry-Paraffin: Collagen VI alpha 2 Antibody [NBP1-90951]
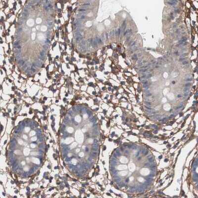
Immunohistochemistry-Paraffin: Collagen VI alpha 2 Antibody [NBP1-90951] - Staining of human colon shows strong positivity in extracellular matrix in lamina propria.Applications for Collagen VI alpha 2 Antibody - BSA Free
Application
Recommended Usage
Immunohistochemistry
1:50 - 1:200
Immunohistochemistry-Paraffin
1:50 - 1:200
Simple Western
1:50
Application Notes
For IHC-Paraffin, HIER pH 6 retrieval is recommended.
See Simple Western Antibody Database for Simple Western validation: separated by Size, antibody dilution of 1:50
See Simple Western Antibody Database for Simple Western validation: separated by Size, antibody dilution of 1:50
Formulation, Preparation, and Storage
Purification
Affinity purified
Formulation
PBS (pH 7.2) and 40% Glycerol
Format
BSA Free
Preservative
0.02% Sodium Azide
Concentration
Concentrations vary lot to lot. See vial label for concentration. If unlisted please contact technical services.
Shipping
The product is shipped with polar packs. Upon receipt, store it immediately at the temperature recommended below.
Stability & Storage
Store at 4C short term. Aliquot and store at -20C long term. Avoid freeze-thaw cycles.
Background: Collagen VI alpha 2
Alternate Names
collagen alpha-2(VI) chain, collagen VI, alpha-2 polypeptide, collagen, type VI, alpha 2,10PP3610, DKFZp586E1322, FLJ46862
Gene Symbol
COL6A2
Additional Collagen VI alpha 2 Products
Product Documents for Collagen VI alpha 2 Antibody - BSA Free
Product Specific Notices for Collagen VI alpha 2 Antibody - BSA Free
This product is for research use only and is not approved for use in humans or in clinical diagnosis. Primary Antibodies are guaranteed for 1 year from date of receipt.
Loading...
Loading...
Loading...
Loading...