Skip to main content

Collagen VI alpha 1 Antibody (SD83-03)

Novus Biologicals, part of Bio-Techne | Catalog # NBP2-67825

Recombinant Monoclonal Antibody.
Novus Biologicals, part of Bio-Techne
Catalog #
Availability
Size / Price
Qty
Loading...
NBP2-67825

Key Product Details

Species Reactivity

Human, Mouse, Rat

Applications

Immunocytochemistry/ Immunofluorescence, Immunohistochemistry, Immunohistochemistry-Paraffin, Western Blot

Label

Unconjugated

Antibody Source

Recombinant Monoclonal Rabbit IgG Clone # SD83-03 expressed in HEK293

Concentration

1 mg/ml

Product Specifications

Immunogen

Recombinant protein within Human Collagen VI alpha 1 aa 17-255 / 1,028. (SwissProt: P12109 Human; SwissProt: P12110 Human; SwissProt: P12111 Human; SwissProt: Q02788 Mouse; SwissProt: Q04857 Mouse; Unigene:232118 Rat)

Localization

Extracellular matrix.

Clonality

Monoclonal

Host

Rabbit

Isotype

IgG

Description

Novus Biologicals Rabbit Collagen VI alpha 1 Antibody (SD83-03) (NBP2-67825) is a recombinant monoclonal antibody validated for use in IHC, WB and ICC/IF. All Novus Biologicals antibodies are covered by our 100% guarantee.

Scientific Data Images for Collagen VI alpha 1 Antibody (SD83-03)

Western Blot: Collagen VI alpha 1 Antibody (SD83-03) [NBP2-67825]

Western Blot: Collagen VI alpha 1 Antibody (SD83-03) [NBP2-67825]

Western Blot: Collagen VI alpha 1 Antibody (SD83-03) [NBP2-67825] - Western blot analysis of Collagen VI alpha 1 on different lysates. Proteins were transferred to a PVDF membrane and blocked with 5% BSA in PBS for 1 hour at room temperature. The primary antibody (1/500) was used in 5% BSA at room temperature for 2 hours.
Immunocytochemistry/ Immunofluorescence: Collagen VI alpha 1 Antibody (SD83-03) [NBP2-67825]

Immunocytochemistry/ Immunofluorescence: Collagen VI alpha 1 Antibody (SD83-03) [NBP2-67825]

Immunocytochemistry/Immunofluorescence: Collagen VI alpha 1 Antibody (SD83-03) [NBP2-67825] - Staining Collagen VI in RH-35 cells (green). The nuclear counter stain is DAPI (blue). Cells were fixed in paraformaldehyde, permeabilised with 0.25% Triton X100/PBS.
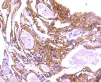
Immunohistochemistry-Paraffin: Collagen VI alpha 1 Antibody (SD83-03) [NBP2-67825]

Immunohistochemistry-Paraffin: Collagen VI alpha 1 Antibody (SD83-03) [NBP2-67825]

Immunohistochemistry-Paraffin: Collagen VI alpha 1 Antibody (SD83-03) [NBP2-67825] - Immunofluorescence analysis of paraffin-embedded mouse colon tissue labeling Collagen VI alpha 1 with Rabbit anti-Collagen VI alpha 1 antibody washed with PBS, and then probed with the primary antibody (green) at 1/100 dilution overnight at 4 , washed with PBS. Goat Anti-Rabbit IgG H&L (iFluor(TM) 488) was used as the secondary antibody at 1/1,000 dilution. Nuclei were counterstained with DAPI (blue).

Applications for Collagen VI alpha 1 Antibody (SD83-03)

Application
Recommended Usage

Immunocytochemistry/ Immunofluorescence

1:100-1:500

Immunohistochemistry-Paraffin

1:50-1:200

Western Blot

1:1000-1:2000

Formulation, Preparation, and Storage

Purification

Protein A purified

Formulation

TBS (pH7.4), 0.05% BSA, 40% Glycerol

Preservative

0.05% Sodium Azide

Concentration

1 mg/ml

Shipping

The product is shipped with polar packs. Upon receipt, store it immediately at the temperature recommended below.

Stability & Storage

Store at 4C short term. Aliquot and store at -20C long term. Avoid freeze-thaw cycles.

Background: Collagen VI alpha 1

Collagens are highly conserved throughout evolution and are characterized by an uninterrupted "Glycine-X-Y" triplet repeat that is a necessary part of the triple helical structure. For these reasons it is often extremely difficult to generate antibodies with specificities to collagens. The development of type specific antibodies is dependent on NON-DENATURED three-dimensional epitopes. Collagens are extensively purified for immunization from human and bovine placenta and cartilage by limited pepsin digestion and selective salt precipitation. This preparation results in a native conformation of the protein. Antibodies are isolated from rabbit antiserum and are extensively cross-adsorbed by immunoaffinity purification to produce 'type' specific antibodies. Greatly diminished reactivity and selectivity of these antibodies will result if denaturing and reducing conditions of SDS-PAGE and immunoblotting are used.

Alternate Names

Collagen 6, collagen alpha-1(VI) chain, collagen VI, alpha-1 polypeptide, collagen, type VI, alpha 1, Collagen-6, human mRNA for collagen VI alpha-1 C-terminal globular domain10alpha 1 (VI) chain (61 AA), OPLL

Gene Symbol

COL6A1

Additional Collagen VI alpha 1 Products

Product Documents for Collagen VI alpha 1 Antibody (SD83-03)

Certificate of Analysis

To download a Certificate of Analysis, please enter a lot number in the search box below.

Product Specific Notices for Collagen VI alpha 1 Antibody (SD83-03)

This product is for research use only and is not approved for use in humans or in clinical diagnosis. Primary Antibodies are guaranteed for 1 year from date of receipt.

Loading...
Loading...
Loading...
Loading...