Skip to main content

Collagen IV Antibody (M3F7) - Azide and BSA Free

Novus Biologicals, part of Bio-Techne | Catalog # NBP3-08515

Novus Biologicals, part of Bio-Techne

Key Product Details

Species Reactivity

Human, Rat, Avian

Applications

Immunohistochemistry, Immunohistochemistry-Paraffin, Western Blot, Flow Cytometry, Immunocytochemistry/ Immunofluorescence

Label

Unconjugated

Antibody Source

Monoclonal Mouse IgG1 kappa Clone # M3F7

Format

Azide and BSA Free

Concentration

1 mg/ml

Product Specifications

Immunogen

alpha1 (IV)-alpha2(IV) triple helix. The epitope is triple helical domain about 900 from the N-terminus

Reactivity Notes

Quail

Localization

Secreted > extracellular space > extracellular matrix > basement membrane.

Specificity

Collagen Type IV is a major component of the basement membrane and plays an important role in cell adhesion, migration, differentiation and growth. Collagen Type IV express at the basement membranes in a variety of tissues including kidney, muscle, lymph nodes, lung, tendon and spleen. Collagen Type IV has been shown to be useful in differentiating microinvasive from in situ ductal carcinomas of the breast. Other Collagen Type IV studies include use in pancreatic adenocarcinoma and chronic pancreatitis, nephrosclerosis and other kidney diseases, oral squamous cell carcinoma, laryngeal cancers, ovarian cancers and cervical cancers. Type IV collagen is the major structural component of glomerular basement membranes (GBM), forming a meshwork together with laminins, proteoglycans and entactin/nidogen. Arresten, comprising the C-terminal NC1 domain, inhibits angiogenesis and tumor formation. The C-terminal half is found to possess the anti-angiogenic activity. Specifically inhibits endothelial cell proliferation, migration and tube formation. Inhibits expression of hypoxia-inducible factor 1alpha and ERK1/2 and p38 MAPK activation. Ligand for alpha1/beta1 integrin. M3F7 recognizes type IV collagen in basement membranes in kidney, lung, placenta, cornea and skin. This antibody does not recognize denatured type IV collagen.

Clonality

Monoclonal

Host

Mouse

Isotype

IgG1 kappa

Description

1.0 mg/ml of antibody purified from Bioreactor Concentrate by Protein A/G. Prepared in 10mM PBS WITHOUT BSA & azide. Also available at 200 ug/ml WITH BSA & azide (NBP3-07597).

Antibody with azide - store at 2 to 8C. Antibody without azide - store at -20 to -80 C.

Scientific Data Images for Collagen IV Antibody (M3F7) - Azide and BSA Free

Immunohistochemistry-Paraffin: Collagen IV Antibody (M3F7) - Azide and BSA Free [NBP3-08515]

Immunohistochemistry-Paraffin: Collagen IV Antibody (M3F7) - Azide and BSA Free [NBP3-08515]

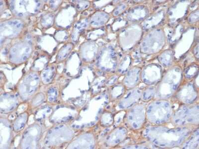
Immunohistochemistry-Paraffin: Collagen IV Antibody (M3F7) - Azide and BSA Free [NBP3-08515] - Formalin-fixed, paraffin-embedded human kidney stained with Collagen IV Mouse Monoclonal Antibody (M3F7).
Immunohistochemistry-Paraffin: Collagen IV Antibody (M3F7) - Azide and BSA Free [NBP3-08515]

Immunohistochemistry-Paraffin: Collagen IV Antibody (M3F7) - Azide and BSA Free [NBP3-08515]

Immunohistochemistry-Paraffin: Collagen IV Antibody (M3F7) - Azide and BSA Free [NBP3-08515] - Formalin-fixed, paraffin-embedded human kidney stained with Collagen IV Mouse Monoclonal Antibody (M3F7).
Immunohistochemistry-Paraffin: Collagen IV Antibody (M3F7) - Azide and BSA Free [NBP3-08515]

Immunohistochemistry-Paraffin: Collagen IV Antibody (M3F7) - Azide and BSA Free [NBP3-08515]

Immunohistochemistry-Paraffin: Collagen IV Antibody (M3F7) - Azide and BSA Free [NBP3-08515] - Formalin-fixed, paraffin-embedded human kidney stained with Collagen IV Mouse Monoclonal Antibody (M3F7).

Applications for Collagen IV Antibody (M3F7) - Azide and BSA Free

Application
Recommended Usage

Flow Cytometry

1-2 ug/million cells

Immunocytochemistry/ Immunofluorescence

1-2 ug/ml

Western Blot

1-2 ug/ml
Application Notes
Immunohistochemistry Formalin-fixed: 1-2ug/ml for 30 minutes at RT. Staining of formalin-fixed tissues requires heating tissue sections in 10mM Tris with 1mM EDTA, pH 9.0, for 45 min at 95C followed by cooling at RT for 20 minutes. Optimal dilution for a specific application should be determined.

Formulation, Preparation, and Storage

Purification

Protein A or G purified

Formulation

10 mM PBS

Format

Azide and BSA Free

Preservative

No Preservative

Concentration

1 mg/ml

Shipping

The product is shipped with polar packs. Upon receipt, store it immediately at the temperature recommended below.

Stability & Storage

Store at -20 to -80C. Avoid freeze-thaw cycles.

Background: Collagen IV

Collagens comprise a large family of insoluble extracellular glycoproteins that are essential components of connective tissues such as tendons, ligaments, cartilage, bone and skin. The mature polypeptides are secreted as coiled, left-handed helices that subsequently assemble into rope-like collagen fibers. Collagen I is a fibril-forming collagen that requires N- and C- terminal processing. Collagen IV is a network forming collagen whose C-terminus forms dimers and N-terminus forms tetramers.

Alternate Names

BSVD;BSVD1;COL4A1s;Collagen alpha-1(IV) chain;PADMAL;RATOR

Gene Symbol

COL4A1

Additional Collagen IV Products

Product Documents for Collagen IV Antibody (M3F7) - Azide and BSA Free

Certificate of Analysis

To download a Certificate of Analysis, please enter a lot number in the search box below.

Product Specific Notices for Collagen IV Antibody (M3F7) - Azide and BSA Free

This product is for research use only and is not approved for use in humans or in clinical diagnosis. Primary Antibodies are guaranteed for 1 year from date of receipt.

Loading...
Loading...
Loading...
Loading...
Loading...