Skip to main content

Collagen IV Antibody (1043) - BSA Free

Novus Biologicals, part of Bio-Techne | Catalog # NBP1-97716

Novus Biologicals, part of Bio-Techne

Key Product Details

Species Reactivity

Validated:

Human

Cited:

Human

Applications

Validated:

Immunohistochemistry, Immunohistochemistry-Paraffin, Immunohistochemistry-Frozen, Western Blot, Flow Cytometry, Immunocytochemistry/ Immunofluorescence, CyTOF-ready

Cited:

Immunohistochemistry, Immunocytochemistry/ Immunofluorescence

Label

Unconjugated

Antibody Source

Monoclonal Mouse IgG1 Clone # 1043

Format

BSA Free

Concentration

1 mg/ml

Product Specifications

Immunogen

Derived by fusion of Sp 2/0 mouse myeloma cells with spleen cells from a BABL/c mouse immunized with purified human type IV collagen. The immunogen has been isolated from human placenta.

Reactivity Notes

Does not react with other species.

Specificity

This antibody recognizes Collagen IV in the extracellular - basement membranes of normal and pathological human tissues.

Clonality

Monoclonal

Host

Mouse

Isotype

IgG1

Description

The antibody is shipped at ambient temperature and may be stored at 4C. For prolonged storage prepare appropriate aliquots and store at or below -20C. Prior to use, an aliquot is thawed slowly in the dark at ambient temperature, spun down again and used to prepare working dilutions by adding sterile phosphate buffered saline (PBS, pH 7.2). Repeated thawing and freezing should be avoided. Working dilutions should be stored at 4C, not refrozen, and preferably used the same day. If a slight precipitation occurs upon storage, this should be removed by centrifugation. It will not affect the performance or the concentration of the product.

Scientific Data Images for Collagen IV Antibody (1043) - BSA Free

Immunocytochemistry/ Immunofluorescence: Collagen IV Antibody (1043) - BSA Free [NBP1-97716]

Immunocytochemistry/ Immunofluorescence: Collagen IV Antibody (1043) - BSA Free [NBP1-97716]

Collagen-IV-Antibody-1043-Immunocytochemistry-Immunofluorescence-NBP1-97716-img0008.jpg
Immunohistochemistry-Frozen: Collagen IV Antibody (1043) - BSA Free [NBP1-97716]

Immunohistochemistry-Frozen: Collagen IV Antibody (1043) - BSA Free [NBP1-97716]

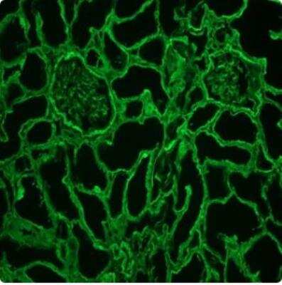
Immunohistochemistry-Frozen: Collagen IV Antibody (1043) [NBP1-97716] - Collagen type IV staining of basement membranes and connective tissue in a frozen section of human kidney.
Immunohistochemistry-Paraffin: Collagen IV Antibody (1043) - BSA Free [NBP1-97716]

Immunohistochemistry-Paraffin: Collagen IV Antibody (1043) - BSA Free [NBP1-97716]

Immunohistochemistry-Paraffin: Collagen IV Antibody (1043) [NBP1-97716] - Human colon.

Applications for Collagen IV Antibody (1043) - BSA Free

Application
Recommended Usage

Flow Cytometry

1:10-1:1000

Immunocytochemistry/ Immunofluorescence

1:10-1:500

Immunohistochemistry

1:10-1:500

Immunohistochemistry-Frozen

1:50-1:100

Immunohistochemistry-Paraffin

1:50-1:100

Western Blot

1:100-1:1000
Application Notes
This antibody is suitable for immunoblotting, immunocytochemistry on fixed cells (methanol fixation) and immunohistochemistry on frozen tissues when using a PBS buffer containing 0.1 mM CaCl2 and 0.1 mM MgCl2. For immunohistochemistry on paraffin sections the sections should be pretreated with 1 mg/ml pepsin in 0.01 N HCl for 30 minutes at room temperature. Optimal antibody dilution should be determined by titration; 1:50 - 1:100 for immunohistochemistry with avidin-biotinylated Horseradish peroxidase complex (ABC) as detection reagent, and 1:100 - 1:1000 for immunoblotting applications.

This antibody is CyTOF ready..

Formulation, Preparation, and Storage

Purification

Protein A or G purified

Formulation

PBS, pH 7.2

Format

BSA Free

Preservative

0.09% Sodium Azide

Concentration

1 mg/ml

Shipping

The product is shipped with polar packs. Upon receipt, store it immediately at the temperature recommended below.

Stability & Storage

Store at 4C short term. Aliquot and store at -20C long term. Avoid freeze-thaw cycles.

Background: Collagen IV

Collagens comprise a large family of insoluble extracellular glycoproteins that are essential components of connective tissues such as tendons, ligaments, cartilage, bone and skin. The mature polypeptides are secreted as coiled, left-handed helices that subsequently assemble into rope-like collagen fibers. Collagen I is a fibril-forming collagen that requires N- and C- terminal processing. Collagen IV is a network forming collagen whose C-terminus forms dimers and N-terminus forms tetramers.

Alternate Names

BSVD;BSVD1;COL4A1s;Collagen alpha-1(IV) chain;PADMAL;RATOR

Gene Symbol

COL4A1

Additional Collagen IV Products

Product Documents for Collagen IV Antibody (1043) - BSA Free

Certificate of Analysis

To download a Certificate of Analysis, please enter a lot number in the search box below.

Product Specific Notices for Collagen IV Antibody (1043) - BSA Free

This product is for research use only and is not approved for use in humans or in clinical diagnosis. Primary Antibodies are guaranteed for 1 year from date of receipt.

Loading...
Loading...
Loading...
Loading...
Loading...