Skip to main content

Collagen IV alpha 1 Antibody

Novus Biologicals, part of Bio-Techne | Catalog # NBP3-12908

Novus Biologicals, part of Bio-Techne
Catalog #
Availability
Size / Price
Qty
Loading...
NBP3-12908

Key Product Details

Species Reactivity

Human, Mouse, Rat

Applications

Immunohistochemistry, Immunohistochemistry-Paraffin, Western Blot, Immunocytochemistry/ Immunofluorescence

Label

Unconjugated

Antibody Source

Polyclonal Rabbit IgG

Concentration

Concentrations vary lot to lot. See vial label for concentration. If unlisted please contact technical services.

Product Specifications

Immunogen

Recombinant protein encompassing a sequence within the N-terminus of human Collagen IV alpha 1. The exact sequence is proprietary.

Reactivity Notes

Bovine (82%)

Clonality

Polyclonal

Host

Rabbit

Isotype

IgG

Theoretical MW

161 kDa.
Disclaimer note: The observed molecular weight of the protein may vary from the listed predicted molecular weight due to post translational modifications, post translation cleavages, relative charges, and other experimental factors.

Description

Centrifuge briefly prior to opening.

Scientific Data Images for Collagen IV alpha 1 Antibody

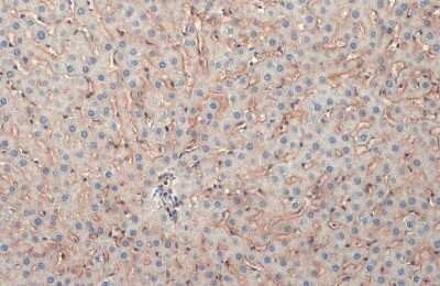
Immunohistochemistry-Paraffin: Collagen IV alpha 1 Antibody [NBP3-12908]

Immunohistochemistry-Paraffin: Collagen IV alpha 1 Antibody [NBP3-12908]

Immunohistochemistry-Paraffin: Collagen IV alpha 1 Antibody [NBP3-12908] - Rat liver. Collagen IV alpha 1 stained by Collagen IV alpha 1 antibody (NBP3-12908) diluted at 1:2000. Antigen Retrieval: Citrate buffer, pH 6.0, 15 min.
Immunohistochemistry-Paraffin: Collagen IV alpha 1 Antibody [NBP3-12908]

Immunohistochemistry-Paraffin: Collagen IV alpha 1 Antibody [NBP3-12908]

Immunohistochemistry-Paraffin: Collagen IV alpha 1 Antibody [NBP3-12908] - Mouse brain. Collagen IV alpha 1 antibody (NBP3-12908) diluted at 1:500. Antigen Retrieval: Citrate buffer, pH 6.0, 15 min.
Collagen IV alpha 1 Antibody

ICC/IF-Collagen IV alpha 1 Antibody [NBP3-12908] -

ICC/IF-Collagen IV alpha 1 Antibody [NBP3-12908] -SK-N-SH cells were fixed in 4% paraformaldehyde at RT for 15 min.Green: COL4A1 stained by COL4A1 antibody diluted at 1:500.Red: alpha Tubulin, a cytoskeleton marker, stained by alpha Tubulin antibody [114] diluted at 1:1000.Blue: Fluoroshield with DAPI.

Applications for Collagen IV alpha 1 Antibody

Application
Recommended Usage

Immunocytochemistry/ Immunofluorescence

Assay dependent

Immunohistochemistry

1:100-1:1000

Immunohistochemistry-Paraffin

1:100-1:1000

Western Blot

1:500-1:3000

Formulation, Preparation, and Storage

Purification

Antigen Affinity-purified

Formulation

PBS, 1% BSA, 20% Glycerol

Preservative

0.025% Proclin 300

Concentration

Concentrations vary lot to lot. See vial label for concentration. If unlisted please contact technical services.

Shipping

The product is shipped with polar packs. Upon receipt, store it immediately at the temperature recommended below.

Stability & Storage

Store at 4C short term. Aliquot and store at -20C long term. Avoid freeze-thaw cycles.

Background: Collagen IV alpha 1

Collagen IV is well suited to detect extracellular matrix proteins in normal as well as disease state tissues. Disruption of tissue organization is the hallmark of neoplasia. Malignant lesions can be distinguished from benign by examining the breakdown of basement membranes and loss of 3-dimensional architecture. Malignant cells are presumed to use matrix metalloproteases to degrade barriers created by the extracellular matrix which then allows metastasis to occur. Collagenases, stomelysins and gelatinases can collectively degrade all of the various components of the extracellular matrix, including fibrillar and non-fibrillar collagens and basement membrane glycoproteins.

Alternate Names

Arresten, COL4A1

Gene Symbol

COL4A1

Additional Collagen IV alpha 1 Products

Product Documents for Collagen IV alpha 1 Antibody

Certificate of Analysis

To download a Certificate of Analysis, please enter a lot number in the search box below.

Product Specific Notices for Collagen IV alpha 1 Antibody

This product is for research use only and is not approved for use in humans or in clinical diagnosis. Primary Antibodies are guaranteed for 1 year from date of receipt.

Loading...
Loading...
Loading...
Loading...