Skip to main content

Collagen III alpha 1/COL3A1 Antibody - BSA Free

Novus Biologicals, part of Bio-Techne | Catalog # NB600-594

Novus Biologicals, part of Bio-Techne

Key Product Details

Validated by

Biological Validation

Species Reactivity

Validated:

Human, Mouse, Rat, Bovine, Feline, Sheep

Cited:

Human, Mouse, Rat, Feline, Mammal, Ovine

Applications

Validated:

Immunohistochemistry, Immunohistochemistry-Paraffin, Western Blot, ELISA, Flow Cytometry, Immunocytochemistry/ Immunofluorescence, Simple Western, Immunoprecipitation

Cited:

Immunohistochemistry, Immunohistochemistry-Paraffin, Immunohistochemistry-Frozen, Western Blot, Flow Cytometry, Immunocytochemistry/ Immunofluorescence, IF/IHC

Label

Unconjugated

Antibody Source

Polyclonal Rabbit IgG

Format

BSA Free

Concentration

Please see the vial label for concentration. If unlisted please contact technical services.

Product Specifications

Immunogen

Collagen III alpha 1/COL3A1 from human and bovine placenta (Uniprot: P02461)

Reactivity Notes

This antibody reacts with most mammalian Collagen III alpha 1/COL3A1 and has expected cross-reactivity with Type I and negligible cross reactivity with Type II, IV, V or VI collagens.

Mouse reactivity reported in multiple pieces of scientific literature.
Rat reactivity reported in scientific literature (PMID: 23370982)
Feline reactivity reported in scientific literature (PMID: 33091431)

Localization

Extracellular matrix

Specificity

Some class-specific anti-collagens may be specific for three-dimensional epitopes which may result in diminished reactivity with denatured collagen or formalin-fixed, paraffin embedded tissues. This antibody reacts with most mammalian Collagen III alpha 1/COL3A1 and has expected cross-reactivity with Type I and negligible cross reactivity with Type II, IV, V or VI collagens. Non-specific cross-reaction of anti-collagen antibodies with other human serum proteins or non-collagen extracellular matrix proteins has not been tested.

Clonality

Polyclonal

Host

Rabbit

Isotype

IgG

Description

This antibody has been prepared by immunoaffinity chromatography using immobilized antigens followed by extensive cross-adsorption against other collagens, human serum proteins and non-collagen extracellular matrix proteins to remove any unwanted specificities. Some class-specific anti-collagens may be specific for three-dimensional epitopes which may result in diminished reactivity with denatured collagen or formalin-fixed, paraffin embedded tissues.

Store vial at 4C prior to opening. This product is stable at 4C as an undiluted liquid. Dilute only prior to immediate use. For extended storage, mix with an equal volume of glycerol, aliquot contents and freeze at -20C or below. Avoid cycles of freezing and thawing.

Scientific Data Images for Collagen III alpha 1/COL3A1 Antibody - BSA Free

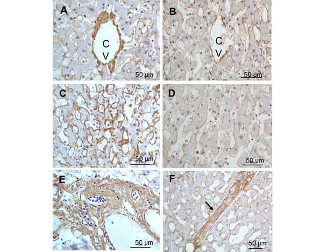
Immunohistochemistry: Collagen III alpha 1/COL3A1 Antibody [NB600-594]

Immunohistochemistry: Collagen III alpha 1/COL3A1 Antibody [NB600-594]

Immunohistochemistry: Collagen III alpha 1/COL3A1 Antibody [NB600-594] - Tissue: right lobe of the liver section. A:Central Vein (CV) fibrosis, B: Non-fibrotic CV, C: Perisinusodial fibrosis, D: Non-fibrotic area, E: Protat tract fibrosis, F: Septal fibrosis (arrow). Fixation: FFPE. Antigen retrieval: not required. Primary antibody: Anti-collagen type I at 1:500 for 4 degrees Celsius for 24hr. Secondary antibody: Peroxidase biotin-streptavidin rabbit secondary antibody at 1:10,000 for 45 min at RT. Localization: Anti-collagen type III is intra and extracellular. Staining: 3.3'-diaminobenzidine tetrahydrochloride was used as the chromogen. Nuclei were counterstained purple with hematoxylin.
Western Blot: Collagen III alpha 1/COL3A1 Antibody [NB600-594]

Western Blot: Collagen III alpha 1/COL3A1 Antibody [NB600-594]

Western Blot: Collagen III alpha 1/COL3A1 Antibody [NB600-594] - Lane 1: Human Collagen III Load: 100 ng per lane Primary antibody: Collagen III Antibody at 1:1000 o/n at 4C Secondary antibody: DyLight 649 Goat anti-rabbit at 1:20,000 for 30 min at RT Block: incubated with blocking buffer for 30 min at RT Predicted/Observed size: 138 kDa/138 kDa.
Immunocytochemistry/ Immunofluorescence: Collagen III alpha 1/COL3A1 Antibody [NB600-594]

Immunocytochemistry/ Immunofluorescence: Collagen III alpha 1/COL3A1 Antibody [NB600-594]

Immunocytochemistry/Immunofluorescence: Collagen III alpha 1/COL3A1 Antibody [NB600-594] - Human primary ventricular cardiac fibroblasts were stained with anti-Collagen III antibody. Cells were cultured for 3 days in DMEM with 10% fetal calf serum. ICC/IF image submitted by a verified customer review.

Applications for Collagen III alpha 1/COL3A1 Antibody - BSA Free

Application
Recommended Usage

ELISA

1:5000-1:50000

Immunocytochemistry/ Immunofluorescence

1:10 - 1:500

Immunohistochemistry

1:50-1:200

Immunohistochemistry-Paraffin

1:50 - 1:200

Immunoprecipitation

1:100

Western Blot

1:1000-1:10000
Application Notes
This product has been tested by dot Blot, western blot, and IHC and is useful for indirect trapping ELISA for quantitation of antigen in serum using a standard curve, immunoprecipitation, native (non-denaturing, non-dissociating) PAGE, immunohistochemistry, and western blotting for highly sensitive qualitative analysis.

See Simple Western Antibody Database for Simple Western validation: tested in skin; antibody dilution of 1:50; separated by size; detects a band at 139 kDa

Reviewed Applications

Read 7 reviews rated 4.7 using NB600-594 in the following applications:

Formulation, Preparation, and Storage

Purification

Immunogen affinity purified

Formulation

0.02 M Potassium Phosphate, 0.15 M Sodium Chloride, pH 7.2

Format

BSA Free

Preservative

0.01% Sodium Azide

Concentration

Please see the vial label for concentration. If unlisted please contact technical services.

Shipping

The product is shipped with polar packs. Upon receipt, store it immediately at the temperature recommended below.

Stability & Storage

Store at 4C short term. For extended storage, add an equal volume of glycerol, aliquot and store at -20C or below. Avoid repeated freeze-thaw cycles.

Background: Collagen III alpha 1/COL3A1

Collagen III alpha 1, also referred to as collagen type III alpha 1 or COL3A1 for short, was first described in 1971 and is a member of the collagen superfamily and encoded COL3A1 gene (1, 2). In general, collagen III is an extracellular matrix protein that is synthesized as a preprocollagen followed by cleaving of the signal peptide to form the procollagen (1). The human COL3A1 gene is located on chromosome 2q32.2 and collagen III is synthesized as a homotrimer consisting of three identical alpha procollagen chains which are stabilized by disulfide bonds (1,2,3). Each alpha chain is 1466 amino acids (aa) in length with a theoretical molecular weight of 139 kDa for a single alpha chain (1). Structurally, each alpha chain is a left-handed helix which then join together to form a right-handed triple helix (1,2). C-terminal and N-terminal proteinases remove the globular ends of the procollagen to form the type III collagen (1).

Collagen III is a fibrillar collagen that constitutes 5-20% of all collagen in the body (1). It provides structural integrity and is found in many hallow organs and soft connective tissue including the vascular system, skin, lung, uterus, and intestine (1,2). Additionally, collagen III has be found to be associated with type I collagen in the same fibrils (1). Collagen III interacts with signaling integrins to carry out other key functions including cell adhesion, proliferation, and differentiation (1).

Mutations in the COL3A1 gene has been associated with a variety of human diseases, the most well-known being a group of connective tissue disorders termed Ehlers-Danlos Syndromes (1,2,4). Vascular Ehlers-Danlos Syndrome is a specific subtype that is considered the most severe and although the clinical manifestations vary, symptoms include thin skin and fragile blood vessels and can often result in both lung and heart complications (1,4). COL3A1 is also associated with glomerulopathies, or diseases of the glomeruli, which are characterized by an abundance of extracellular matrix (3). Collagenofibrotic glomerulopathy is one specific rare renal disease that is characterized by excessive levels of collagen III (3).

References

1. Kuivaniemi, H., & Tromp, G. (2019). Type III collagen (COL3A1): Gene and protein structure, tissue distribution, and associated diseases. Gene. https://doi.org/10.1016/j.gene.2019.05.003

2. Ricard-Blum S. (2011). The collagen family. Cold Spring Harbor perspectives in biology. https://doi.org/10.1101/cshperspect.a004978

3. Cohen A. H. (2012). Collagen Type III Glomerulopathies. Advances in chronic kidney disease. https://doi.org/10.1053/j.ackd.2012.02.017

4. Olson, S. L., Murray, M. L., & Skeik, N. (2019). A Novel Frameshift COL3A1 Variant in Vascular Ehlers-Danlos Syndrome. Annals of vascular surgery. https://doi.org/10.1016/j.avsg.2019.05.057

Alternate Names

COL3A1, EDS4A

Gene Symbol

COL3A1

UniProt

Additional Collagen III alpha 1/COL3A1 Products

Product Documents for Collagen III alpha 1/COL3A1 Antibody - BSA Free

Certificate of Analysis

To download a Certificate of Analysis, please enter a lot number in the search box below.

Product Specific Notices for Collagen III alpha 1/COL3A1 Antibody - BSA Free

This product is for research use only and is not approved for use in humans or in clinical diagnosis. Primary Antibodies are guaranteed for 1 year from date of receipt.

Loading...
Loading...
Loading...
Loading...
Loading...
Loading...