Skip to main content

COL15A1 Antibody - BSA Free

Novus Biologicals, part of Bio-Techne | Catalog # NBP1-91088

Novus Biologicals, part of Bio-Techne
Catalog #
Availability
Size / Price
Qty
Loading...
NBP1-91088
NBP1-91088-25ul

Key Product Details

Validated by

Orthogonal Validation, Independent Antibodies

Species Reactivity

Human

Applications

Immunohistochemistry, Immunohistochemistry-Paraffin, Immunocytochemistry/ Immunofluorescence

Label

Unconjugated

Antibody Source

Polyclonal Rabbit IgG

Format

BSA Free

Concentration

Concentrations vary lot to lot. See vial label for concentration. If unlisted please contact technical services.

Product Specifications

Immunogen

This antibody was developed against Recombinant Protein corresponding to amino acids: RSSQALAFESSAGIFMGNAGATGLERFTGSLQQLTVHPDPRTPEELCDPEESSASGETSGLQEADGVAEILEAVTYTQASPKEAKVEPINTPPTPSSPFEDMELSGEPVPE

Clonality

Polyclonal

Host

Rabbit

Isotype

IgG

Description

Novus Biologicals Rabbit COL15A1 Antibody - BSA Free (NBP1-91088) is a polyclonal antibody validated for use in IHC and ICC/IF. All Novus Biologicals antibodies are covered by our 100% guarantee.

Scientific Data Images for COL15A1 Antibody - BSA Free

Immunohistochemistry-Paraffin: COL15A1 Antibody [NBP1-91088]

Immunohistochemistry-Paraffin: COL15A1 Antibody [NBP1-91088]

Immunohistochemistry-Paraffin: COL15A1 Antibody [NBP1-91088] - Analysis in human placenta and liver tissues using NBP1-91088 antibody. Corresponding COL15A1 RNA-seq data are presented for the same tissues.
Immunohistochemistry-Paraffin: COL15A1 Antibody [NBP1-91088]

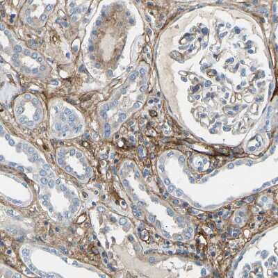
Immunohistochemistry-Paraffin: COL15A1 Antibody [NBP1-91088]

Immunohistochemistry-Paraffin: COL15A1 Antibody [NBP1-91088] - Staining of human kidney, liver, placenta and testis using Anti-COL15A1 antibody NBP1-91088 (A) shows similar protein distribution across tissues to independent antibody NBP1-91087 (B).
Immunocytochemistry/ Immunofluorescence: COL15A1 Antibody [NBP1-91088]

Immunocytochemistry/ Immunofluorescence: COL15A1 Antibody [NBP1-91088]

Immunocytochemistry/Immunofluorescence: COL15A1 Antibody [NBP1-91088] - Staining of human cell line BJ shows localization to endoplasmic reticulum. Antibody staining is shown in green.

Applications for COL15A1 Antibody - BSA Free

Application
Recommended Usage

Immunocytochemistry/ Immunofluorescence

0.25-2 ug/ml

Immunohistochemistry

1:200 - 1:500

Immunohistochemistry-Paraffin

1:200 - 1:500
Application Notes
For IHC-Paraffin, HIER pH 6 retrieval is recommended. ICC/IF, Fixation Permeabilization: Use PFA/Triton X-100.

Formulation, Preparation, and Storage

Purification

Affinity purified

Formulation

PBS (pH 7.2) and 40% Glycerol

Format

BSA Free

Preservative

0.02% Sodium Azide

Concentration

Concentrations vary lot to lot. See vial label for concentration. If unlisted please contact technical services.

Shipping

The product is shipped with polar packs. Upon receipt, store it immediately at the temperature recommended below.

Stability & Storage

Store at 4C short term. Aliquot and store at -20C long term. Avoid freeze-thaw cycles.

Background: Collagen XV alpha 1/COL15A1

Long Name

Collagen Type XV Alpha 1 Chain

Alternate Names

COL15A1, Collagen 15 alpha 1, Collagen Type XV Proteoglycan, Collagen XV, Alpha-1 Polypeptide, Endostatin-XV, Restin

Gene Symbol

COL15A1

Additional Collagen XV alpha 1/COL15A1 Products

Product Documents for COL15A1 Antibody - BSA Free

Certificate of Analysis

To download a Certificate of Analysis, please enter a lot number in the search box below.

Product Specific Notices for COL15A1 Antibody - BSA Free

This product is for research use only and is not approved for use in humans or in clinical diagnosis. Primary Antibodies are guaranteed for 1 year from date of receipt.

Loading...
Loading...
Loading...
Loading...