Skip to main content

Cofilin 2 Antibody - BSA Free

Novus Biologicals, part of Bio-Techne | Catalog # NBP2-38544

Novus Biologicals, part of Bio-Techne
Catalog #
Availability
Size / Price
Qty
Loading...
NBP2-38544

Key Product Details

Validated by

Orthogonal Validation

Species Reactivity

Validated:

Human

Predicted:

Mouse (97%), Rat (97%). Backed by our 100% Guarantee.

Applications

Immunocytochemistry/ Immunofluorescence, Immunohistochemistry, Immunohistochemistry-Paraffin, Western Blot

Label

Unconjugated

Antibody Source

Polyclonal Rabbit IgG

Format

BSA Free

Concentration

Concentrations vary lot to lot. See vial label for concentration. If unlisted please contact technical services.

Product Specifications

Immunogen

This antibody was developed against a recombinant protein corresponding to amino acids: HEWQVNGLDDIKDRSTLGEKLGGNVVVSL

Clonality

Polyclonal

Host

Rabbit

Isotype

IgG

Description

Novus Biologicals Rabbit Cofilin 2 Antibody - BSA Free (NBP2-38544) is a polyclonal antibody validated for use in IHC, WB and ICC/IF. All Novus Biologicals antibodies are covered by our 100% guarantee.

Scientific Data Images for Cofilin 2 Antibody - BSA Free

Western Blot: Cofilin 2 Antibody [NBP2-38544]

Western Blot: Cofilin 2 Antibody [NBP2-38544]

Western Blot: Cofilin 2 Antibody [NBP2-38544] - Lane 1: Marker [kDa] 250, 130, 95, 72, 55, 36, 28, 17, 10. Lane 2: Human cell line RT-4. Lane 3: Human cell line U-251MG. Lane 4: Human Plasma. Lane 5: Human liver tissue
Immunocytochemistry/ Immunofluorescence: Cofilin 2 Antibody [NBP2-38544]

Immunocytochemistry/ Immunofluorescence: Cofilin 2 Antibody [NBP2-38544]

Immunocytochemistry/Immunofluorescence: Cofilin 2 Antibody [NBP2-38544] - Staining of human cell line A-431 shows localization to nucleoplasm. Antibody staining is shown in green.
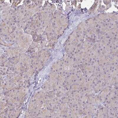
Immunohistochemistry-Paraffin: Cofilin 2 Antibody [NBP2-38544]

Immunohistochemistry-Paraffin: Cofilin 2 Antibody [NBP2-38544]

Immunohistochemistry-Paraffin: Cofilin 2 Antibody [NBP2-38544] - Staining in human skeletal muscle and pancreas tissues using anti-CFL2 antibody. Corresponding CFL2 RNA-seq data are presented for the same tissues.

Applications for Cofilin 2 Antibody - BSA Free

Application
Recommended Usage

Immunocytochemistry/ Immunofluorescence

0.25-2 ug/ml

Immunohistochemistry

1:20 - 1:50

Immunohistochemistry-Paraffin

1:20 - 1:50

Western Blot

0.04-0.4 ug/ml
Application Notes
For IHC-Paraffin, HIER pH 6 retrieval is recommended. ICC/IF Fixation Permeabilization: Use PFA/Triton X-100.

Formulation, Preparation, and Storage

Purification

Immunogen affinity purified

Formulation

PBS (pH 7.2) and 40% Glycerol

Format

BSA Free

Preservative

0.02% Sodium Azide

Concentration

Concentrations vary lot to lot. See vial label for concentration. If unlisted please contact technical services.

Shipping

The product is shipped with polar packs. Upon receipt, store it immediately at the temperature recommended below.

Stability & Storage

Store at 4C short term. Aliquot and store at -20C long term. Avoid freeze-thaw cycles.

Background: Cofilin 2

Cofilin is a widely distributed intracellular actin-modulating protein that binds and depolymerizes filamentous F-actin and inhibits the polymerization of monomeric G-actin in a pH-dependent manner. (Gillett et al., 1996 [PubMed 8800436]). Cofilin-2 is a member of the AC group of proteins that also includes cofilin-1 (CFL1) and destrin (DSTN; MIM 609114), all of which regulate actin-filament dynamics (Bamburg et al., 1999 [PubMed 10461190]; Maciver and Hussey, 2002). The CFL2 gene encodes a skeletal muscle-specific isoform (Vartiainen et al., 2002 [PubMed 11809832]) localized to the thin filaments, where it exerts its effect on actin, in part through interactions with tropomyosins (Ono and Ono, 2002 [PubMed 11901171]).[supplied by OMIM]

Alternate Names

cofilin 2 (muscle), Cofilin, muscle isoform, cofilin-2, NEM7

Gene Symbol

CFL2

UniProt

Additional Cofilin 2 Products

Product Documents for Cofilin 2 Antibody - BSA Free

Certificate of Analysis

To download a Certificate of Analysis, please enter a lot number in the search box below.

Product Specific Notices for Cofilin 2 Antibody - BSA Free

This product is for research use only and is not approved for use in humans or in clinical diagnosis. Primary Antibodies are guaranteed for 1 year from date of receipt.

Loading...
Loading...
Loading...
Loading...