Skip to main content

CoCoA Antibody - BSA Free

Novus Biologicals, part of Bio-Techne | Catalog # NBP3-21437

Novus Biologicals, part of Bio-Techne

Key Product Details

Species Reactivity

Human

Applications

Immunocytochemistry/ Immunofluorescence, Immunohistochemistry-Paraffin, Immunoprecipitation

Label

Unconjugated

Antibody Source

Polyclonal Rabbit IgG

Format

BSA Free

Concentration

Please see the vial label for concentration. If unlisted please contact technical services.

Product Specifications

Immunogen

Produced in rabbits immunized with E. coli-derived Human CoCoA fragment

Clonality

Polyclonal

Host

Rabbit

Isotype

IgG

Description

This antibody can be stored at 2-8C for one month without detectable loss of activity. Antibody products are stable for twelve months from date of receipt when stored at -20C to -80C.

Scientific Data Images for CoCoA Antibody - BSA Free

CoCoA Antibody Immunohistochemistry-Paraffin: CoCoA Antibody [NBP3-21437]

Immunohistochemistry-Paraffin: CoCoA Antibody [NBP3-21437]

Immunochemical staining of CoCoA in human breast formalin-fixed paraffin embedded sections with NBP3-21437 at 1:300 dilution
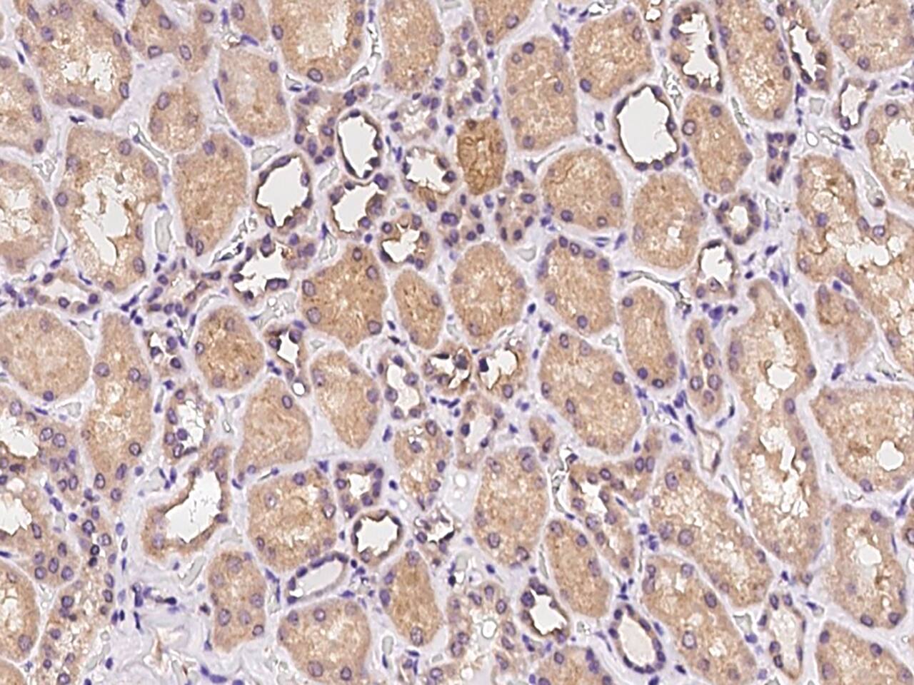
CoCoA Antibody Immunohistochemistry-Paraffin: CoCoA Antibody [NBP3-21437]

Immunohistochemistry-Paraffin: CoCoA Antibody [NBP3-21437]

Immunochemical staining of CoCoA in human kidney formalin-fixed paraffin embedded sections with NBP3-21437 at 1:300 dilution
CoCoA Antibody

Immunoprecipitation: CoCoA Antibody [NBP3-21437] -

Immunoprecipitation: CoCoA Antibody [NBP3-21437] - CoCoA was immunoprecipitated using: Lane A:0.5 mg NIH3T3 Whole Cell Lysate 4 µL NBP3-21437 and 60 ug of Immunomagnetic beads Protein A/G. Primary antibody: NBP3-21437,at 1:100 dilution Secondary antibody: Goat Anti-Rabbit IgG (H+L) [HRP] at 1/10000 dilution Developed using the ECL technique. Performed under reducing conditions. Predicted band size: 77 kDa Observed band size :100 kDa

Applications for CoCoA Antibody - BSA Free

Application
Recommended Usage

Immunocytochemistry/ Immunofluorescence

1:100-1:500

Immunohistochemistry-Paraffin

1:200-1:1000

Immunoprecipitation

1-5 uL/mg of lysate

Formulation, Preparation, and Storage

Purification

Antigen and protein A Affinity-purified

Formulation

PBS, pH 7.0

Format

BSA Free

Preservative

0.03% Proclin 300

Concentration

Please see the vial label for concentration. If unlisted please contact technical services.

Shipping

The product is shipped with polar packs. Upon receipt, store it immediately at the temperature recommended below.

Stability & Storage

Store at 4C short term. Aliquot and store at -20C long term. Avoid freeze-thaw cycles.

Background: CoCoA

HPS3 is involved in early stages of melanosome biogenesis and maturation. Defects in HPS3 are the cause of the cocoa (coa) mutant, and of Hermansky-Pudlak syndrome type 3 (HPS3). HPS3 is an autosomal recessive disorder, characterized by oculocutaneous albinism, bleeding due to platelet storage pool deficiency, and lysosomal storage defects. This syndrome results from defects of diverse cytoplasmic organelles including melanosomes, platelet dense granules and lysosomes. Ceroid storage in the lungs is associated with pulmonary fibrosis, a common cause of premature death in individuals with HPS.

Alternate Names

calcium binding and coiled-coil domain 1, Calphoglin, Cocoa, Coiled-coil coactivator protein, coiled-coil leucine zipper coactivator 1, inorganic pyrophosphatase activator, KIAA1536calcium-binding and coiled-coil domain-containing protein 1, Sarcoma antigen NY-SAR-3

Gene Symbol

CALCOCO1

Additional CoCoA Products

Product Documents for CoCoA Antibody - BSA Free

Certificate of Analysis

To download a Certificate of Analysis, please enter a lot number in the search box below.

Product Specific Notices for CoCoA Antibody - BSA Free

This product is for research use only and is not approved for use in humans or in clinical diagnosis. Primary Antibodies are guaranteed for 1 year from date of receipt.

Loading...
Loading...
Loading...
Loading...