Skip to main content

COBLL1 Antibody - BSA Free

Novus Biologicals, part of Bio-Techne | Catalog # NBP1-70504

Novus Biologicals, part of Bio-Techne
Catalog #
Availability
Size / Price
Qty
Loading...
NBP1-70504

Key Product Details

Species Reactivity

Human

Applications

Immunohistochemistry, Immunohistochemistry-Paraffin, Western Blot

Label

Unconjugated

Antibody Source

Polyclonal Rabbit IgG

Format

BSA Free

Concentration

0.5 mg/ml

Product Specifications

Immunogen

Synthetic peptides corresponding to COBLL1(COBL-like 1) The peptide sequence was selected from the N terminal of COBLL1 (NM_014900). Peptide sequence SAPATPLVNKHRPTFTRSNTISKPYISNTLPSDAPKKRRAPLPPMPASQS. The peptide sequence for this immunogen was taken from within the described region.

Clonality

Polyclonal

Host

Rabbit

Isotype

IgG

Theoretical MW

128 kDa.
Disclaimer note: The observed molecular weight of the protein may vary from the listed predicted molecular weight due to post translational modifications, post translation cleavages, relative charges, and other experimental factors.

Description

The addition of 50% glycerol is optional for those storing this antibody at -20C and not aliquoting smaller units. However, please note that glycerol may interrupt some downstream antibody applications and should be added with caution.

Scientific Data Images for COBLL1 Antibody - BSA Free

Western Blot: COBLL1 Antibody [NBP1-70504]

Western Blot: COBLL1 Antibody [NBP1-70504]

Western Blot: COBLL1 Antibody [NBP1-70504] - Titration: 0.5ug/ml Positive Control: HepG2 cell lysate.
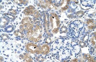
Immunohistochemistry-Paraffin: COBLL1 Antibody [NBP1-70504]

Immunohistochemistry-Paraffin: COBLL1 Antibody [NBP1-70504]

Immunohistochemistry-Paraffin: COBLL1 Antibody [NBP1-70504] - Human kidney Tissue, antibody concentration 4-8ug/ml. Cells with positive label: renal corpuscle cells (indicated with arrows) 400X magnification.

Applications for COBLL1 Antibody - BSA Free

Application
Recommended Usage

Immunohistochemistry

1:10-1:500

Immunohistochemistry-Paraffin

0.5 ug/ml

Western Blot

1.0 ug/ml

Formulation, Preparation, and Storage

Purification

Affinity purified

Formulation

PBS, 2% Sucrose

Format

BSA Free

Preservative

0.09% Sodium Azide

Concentration

0.5 mg/ml

Shipping

The product is shipped with polar packs. Upon receipt, store it immediately at the temperature recommended below.

Stability & Storage

Store at 4C short term. Aliquot and store at -20C long term. Avoid freeze-thaw cycles.

Background: COBLL1

The function remains known.

Alternate Names

COBL-like 1, COBLR1, cordon-bleu protein-like 1

Entrez Gene IDs

22837 (Human)

Gene Symbol

COBLL1

UniProt

Additional COBLL1 Products

Product Documents for COBLL1 Antibody - BSA Free

Certificate of Analysis

To download a Certificate of Analysis, please enter a lot number in the search box below.

Product Specific Notices for COBLL1 Antibody - BSA Free

This product is for research use only and is not approved for use in humans or in clinical diagnosis. Primary Antibodies are guaranteed for 1 year from date of receipt.

Loading...
Loading...
Loading...
Loading...