COASY Antibody - BSA Free
Novus Biologicals, part of Bio-Techne | Catalog # NBP1-32649
Key Product Details
Species Reactivity
Human, Mouse
Applications
Immunohistochemistry, Immunohistochemistry-Paraffin, Western Blot, Immunocytochemistry/ Immunofluorescence
Label
Unconjugated
Antibody Source
Polyclonal Rabbit IgG
Format
BSA Free
Concentration
Concentrations vary lot to lot. See vial label for concentration. If unlisted please contact technical services.
Product Specifications
Immunogen
Recombinant protein encompassing a sequence within the center region of human COASY. The exact sequence is proprietary.
Localization
Cytoplasm
Clonality
Polyclonal
Host
Rabbit
Isotype
IgG
Theoretical MW
62 kDa.
Disclaimer note: The observed molecular weight of the protein may vary from the listed predicted molecular weight due to post translational modifications, post translation cleavages, relative charges, and other experimental factors.
Disclaimer note: The observed molecular weight of the protein may vary from the listed predicted molecular weight due to post translational modifications, post translation cleavages, relative charges, and other experimental factors.
Description
Novus Biologicals Rabbit COASY Antibody - BSA Free (NBP1-32649) is a polyclonal antibody validated for use in IHC, WB and ICC/IF. All Novus Biologicals antibodies are covered by our 100% guarantee.
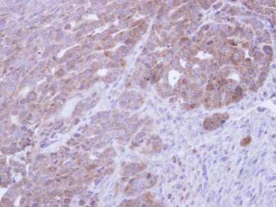
Scientific Data Images for COASY Antibody - BSA Free
Western Blot: COASY Antibody [NBP1-32649]
Western Blot: COASY Antibody [NBP1-32649] - Sample (50 ug of whole cell lysate) A: mouse liver 7. 5% SDS PAGE, antibody diluted at 1:3000.Immunocytochemistry/ Immunofluorescence: COASY Antibody [NBP1-32649]
Immunocytochemistry/Immunofluorescence: COASY Antibody [NBP1-32649] - Paraformaldehyde-fixed HeLa, using antibody at 1:200 dilution.Immunohistochemistry-Paraffin: COASY Antibody [NBP1-32649]
Immunohistochemistry-Paraffin: COASY Antibody [NBP1-32649] - COASY antibody detects COASY protein at cytoplasm in mouse kidney by immunohistochemical analysis. Sample: Paraffin-embedded mouse kidney. COASY antibody diluted at 1:500.Applications for COASY Antibody - BSA Free
Application
Recommended Usage
Immunocytochemistry/ Immunofluorescence
1:100-1:1000
Immunohistochemistry
1:100-1:1000
Immunohistochemistry-Paraffin
1:100-1:1000
Western Blot
1:500-1:3000
Formulation, Preparation, and Storage
Purification
Antigen Affinity-purified
Formulation
0.1M Tris, 0.1M Glycine, 10% Glycerol
Format
BSA Free
Preservative
0.01% Thimerosal
Concentration
Concentrations vary lot to lot. See vial label for concentration. If unlisted please contact technical services.
Shipping
The product is shipped with polar packs. Upon receipt, store it immediately at the temperature recommended below.
Stability & Storage
Aliquot and store at -20C or -80C. Avoid freeze-thaw cycles.
Background: COASY
Alternate Names
bifunctional phosphopantetheine adenylyl transferase/dephospho CoA kinase, CoA synthaseUKR1, CoASY, Coenzyme A synthase, DPCK, FLJ35179, NBPbifunctional coenzyme A synthase, nucleotide binding protein, phosphopantetheine adenylyltransferase / dephosphocoenzyme A kinase, POV-2, PPAT
Gene Symbol
COASY
Additional COASY Products
Product Documents for COASY Antibody - BSA Free
Product Specific Notices for COASY Antibody - BSA Free
This product is for research use only and is not approved for use in humans or in clinical diagnosis. Primary Antibodies are guaranteed for 1 year from date of receipt.
Loading...
Loading...
Loading...
Loading...
⚠ WARNING: This product can expose you to chemicals including mercury, which is known to the State of California to cause reproductive toxicity with developmental effects. For more information go to www.P65Warnings.ca.gov.