Skip to main content

Coagulation Factor XIV/Protein C Antibody - BSA Free

Novus Biologicals, part of Bio-Techne | Catalog # NBP1-86509

Novus Biologicals, part of Bio-Techne
Catalog #
Availability
Size / Price
Qty
Loading...
NBP1-86509-25ul
NBP1-86509

Key Product Details

Species Reactivity

Human

Applications

Immunohistochemistry, Immunohistochemistry-Paraffin

Label

Unconjugated

Antibody Source

Polyclonal Rabbit IgG

Format

BSA Free

Concentration

Concentrations vary lot to lot. See vial label for concentration. If unlisted please contact technical services.

Product Specifications

Immunogen

This antibody was developed against Recombinant Protein corresponding to amino acids: AHCMDESKKLLVRLGEYDLRRWEKWELDLDIKEVFVHPNYSKSTTDNDIALLHLAQPATLSQTIVPICLPDSGLAERELNQAGQETLVTGWGYHSSREKEAKRNRTFVLNFIKIPVVPHNECSEVMSNMVSENMLCAGI

Clonality

Polyclonal

Host

Rabbit

Isotype

IgG

Description

Novus Biologicals Rabbit Coagulation Factor XIV/Protein C Antibody - BSA Free (NBP1-86509) is a polyclonal antibody validated for use in IHC. Anti-Coagulation Factor XIV/Protein C Antibody: Cited in 1 publication. All Novus Biologicals antibodies are covered by our 100% guarantee.

Scientific Data Images for Coagulation Factor XIV/Protein C Antibody - BSA Free

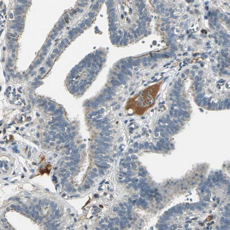
Immunohistochemistry-Paraffin: Coagulation Factor XIV/Protein C Antibody [NBP1-86509]

Immunohistochemistry-Paraffin: Coagulation Factor XIV/Protein C Antibody [NBP1-86509]

Immunohistochemistry-Paraffin: Coagulation Factor XIV/Protein C Antibody [NBP1-86509] - Staining of human small intestine shows moderate positivity in plasma in blood vessels.
Immunohistochemistry-Paraffin: Coagulation Factor XIV/Protein C Antibody [NBP1-86509]

Immunohistochemistry-Paraffin: Coagulation Factor XIV/Protein C Antibody [NBP1-86509]

Immunohistochemistry-Paraffin: Coagulation Factor XIV/Protein C Antibody [NBP1-86509] - Staining of human liver shows weak cytoplasmic positivity in hepatocytes and strong positivity in plasma.
Immunohistochemistry-Paraffin: Coagulation Factor XIV/Protein C Antibody [NBP1-86509]

Immunohistochemistry-Paraffin: Coagulation Factor XIV/Protein C Antibody [NBP1-86509]

Immunohistochemistry-Paraffin: Coagulation Factor XIV/Protein C Antibody [NBP1-86509] - Staining of human skin shows no positivity in squamous epithelial cells as expected.

Applications for Coagulation Factor XIV/Protein C Antibody - BSA Free

Application
Recommended Usage

Immunohistochemistry

1:50 - 1:200

Immunohistochemistry-Paraffin

1:50 - 1:200
Application Notes
For IHC-Paraffin, HIER pH 6 retrieval is recommended.

Formulation, Preparation, and Storage

Purification

Affinity purified

Formulation

PBS (pH 7.2) and 40% Glycerol

Format

BSA Free

Preservative

0.02% Sodium Azide

Concentration

Concentrations vary lot to lot. See vial label for concentration. If unlisted please contact technical services.

Shipping

The product is shipped with polar packs. Upon receipt, store it immediately at the temperature recommended below.

Stability & Storage

Store at 4C short term. Aliquot and store at -20C long term. Avoid freeze-thaw cycles.

Background: Coagulation Factor XIV/Protein C

Protein C is a vitamin K-dependent serine protease that is produced in the liver and made up of 2 polypeptide chains. The 62 kDa proenzyme is activated by thrombin bound to an endothelial surface receptor and the active enzyme cleaves factor Va and VIIIa inhibiting blood coagulation. The molecular weight of the active enzyme is 55 kDa and the normal concentration in human plasma is approximately 1-3 ng/ml while the concentration of the proenzyme is approximately 3 ug/mL due to the very fast turnover.

Long Name

Vitamin K-dependent Protein C

Alternate Names

Autoprothrombin IIA, PROC, Protein C

Gene Symbol

PROC

Additional Coagulation Factor XIV/Protein C Products

Product Documents for Coagulation Factor XIV/Protein C Antibody - BSA Free

Certificate of Analysis

To download a Certificate of Analysis, please enter a lot number in the search box below.

Product Specific Notices for Coagulation Factor XIV/Protein C Antibody - BSA Free

This product is for research use only and is not approved for use in humans or in clinical diagnosis. Primary Antibodies are guaranteed for 1 year from date of receipt.

Loading...
Loading...
Loading...
Loading...