Coagulation Factor X Antibody - BSA Free
Novus Biologicals, part of Bio-Techne | Catalog # NBP1-33320
Key Product Details
Species Reactivity
Validated:
Human, Mouse
Cited:
Mouse
Predicted:
Rhesus Macaque (95%). Backed by our 100% Guarantee.
Applications
Validated:
Immunohistochemistry, Immunohistochemistry-Paraffin, Western Blot, Immunocytochemistry/ Immunofluorescence
Cited:
Immunohistochemistry-Paraffin
Label
Unconjugated
Antibody Source
Polyclonal Rabbit IgG
Format
BSA Free
Concentration
Concentrations vary lot to lot. See vial label for concentration. If unlisted please contact technical services.
Product Specifications
Immunogen
Recombinant protein encompassing a sequence within the center region of human Coagulation Factor X. The exact sequence is proprietary.
Reactivity Notes
Immunogen displays the following percentage of sequence identity for non-tested species: Rabbit (81%).
Localization
Secreted
Clonality
Polyclonal
Host
Rabbit
Isotype
IgG
Theoretical MW
55 kDa.
Disclaimer note: The observed molecular weight of the protein may vary from the listed predicted molecular weight due to post translational modifications, post translation cleavages, relative charges, and other experimental factors.
Disclaimer note: The observed molecular weight of the protein may vary from the listed predicted molecular weight due to post translational modifications, post translation cleavages, relative charges, and other experimental factors.
Scientific Data Images for Coagulation Factor X Antibody - BSA Free
Western Blot: Coagulation Factor X Antibody [NBP1-33320]
Western Blot: Coagulation Factor X Antibody [NBP1-33320] - HepG2 whole cell extract and conditioned medium (30 ug) were separated by 10% SDS-PAGE, and the membrane was blotted with Factor X antibody diluted at 1:1000. The HRP-conjugated anti-rabbit IgG antibody (NBP2-19301) was used to detect the primary antibody, and the signal was developed with Trident ECL plus-Enhanced.Immunocytochemistry/ Immunofluorescence: Coagulation Factor X Antibody [NBP1-33320]
Immunocytochemistry/Immunofluorescence: Coagulation Factor X Antibody [NBP1-33320] - Methanol-fixed HeLa, using Factor X antibody at 1:200 dilution.Immunohistochemistry-Paraffin: Coagulation Factor X Antibody [NBP1-33320]
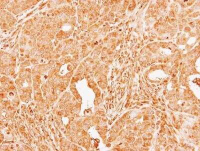
Immunohistochemistry-Paraffin: Coagulation Factor X Antibody [NBP1-33320] - NCI-N87 xenograft, using Factor X antibody at 1:100 dilution. Antigen Retrieval: Trilogy™ (EDTA based, pH 8.0) buffer, 15min.Applications for Coagulation Factor X Antibody - BSA Free
Application
Recommended Usage
Immunocytochemistry/ Immunofluorescence
1:100-1:1000
Immunohistochemistry
1:100-1:1000
Immunohistochemistry-Paraffin
1:100-1:1000
Western Blot
1:1000-1:10000
Formulation, Preparation, and Storage
Purification
Antigen Affinity-purified
Formulation
PBS, 20% Glycerol
Format
BSA Free
Preservative
0.025% Proclin 300
Concentration
Concentrations vary lot to lot. See vial label for concentration. If unlisted please contact technical services.
Shipping
The product is shipped with polar packs. Upon receipt, store it immediately at the temperature recommended below.
Stability & Storage
Aliquot and store at -20C or -80C. Avoid freeze-thaw cycles.
Background: Coagulation Factor X
Alternate Names
Cf10, F10, FX, FXa, Prothrombinase, Stuart Factor
Gene Symbol
F10
Additional Coagulation Factor X Products
Product Documents for Coagulation Factor X Antibody - BSA Free
Product Specific Notices for Coagulation Factor X Antibody - BSA Free
This product is for research use only and is not approved for use in humans or in clinical diagnosis. Primary Antibodies are guaranteed for 1 year from date of receipt.
Loading...
Loading...
Loading...
Loading...
⚠ WARNING: This product can expose you to chemicals including mercury, which is known to the State of California to cause reproductive toxicity with developmental effects. For more information go to www.P65Warnings.ca.gov.