Skip to main content

Coagulation Factor III/Tissue Factor Antibody (S04-7G2)

Novus Biologicals, part of Bio-Techne | Catalog # NBP3-14883

Recombinant Monoclonal Antibody
Novus Biologicals, part of Bio-Techne
Catalog #
Availability
Size / Price
Qty
Loading...
NBP3-14883-100ul
NBP3-14883-25ul

Key Product Details

Species Reactivity

Human, Mouse, Rat

Applications

Immunocytochemistry/ Immunofluorescence, Immunohistochemistry, Immunohistochemistry-Paraffin, Western Blot

Label

Unconjugated

Antibody Source

Recombinant Monoclonal Rabbit IgG Clone # S04-7G2 expressed in HEK293

Concentration

Please see the vial label for concentration. If unlisted please contact technical services.

Product Specifications

Immunogen

A synthetic peptide of human Coagulation Factor III/Tissue Factor (Uniprot#: P13726)

Clonality

Monoclonal

Host

Rabbit

Isotype

IgG

Theoretical MW

37 kDa.
Disclaimer note: The observed molecular weight of the protein may vary from the listed predicted molecular weight due to post translational modifications, post translation cleavages, relative charges, and other experimental factors.

Description

Novus Biologicals Rabbit Coagulation Factor III/Tissue Factor Antibody (S04-7G2) (NBP3-14883) is a recombinant monoclonal antibody validated for use in IHC, WB and ICC/IF. All Novus Biologicals antibodies are covered by our 100% guarantee.

Scientific Data Images for Coagulation Factor III/Tissue Factor Antibody (S04-7G2)

Western Blot: Coagulation Factor III/Tissue Factor Antibody (S04-7G2) [NBP3-14883]

Western Blot: Coagulation Factor III/Tissue Factor Antibody (S04-7G2) [NBP3-14883]

Western Blot: Coagulation Factor III/Tissue Factor Antibody (S04-7G2) [NBP3-14883] - Western blot detection of Coagulation Factor III/Tissue Factor in Hela, A549, MCF-7, U251, HL-60 cell lysates using Coagulation Factor III/Tissue Factor Rabbit mAb (1:1000 diluted). Predicted band size: 33kDa. Observed band size: 45kDa.
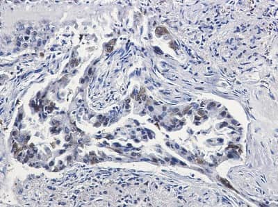
Immunohistochemistry-Paraffin: Coagulation Factor III/Tissue Factor Antibody (S04-7G2) [NBP3-14883]

Immunohistochemistry-Paraffin: Coagulation Factor III/Tissue Factor Antibody (S04-7G2) [NBP3-14883]

Immunohistochemistry-Paraffin: Coagulation Factor III/Tissue Factor Antibody (S04-7G2) [NBP3-14883] - Immunohistochemistry of Coagulation Factor III/Tissue Factor in paraffin-embedded Human lung cancer tissue using Coagulation Factor III/Tissue Factor Rabbit mAb at dilution 1/50

Applications for Coagulation Factor III/Tissue Factor Antibody (S04-7G2)

Application
Recommended Usage

Immunocytochemistry/ Immunofluorescence

1:50-1:200

Immunohistochemistry

1:100-1:200

Western Blot

1000-1:2000

Formulation, Preparation, and Storage

Purification

Affinity purified

Formulation

10mM PBS (pH 7.4), 150mM sodium chloride, 0.05% BSA, 50% glycerol

Preservative

0.02% Sodium Azide

Concentration

Please see the vial label for concentration. If unlisted please contact technical services.

Shipping

The product is shipped with polar packs. Upon receipt, store it immediately at the temperature recommended below.

Stability & Storage

Store at 4C short term. Aliquot and store at -20C long term. Avoid freeze-thaw cycles.

Background: Coagulation Factor III/Tissue Factor

Tissue Factor encodes coagulation factor III which is a cell surface glycoprotein. This factor enables cells to initiate the blood coagulation cascades, and it functions as the high-affinity receptor for the coagulation factor VII. The resulting complex provides a catalytic event that is responsible for initiation of the coagulation protease cascades by specific limited proteolysis. Unlike the other cofactors of these protease cascades, which circulate as nonfunctional precursors, this factor is a potent initiator that is fully functional when expressed on cell surfaces. There are 3 distinct domains of this factor: extracellular, transmembrane, and cytoplasmic. This protein is the only one in the coagulation pathway for which a congenital deficiency has not been described. [provided by RefSeq]

Alternate Names

CD142, F3, Thromboplastin, Tissue Factor

Gene Symbol

F3

Additional Coagulation Factor III/Tissue Factor Products

Product Documents for Coagulation Factor III/Tissue Factor Antibody (S04-7G2)

Certificate of Analysis

To download a Certificate of Analysis, please enter a lot number in the search box below.

Product Specific Notices for Coagulation Factor III/Tissue Factor Antibody (S04-7G2)

This product is for research use only and is not approved for use in humans or in clinical diagnosis. Primary Antibodies are guaranteed for 1 year from date of receipt.

Loading...
Loading...
Loading...
Loading...
Loading...