Skip to main content

Coagulation Factor II/Thrombin Antibody - BSA Free

Novus Biologicals, part of Bio-Techne | Catalog # NBP2-33728

Novus Biologicals, part of Bio-Techne
Catalog #
Availability
Size / Price
Qty
Loading...
NBP2-33728
NBP2-33728-25ul

Key Product Details

Validated by

Orthogonal Validation

Species Reactivity

Human

Applications

Immunohistochemistry, Immunohistochemistry-Paraffin

Label

Unconjugated

Antibody Source

Polyclonal Rabbit IgG

Format

BSA Free

Concentration

Concentrations vary lot to lot. See vial label for concentration. If unlisted please contact technical services.

Product Specifications

Immunogen

This antibody was developed against a recombinant protein corresponding to amino acids: EGVWCYVAGKPGDFGYCDLNYCEEAVEEETGDGLDEDSDRAIEGRTATSEYQTFFNPRTFGSGEADCGLRPLFEKKSLE

Clonality

Polyclonal

Host

Rabbit

Isotype

IgG

Description

Novus Biologicals Rabbit Coagulation Factor II/Thrombin Antibody - BSA Free (NBP2-33728) is a polyclonal antibody validated for use in IHC. All Novus Biologicals antibodies are covered by our 100% guarantee.

Scientific Data Images for Coagulation Factor II/Thrombin Antibody - BSA Free

Immunohistochemistry-Paraffin: Coagulation Factor II/Thrombin Antibody [NBP2-33728]

Immunohistochemistry-Paraffin: Coagulation Factor II/Thrombin Antibody [NBP2-33728]

Immunohistochemistry-Paraffin: Coagulation Factor II/Thrombin Antibody [NBP2-33728] - F2 Antibody [NBP2-33728] - Staining in human liver and pancreas tissues using anti-F2 antibody. Corresponding F2 RNA-seq data are presented for the same tissues.
Immunohistochemistry-Paraffin: Coagulation Factor II/Thrombin Antibody [NBP2-33728]

Immunohistochemistry-Paraffin: Coagulation Factor II/Thrombin Antibody [NBP2-33728]

Immunohistochemistry-Paraffin: F2 Antibody [NBP2-33728] - Staining of human pancreas shows low expression as expected.
Immunohistochemistry-Paraffin: Coagulation Factor II/Thrombin Antibody [NBP2-33728]

Immunohistochemistry-Paraffin: Coagulation Factor II/Thrombin Antibody [NBP2-33728]

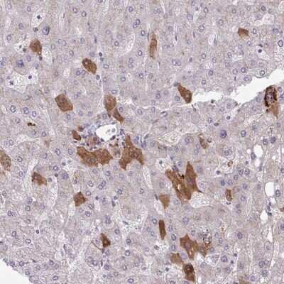
Immunohistochemistry-Paraffin: F2 Antibody [NBP2-33728] - Staining of human liver shows high expression.

Applications for Coagulation Factor II/Thrombin Antibody - BSA Free

Application
Recommended Usage

Immunohistochemistry

1:200 - 1:500

Immunohistochemistry-Paraffin

1:200 - 1:500
Application Notes
For IHC-Paraffin, HIER pH 6 retrieval is recommended.

Formulation, Preparation, and Storage

Purification

Immunogen affinity purified

Formulation

PBS (pH 7.2) and 40% Glycerol

Format

BSA Free

Preservative

0.02% Sodium Azide

Concentration

Concentrations vary lot to lot. See vial label for concentration. If unlisted please contact technical services.

Shipping

The product is shipped with polar packs. Upon receipt, store it immediately at the temperature recommended below.

Stability & Storage

Store at 4C short term. Aliquot and store at -20C long term. Avoid freeze-thaw cycles.

Background: Coagulation Factor II/Thrombin

Proteinase-activated receptor 3 (PAR3) is a member of the Proteinase-Activated Receptor subfamily. The enzyme thrombin is involved in the activation of platelets, leukocytes, endothelial cells, and mesenchymal cells at sites of vascular injury. These cellular responses are triggered through proteolytic activation of PAR3 and other receptors by thrombin. It is believed that PAR3 functions as a cofactor for the cleavage and activation of PAR4. PAR3 expression has been documented in blood, bone marrow, lung, spleen, and vessel. ESTs have been isolated from head/neck, skeletal muscle, and skin libraries.

Alternate Names

F2, Thrombin

Gene Symbol

F2

UniProt

Additional Coagulation Factor II/Thrombin Products

Product Documents for Coagulation Factor II/Thrombin Antibody - BSA Free

Certificate of Analysis

To download a Certificate of Analysis, please enter a lot number in the search box below.

Product Specific Notices for Coagulation Factor II/Thrombin Antibody - BSA Free

This product is for research use only and is not approved for use in humans or in clinical diagnosis. Primary Antibodies are guaranteed for 1 year from date of receipt.

Loading...
Loading...
Loading...
Loading...
Loading...