Skip to main content

CNOT1 Antibody - Azide and BSA Free

Novus Biologicals, part of Bio-Techne | Catalog # NBP2-92464

Novus Biologicals, part of Bio-Techne
Catalog #
Availability
Size / Price
Qty
Loading...
NBP2-92464-0.1ml
NBP2-92464-0.02ml

Key Product Details

Species Reactivity

Human, Mouse

Applications

Western Blot, Immunocytochemistry/ Immunofluorescence

Label

Unconjugated

Antibody Source

Polyclonal Rabbit IgG

Format

Azide and BSA Free

Concentration

Please see the vial label for concentration. If unlisted please contact technical services.

Product Specifications

Immunogen

Recombinant fusion protein containing a sequence corresponding to amino acids 2137-2376 of human CNOT1 (NP_057368.3). PRNMRLPDPFTPNLKVDMLSEINIAPRILTNFTGVMPPQFKKDLDSYLKTRSPVTFLSDLRSNLQVSNEPGNRYNLQLINALVLYVGTQAIAHIHNKGSTPSMSTITHSAHMDIFQNLAVDLDTEGRYLFLNAIANQLRYPNSHTHYFSCTMLYLFAEANTEAIQEQITRVLLERLIVNRPHPWGLLITFIELIKNPAFKFWNHEFVHCAPEIEKLFQSVAQCCMGQKQAQQVMEGTGAS

Clonality

Polyclonal

Host

Rabbit

Isotype

IgG

Description

Novus Biologicals Rabbit CNOT1 Antibody - Azide and BSA Free (NBP2-92464) is a polyclonal antibody validated for use in WB and ICC/IF. All Novus Biologicals antibodies are covered by our 100% guarantee.

Scientific Data Images for CNOT1 Antibody - Azide and BSA Free

Western Blot: CNOT1 AntibodyAzide and BSA Free [NBP2-92464]

Western Blot: CNOT1 AntibodyAzide and BSA Free [NBP2-92464]

Western Blot: CNOT1 Antibody [NBP2-92464] - Whole cell lysate from SUM159 cells was loaded with 50 ug/lane. 10% SDS-PAGE. CNOT1 Antibody (NBP2-92464) was used for primary antibody: 1:1000, 4C, overnight. Image from verified customer review.
Western Blot: CNOT1 AntibodyAzide and BSA Free [NBP2-92464]

Western Blot: CNOT1 AntibodyAzide and BSA Free [NBP2-92464]

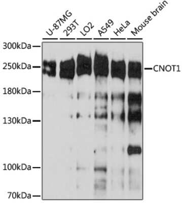
Western Blot: CNOT1 Antibody [NBP2-92464] - Analysis of extracts of various cell line, using CNOT1 at 1:3000 dilution.Secondary antibody: HRP Goat Anti-Rabbit IgG (H+L) at 1:10000 dilution.Lysates/proteins: 25ug per lane.Blocking buffer: 3% nonfat dry milk in TBST.Detection: ECL Basic Kit .Exposure time: 30s.
CNOT1 Antibody - Azide and BSA Free

Immunocytochemistry/ Immunofluorescence: CNOT1 Antibody - Azide and BSA Free [NBP2-92464] -

Immunocytochemistry/ Immunofluorescence: CNOT1 Antibody - Azide and BSA Free [NBP2-92464] - Immunofluorescence analysis of L929 cells using CNOT1 Rabbit pAb at dilution of 1:100. Secondary antibody: Cy3 Goat Anti-Rabbit IgG (H+L) at 1:500 dilution. Blue: DAPI for nuclear staining.

Applications for CNOT1 Antibody - Azide and BSA Free

Application
Recommended Usage

Immunocytochemistry/ Immunofluorescence

1:50-1:200

Western Blot

1:200-1:2000

Reviewed Applications

Read 1 review rated 5 using NBP2-92464 in the following applications:

Formulation, Preparation, and Storage

Purification

Affinity purified

Formulation

PBS (pH 7.3), 50% glycerol

Format

Azide and BSA Free

Preservative

0.01% Thimerosal

Concentration

Please see the vial label for concentration. If unlisted please contact technical services.

Shipping

The product is shipped with polar packs. Upon receipt, store it immediately at the temperature recommended below.

Stability & Storage

Store at -20C. Avoid freeze-thaw cycles.

Background: CNOT1

Alternate Names

AD-005, adrenal gland protein AD-005, CCR4-associated factor 1, CCR4-NOT transcription complex subunit 1, CCR4-NOT transcription complex, subunit 1, CDC39DKFZp686E0722, hNOT1, KIAA1007DKFZp686O168, Negative regulator of transcription subunit 1 homolog, NOT1 (negative regulator of transcription 1, yeast) homolog, NOT1FLJ90644, NOT1HFLJ36492

Gene Symbol

CNOT1

Additional CNOT1 Products

Product Documents for CNOT1 Antibody - Azide and BSA Free

Certificate of Analysis

To download a Certificate of Analysis, please enter a lot number in the search box below.

Product Specific Notices for CNOT1 Antibody - Azide and BSA Free

This product is for research use only and is not approved for use in humans or in clinical diagnosis. Primary Antibodies are guaranteed for 1 year from date of receipt.

Loading...
Loading...
Loading...
Loading...

⚠ WARNING: This product can expose you to chemicals including Methotrexate, which is known to the State of California to cause reproductive toxicity with developmental effects. For more information, go to www.P65Warnings.ca.gov