Skip to main content

CMP kinase Antibody - BSA Free

Novus Biologicals, part of Bio-Techne | Catalog # NBP2-33692

Novus Biologicals, part of Bio-Techne
Catalog #
Availability
Size / Price
Qty
Loading...
NBP2-33692

Key Product Details

Validated by

Independent Antibodies

Species Reactivity

Validated:

Human

Predicted:

Mouse (99%), Rat (97%). Backed by our 100% Guarantee.

Applications

Immunohistochemistry, Immunohistochemistry-Paraffin, Western Blot, Immunocytochemistry/ Immunofluorescence

Label

Unconjugated

Antibody Source

Polyclonal Rabbit IgG

Format

BSA Free

Concentration

Concentrations vary lot to lot. See vial label for concentration. If unlisted please contact technical services.

Product Specifications

Immunogen

This antibody was developed against a recombinant protein corresponding to amino acids: NLQGWNKTMDGKADVSFVLFFDCNNEICIERCLERGKSSGRSDDNRESLEKRIQTYLQSTKPIIDLYEEMGKVKK

Clonality

Polyclonal

Host

Rabbit

Isotype

IgG

Description

Novus Biologicals Rabbit CMP kinase Antibody - BSA Free (NBP2-33692) is a polyclonal antibody validated for use in IHC, WB and ICC/IF. All Novus Biologicals antibodies are covered by our 100% guarantee.

Scientific Data Images for CMP kinase Antibody - BSA Free

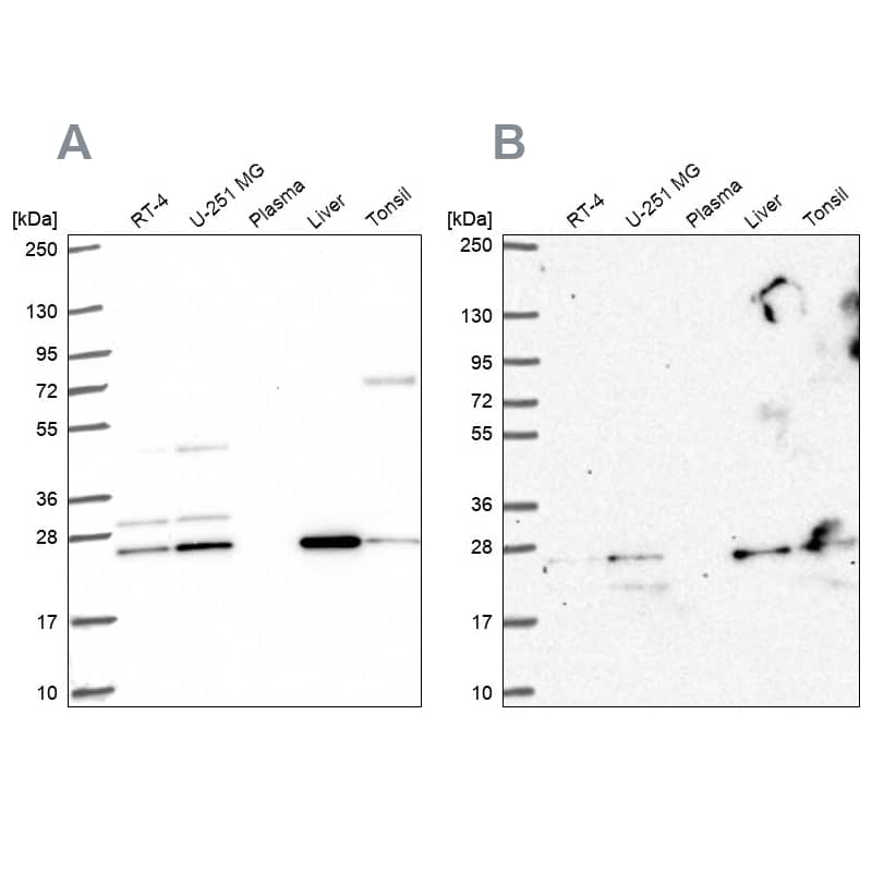
Western Blot: CMP kinase Antibody [NBP2-33692]

Western Blot: CMP kinase Antibody [NBP2-33692]

Western Blot: CMP kinase Antibody [NBP2-33692] - Lane 1: Marker [kDa] 250, 130, 95, 72, 55, 36, 28, 17, 10. Lane 2: Human cell line RT-4. Lane 3: Human cell line U-251MG sp. Lane 4: Human plasma (IgG/HSA depleted). Lane 5: Human liver tissue
Immunocytochemistry/ Immunofluorescence: CMP kinase Antibody [NBP2-33692]

Immunocytochemistry/ Immunofluorescence: CMP kinase Antibody [NBP2-33692]

Immunocytochemistry/Immunofluorescence: CMP kinase Antibody [NBP2-33692] - Staining of human cell line MCF-7 shows positivity in nucleus but excluded from the nucleoli.
Immunohistochemistry: CMP kinase Antibody [NBP2-33692]

Immunohistochemistry: CMP kinase Antibody [NBP2-33692]

Immunohistochemistry: CMP kinase Antibody [NBP2-33692] - Staining of human uterus, post-menopause shows strong cytoplasmic positivity in glandular cells.

Applications for CMP kinase Antibody - BSA Free

Application
Recommended Usage

Immunocytochemistry/ Immunofluorescence

0.25-2 ug/ml

Immunohistochemistry

1:50 - 1:200

Immunohistochemistry-Paraffin

1:50 - 1:200

Western Blot

0.04-0.4 ug/ml
Application Notes
For IHC-Paraffin, HIER pH 6 retrieval is recommended. Immunocytochemistry/Immunofluorescence Fixation Permeabilization: Use PFA/Triton X-100.

Formulation, Preparation, and Storage

Purification

Affinity purified

Formulation

PBS (pH 7.2) and 40% Glycerol

Format

BSA Free

Preservative

0.02% Sodium Azide

Concentration

Concentrations vary lot to lot. See vial label for concentration. If unlisted please contact technical services.

Shipping

The product is shipped with polar packs. Upon receipt, store it immediately at the temperature recommended below.

Stability & Storage

Store at 4C short term. Aliquot and store at -20C long term. Avoid freeze-thaw cycles.

Background: CMP kinase

Uridine monophosphate (UMP)/cytidine monophosphate (CMP) kinase (EC 2.7.4.4) catalyzes the phosphoryl transfer from ATP to UMP, CMP, and deoxy-CMP (dCMP), resulting in the formation of ADP and the corresponding nucleoside diphosphate. These nucleoside diphosphates are required for cellular nucleic acid synthesis (Liou et al., 2002 [PubMed 11912132]).[supplied by OMIM]

Alternate Names

CMKEC 2.7.4.14, CMPKUMKUMP-CMP kinase, cytidine monophosphate (UMP-CMP) kinase 1, cytosolic, Cytidine monophosphate kinase, Cytidylate kinaseUMP/CMP kinase, Deoxycytidylate kinase, EC 2.7.4, UMP/CMPK, UMP-CMPK, UMPKUCK, Uridine monophosphate kinase, Uridine monophosphate/cytidine monophosphate kinase

Gene Symbol

CMPK1

UniProt

Additional CMP kinase Products

Product Documents for CMP kinase Antibody - BSA Free

Certificate of Analysis

To download a Certificate of Analysis, please enter a lot number in the search box below.

Product Specific Notices for CMP kinase Antibody - BSA Free

This product is for research use only and is not approved for use in humans or in clinical diagnosis. Primary Antibodies are guaranteed for 1 year from date of receipt.

Loading...
Loading...
Loading...
Loading...