Skip to main content

CMIP Antibody - BSA Free

Novus Biologicals, part of Bio-Techne | Catalog # NBP2-56410

Novus Biologicals, part of Bio-Techne
Catalog #
Availability
Size / Price
Qty
Loading...
NBP2-56410-25ul
NBP2-56410

Key Product Details

Validated by

Knockout/Knockdown, Orthogonal Validation

Species Reactivity

Validated:

Human

Predicted:

Mouse (100%), Rat (100%). Backed by our 100% Guarantee.

Applications

Immunohistochemistry, Immunohistochemistry-Paraffin, Western Blot, Knockdown Validated

Label

Unconjugated

Antibody Source

Polyclonal Rabbit IgG

Format

BSA Free

Concentration

Concentrations vary lot to lot. See vial label for concentration. If unlisted please contact technical services.

Product Specifications

Immunogen

This antibody was developed against a recombinant protein corresponding to the following amino acid sequence: RDQWFHSLQWKKKIYKYKKVLSNPSRWEVVLKEIRTLVDMALTSPLQDDSINQAPLEIVSKLLSENTNLTTQEHENIIVAIAPLLENNH

Clonality

Polyclonal

Host

Rabbit

Isotype

IgG

Description

Novus Biologicals Rabbit CMIP Antibody - BSA Free (NBP2-56410) is a polyclonal antibody validated for use in IHC and WB. All Novus Biologicals antibodies are covered by our 100% guarantee.

Scientific Data Images for CMIP Antibody - BSA Free

Western Blot: CMIP Antibody [NBP2-56410]

Western Blot: CMIP Antibody [NBP2-56410]

Western Blot: CMIP Antibody [NBP2-56410] - Analysis in human cell lines A-549 and SK-MEL-30. Corresponding RNA-seq data are presented for the same cell lines. Loading control: Anti-COX4I1.
Western Blot: CMIP Antibody [NBP2-56410]

Western Blot: CMIP Antibody [NBP2-56410]

Western Blot: CMIP Antibody [NBP2-56410] - Analysis in A-549 cells transfected with control siRNA, target specific siRNA probe #1 and #2, using Anti-CMIP antibody. Remaining relative intensity is presented. Loading control: Anti-GAPDH.
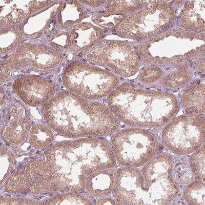
Immunohistochemistry-Paraffin: CMIP Antibody [NBP2-56410]

Immunohistochemistry-Paraffin: CMIP Antibody [NBP2-56410]

Immunohistochemistry-Paraffin: CMIP Antibody [NBP2-56410] - Staining of human kidney shows moderate cytoplasmic positivity in cells in tubules.

Applications for CMIP Antibody - BSA Free

Application
Recommended Usage

Immunohistochemistry

1:1000 - 1:2500

Immunohistochemistry-Paraffin

1:1000 - 1:2500

Western Blot

0.04-0.4 ug/ml
Application Notes
For IHC-Paraffin, HIER pH 6 retrieval is recommended.

Formulation, Preparation, and Storage

Purification

Affinity purified

Formulation

PBS (pH 7.2) and 40% Glycerol

Format

BSA Free

Preservative

0.02% Sodium Azide

Concentration

Concentrations vary lot to lot. See vial label for concentration. If unlisted please contact technical services.

Shipping

The product is shipped with polar packs. Upon receipt, store it immediately at the temperature recommended below.

Stability & Storage

Store at 4C short term. Aliquot and store at -20C long term. Avoid freeze-thaw cycles.

Background: CMIP

CMIP plays a role in T-cell signaling pathway. Isoform 2 may play a role in T-helper 2 (Th2) signaling pathway andseems to represent the first proximal signaling protein that links T-cell receptor-mediated signal to the activationof c-Maf Th2 specific factor

Alternate Names

c-Mip, KIAA1694c-Maf-inducing protein, T, TCMIP, tc-Mip, Truncated c-Maf-inducing protein

Gene Symbol

CMIP

Additional CMIP Products

Product Documents for CMIP Antibody - BSA Free

Certificate of Analysis

To download a Certificate of Analysis, please enter a lot number in the search box below.

Product Specific Notices for CMIP Antibody - BSA Free

This product is for research use only and is not approved for use in humans or in clinical diagnosis. Primary Antibodies are guaranteed for 1 year from date of receipt.

Loading...
Loading...
Loading...
Loading...