Skip to main content

CLOCK Antibody (OTI2H7) - Azide and BSA Free

Novus Biologicals, part of Bio-Techne | Catalog # NBP2-71479

Novus Biologicals, part of Bio-Techne

Key Product Details

Species Reactivity

Human, Mouse, Rat

Applications

Immunohistochemistry, Immunohistochemistry-Paraffin, Western Blot

Label

Unconjugated

Antibody Source

Monoclonal Mouse IgG1 Clone # OTI2H7

Format

Azide and BSA Free

Concentration

LYOPH mg/ml

Product Specifications

Immunogen

Human recombinant protein fragment corresponding to amino acids 1-285 of human CLOCK (NP_004889) produced in E.coli.

Reactivity Notes

Please note that this antibody is reactive to Mouse and derived from the same host, Mouse. Mouse-On-Mouse blocking reagent may be needed for IHC and ICC experiments to reduce high background signal. You can find these reagents under catalog numbers PK-2200-NB and MP-2400-NB. Please contact Technical Support if you have any questions.

Clonality

Monoclonal

Host

Mouse

Isotype

IgG1

Theoretical MW

95.1 kDa.
Disclaimer note: The observed molecular weight of the protein may vary from the listed predicted molecular weight due to post translational modifications, post translation cleavages, relative charges, and other experimental factors.

Description

Novus Biologicals Mouse CLOCK Antibody (OTI2H7) - Azide and BSA Free (NBP2-46311) is a monoclonal antibody validated for use in IHC and WB. All Novus Biologicals antibodies are covered by our 100% guarantee.

Scientific Data Images for CLOCK Antibody (OTI2H7) - Azide and BSA Free

Western Blot: CLOCK Antibody (OTI2H7)Azide and BSA Free [NBP2-71479]

Western Blot: CLOCK Antibody (OTI2H7)Azide and BSA Free [NBP2-71479]

Western Blot: CLOCK Antibody (OTI2H7) - Azide and BSA Free [NBP2-71479] - Human recombinant protein fragment corresponding to amino acids 1-285 of human CLOCK (NP_004889) produced in E.coli.
Immunohistochemistry: CLOCK Antibody (OTI2H7) - Azide and BSA Free [NBP2-71479]

Immunohistochemistry: CLOCK Antibody (OTI2H7) - Azide and BSA Free [NBP2-71479]

Immunohistochemistry: CLOCK Antibody (OTI2H7) - Azide and BSA Free [NBP2-71479] - Analysis of Human bladder tissue. (Heat-induced epitope retrieval by 1 mM EDTA in 10mM Tris, pH8.5, 120C for 3min)
Immunohistochemistry: CLOCK Antibody (OTI2H7) - Azide and BSA Free [NBP2-71479]

Immunohistochemistry: CLOCK Antibody (OTI2H7) - Azide and BSA Free [NBP2-71479]

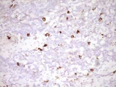
Immunohistochemistry: CLOCK Antibody (OTI2H7) - Azide and BSA Free [NBP2-71479] - Analysis of Carcinoma of Human bladder tissue. (Heat-induced epitope retrieval by 1 mM EDTA in 10mM Tris, pH8.5, 120C for 3min)

Applications for CLOCK Antibody (OTI2H7) - Azide and BSA Free

Application
Recommended Usage

Immunohistochemistry

1:150

Immunohistochemistry-Paraffin

1:150

Western Blot

1:2000

Formulation, Preparation, and Storage

Purification

Immunogen affinity purified

Reconstitution

we recommend adding 100uL distilled water to a final antibody concentration of about 1 mg/mL. To use this carrier-free antibody for conjugation experiment, we strongly recommend performing another round of desalting process.

Formulation

Lyophilized from PBS (pH 7.3) with 8% Trehalose

Format

Azide and BSA Free

Preservative

No Preservative

Concentration

LYOPH mg/ml

Shipping

The product is shipped with polar packs. Upon receipt, store it immediately at the temperature recommended below.

Stability & Storage

Store at -20C. Avoid freeze-thaw cycles.

Background: CLOCK

Circadian Locomotor Output Cycles Kaput (CLOCK) is a bHLH/PAS protein that plays an important role in the molecular clock mechanism. Specifically, CLOCK activates the central circadian loop by stimulating expression of Period and Timeless proteins. CLOCK has also been shown to interact strongly with other bHLH-PAS proteins such as MOP3, a BMAL1 isoform.

CLOCK levels peak during the late night and the early part of the subjective day. Mutations in CLOCK causes defective transcriptional activity and lengthens the circadian period, leading to abnormal circadian behavior.

CLOCK antibodies are useful tools for research on circadian rythmns, sleep biology and hormonal cycles.

Long Name

Circadian Locomoter Output Cycles Kaput

Alternate Names

BHLHE8, circadian locomoter output cycles protein kaput, Class E basic helix-loop-helix protein 8, clock (mouse) homolog, clock homolog (mouse), EC 2.3.1.48, hCLOCK, KAT13D, KIAA0334bHLHe8circadian locomoter output cycles kaput protein

Gene Symbol

CLOCK

Additional CLOCK Products

Product Documents for CLOCK Antibody (OTI2H7) - Azide and BSA Free

Certificate of Analysis

To download a Certificate of Analysis, please enter a lot number in the search box below.

Product Specific Notices for CLOCK Antibody (OTI2H7) - Azide and BSA Free

This product is for research use only and is not approved for use in humans or in clinical diagnosis. Primary Antibodies are guaranteed for 1 year from date of receipt.

Loading...
Loading...
Loading...
Loading...
Loading...