CLN5 Antibody - Azide and BSA Free
Novus Biologicals, part of Bio-Techne | Catalog # NBP2-92707
Key Product Details
Species Reactivity
Human, Mouse, Rat
Applications
Immunohistochemistry, Immunohistochemistry-Paraffin, Western Blot
Label
Unconjugated
Antibody Source
Polyclonal Rabbit IgG
Format
Azide and BSA Free
Concentration
Please see the vial label for concentration. If unlisted please contact technical services.
Product Specifications
Immunogen
Recombinant fusion protein containing a sequence corresponding to amino acids 96-407 of human CLN5 (NP_006484.1). IPSRRHWPVPYKRFDFRPKPDPYCQAKYTFCPTGSPIPVMEGDDDIEVFRLQAPVWEFKYGDLLGHLKIMHDAIGFRSTLTGKNYTMEWYELFQLGNCTFPHLRPEMDAPFWCNQGAACFFEGIDDVHWKENGTLVQVATISGNMFNQMAKWVKQDNETGIYYETWNVKASPEKGAETWFDSYDCSKFVLRTFNKLAEFGAEFKNIETNYTRIFLYSGEPTYLGNETSVFGPTGNKTLGLAIKRFYYPFKPHLPTKEFLLSLLQIFDAVIVHKQFYLFYNFEYWFLPMKFPFIKITYEEIPLPIRNKTLSGL
Clonality
Polyclonal
Host
Rabbit
Isotype
IgG
Theoretical MW
41 kDa.
Disclaimer note: The observed molecular weight of the protein may vary from the listed predicted molecular weight due to post translational modifications, post translation cleavages, relative charges, and other experimental factors.
Disclaimer note: The observed molecular weight of the protein may vary from the listed predicted molecular weight due to post translational modifications, post translation cleavages, relative charges, and other experimental factors.
Description
Novus Biologicals Rabbit CLN5 Antibody - Azide and BSA Free (NBP2-92707) is a polyclonal antibody validated for use in IHC and WB. All Novus Biologicals antibodies are covered by our 100% guarantee.
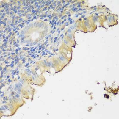
Scientific Data Images for CLN5 Antibody - Azide and BSA Free
Western Blot: CLN5 AntibodyAzide and BSA Free [NBP2-92707]
Western Blot: CLN5 Antibody [NBP2-92707] - Analysis of extracts of various cell lines, using CLN5 at 1:3000 dilution.Secondary antibody: HRP Goat Anti-Rabbit IgG (H+L) at 1:10000 dilution.Lysates/proteins: 25ug per lane.Blocking buffer: 3% nonfat dry milk in TBST.Detection: ECL Basic Kit .Exposure time: 90s.Immunohistochemistry-Paraffin: CLN5 Antibody - Azide and BSA Free [NBP2-92707]
Immunohistochemistry-Paraffin: CLN5 Antibody [NBP2-92707] - Paraffin-embedded human appendix using CLN5 .Applications for CLN5 Antibody - Azide and BSA Free
Application
Recommended Usage
Immunohistochemistry
1:50-1:200
Western Blot
1:500-1:2000
Formulation, Preparation, and Storage
Purification
Affinity purified
Formulation
PBS (pH 7.3), 50% glycerol
Format
Azide and BSA Free
Preservative
0.01% Thimerosal
Concentration
Please see the vial label for concentration. If unlisted please contact technical services.
Shipping
The product is shipped with polar packs. Upon receipt, store it immediately at the temperature recommended below.
Stability & Storage
Store at -20C. Avoid freeze-thaw cycles.
Background: CLN5
Long Name
Ceroid Lipofuscinosis, Neuronal 5
Alternate Names
ceroid-lipofuscinosis neuronal protein 5, ceroid-lipofuscinosis, neuronal 5, FLJ90628
Gene Symbol
CLN5
Additional CLN5 Products
Product Documents for CLN5 Antibody - Azide and BSA Free
Product Specific Notices for CLN5 Antibody - Azide and BSA Free
This product is for research use only and is not approved for use in humans or in clinical diagnosis. Primary Antibodies are guaranteed for 1 year from date of receipt.
Loading...
Loading...
Loading...
Loading...
⚠ WARNING: This product can expose you to chemicals including Methotrexate, which is known to the State of California to cause reproductive toxicity with developmental effects. For more information, go to www.P65Warnings.ca.gov