Skip to main content

CLEC16A Antibody - BSA Free

Novus Biologicals, part of Bio-Techne | Catalog # NBP1-81805

Novus Biologicals, part of Bio-Techne
Catalog #
Availability
Size / Price
Qty
Loading...
NBP1-81805
NBP1-81805-25ul

Key Product Details

Validated by

Orthogonal Validation

Species Reactivity

Validated:

Human, Rat

Cited:

Rat

Predicted:

Mouse (98%). Backed by our 100% Guarantee.

Applications

Validated:

Immunohistochemistry, Immunohistochemistry-Paraffin, Western Blot

Cited:

Western Blot

Label

Unconjugated

Antibody Source

Polyclonal Rabbit IgG

Format

BSA Free

Concentration

Concentrations vary lot to lot. See vial label for concentration. If unlisted please contact technical services.

Product Specifications

Immunogen

This antibody was developed against Recombinant Protein corresponding to amino acids: VPYFSNLVWFIGSHVIELDDCVQTDEEHRNRGKLSDLVAEHLDHLHYLNDILIINCEFLNDVLTDHLLNRLFLPLYVYSLENQDKGGERPKISLPVSLYLLSQVFL

Reactivity Notes

Rat reactivity reported in scientific literature (PMID: 22002632).

Clonality

Polyclonal

Host

Rabbit

Isotype

IgG

Description

Novus Biologicals Rabbit CLEC16A Antibody - BSA Free (NBP1-81805) is a polyclonal antibody validated for use in IHC and WB. Anti-CLEC16A Antibody: Cited in 1 publication. All Novus Biologicals antibodies are covered by our 100% guarantee.

Scientific Data Images for CLEC16A Antibody - BSA Free

CLEC16A Antibody

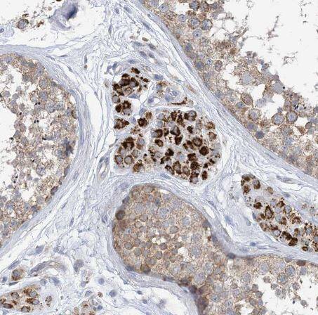
Immunohistochemistry-Paraffin: CLEC16A Antibody [NBP1-81805] -

Immunohistochemistry-Paraffin: CLEC16A Antibody [NBP1-81805] -Analysis in human testis and pancreas tissues using antibody. Corresponding CLEC16A RNA-seq data are presented for the same tissues.
CLEC16A Antibody

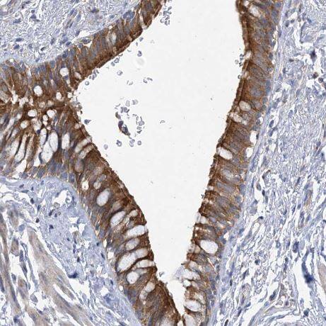
Immunohistochemistry-Paraffin: CLEC16A Antibody [NBP1-81805] -

Immunohistochemistry-Paraffin: CLEC16A Antibody [NBP1-81805] -Staining of human bronchus shows strong cytoplasmic positivity in respiratory epithelial cells.
CLEC16A Antibody

Staining of human testis shows strong cytoplasmic positivity in Leydig cells.

Staining of human testis shows strong cytoplasmic positivity in Leydig cells.

Applications for CLEC16A Antibody - BSA Free

Application
Recommended Usage

Immunohistochemistry

1:50 - 1:200

Immunohistochemistry-Paraffin

1:50 - 1:200

Western Blot

Reported in scientific literature (PMID: 22002632).
Application Notes
For IHC-Paraffin, HIER pH 6 retrieval is recommended.

Formulation, Preparation, and Storage

Purification

Affinity purified

Formulation

PBS (pH 7.2) and 40% Glycerol

Format

BSA Free

Preservative

0.02% Sodium Azide

Concentration

Concentrations vary lot to lot. See vial label for concentration. If unlisted please contact technical services.

Shipping

The product is shipped with polar packs. Upon receipt, store it immediately at the temperature recommended below.

Stability & Storage

Store at 4C short term. Aliquot and store at -20C long term. Avoid freeze-thaw cycles.

Background: CLEC16A

CLEC16A is almost exclusively expressed in immune cells, including dendritic cells, B lymphocytes and natural killer cells. There are three isoforms.

Long Name

C-type Lectin Domain Family 16, Member A

Alternate Names

Gop-1, KIAA0350

Entrez Gene IDs

23274 (Human)

Gene Symbol

CLEC16A

UniProt

Additional CLEC16A Products

Product Documents for CLEC16A Antibody - BSA Free

Certificate of Analysis

To download a Certificate of Analysis, please enter a lot number in the search box below.

Product Specific Notices for CLEC16A Antibody - BSA Free

This product is for research use only and is not approved for use in humans or in clinical diagnosis. Primary Antibodies are guaranteed for 1 year from date of receipt.

Loading...
Loading...
Loading...
Loading...