cleavage stimulation factor Antibody - BSA Free
Novus Biologicals, part of Bio-Techne | Catalog # NB100-60443
Conjugate
Catalog #
Key Product Details
Validated by
Independent Antibodies
Species Reactivity
Validated:
Human, Mouse
Predicted:
Orangutan (100%), Rat (100%). Backed by our 100% Guarantee.
Applications
Immunohistochemistry, Immunohistochemistry-Paraffin, Western Blot, Immunoprecipitation
Label
Unconjugated
Antibody Source
Polyclonal Rabbit IgG
Format
BSA Free
Concentration
1.0 mg/ml
Product Specifications
Immunogen
The immunogen recognized by this antibody maps to a region between residue 75 and 125 of human cleavage stimulation factor, 3' pre-RNA, subunit 1, 50kDa using the numbering given in entry NP_001315.1 (GeneID 1477 ).
Clonality
Polyclonal
Host
Rabbit
Isotype
IgG
Scientific Data Images for cleavage stimulation factor Antibody - BSA Free
Western Blot: cleavage stimulation factor Antibody [NB100-60443]
Western Blot: cleavage stimulation factor Antibody [NB100-60443] - Detection of human and mouse CSTF50 by western blot. Samples: Whole cell lysate (50 ug) from HeLa, HEK293T, and mouse NIH 3T3 cells prepared using NETN lysis buffer. Antibody: Affinity purified rabbit anti-CSTF50 antibody NB100-60443 used for WB at 0.4 ug/ml. Detection: Chemiluminescence with an exposure time of 30 seconds.Immunohistochemistry-Paraffin: cleavage stimulation factor Antibody [NB100-60443]
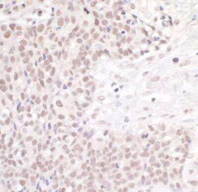
Immunohistochemistry-Paraffin: cleavage stimulation factor Antibody [NB100-60443] - FFPE section of human ovarian carcinoma. Antibody: Affinity purified rabbit anti-CSTF50 used at a dilution of 1:5,000 (0.2ug/ml). Detection: DABImmunohistochemistry-Paraffin: cleavage stimulation factor Antibody [NB100-60443]
Immunohistochemistry-Paraffin: cleavage stimulation factor Antibody [NB100-60443] - Detection of mouse CSTF50 by immunohistochemistry. Sample: FFPE section of mouse teratoma. Antibody: Affinity purified rabbit anti-CSTF50 (NB100-60443). Detection: DABApplications for cleavage stimulation factor Antibody - BSA Free
Application
Recommended Usage
Immunohistochemistry
1:1000 - 1:5000
Immunohistochemistry-Paraffin
1:1000 - 1:5000
Immunoprecipitation
2 - 10 ug/mg lysate
Western Blot
1:1000 - 1:5000
Application Notes
Epitope retrieval with citrate buffer pH 6.0 is recommended for FFPE tissue sections.
Reviewed Applications
Read 1 review rated 5 using NB100-60443 in the following applications:
Formulation, Preparation, and Storage
Purification
Immunogen affinity purified
Formulation
Tris-Citrate/Phosphate (pH 7.0 - 8.0)
Format
BSA Free
Preservative
0.09% Sodium Azide
Concentration
1.0 mg/ml
Shipping
The product is shipped with polar packs. Upon receipt, store it immediately at the temperature recommended below.
Stability & Storage
Store at 4C. Do not freeze.
Background: cleavage stimulation factor
Alternate Names
CF-1 50 kDa subunit, Cleavage stimulation factor 50 kDa subunit, cleavage stimulation factor subunit 1, cleavage stimulation factor, 3' pre-RNA, subunit 1, 50kD, cleavage stimulation factor, 3' pre-RNA, subunit 1, 50kDa, CSTF 50 kDa subunit, CstF-50, CstFp50
Entrez Gene IDs
1477 (Human)
Gene Symbol
CSTF1
UniProt
Additional cleavage stimulation factor Products
Product Documents for cleavage stimulation factor Antibody - BSA Free
Product Specific Notices for cleavage stimulation factor Antibody - BSA Free
This product is for research use only and is not approved for use in humans or in clinical diagnosis. Primary Antibodies are guaranteed for 1 year from date of receipt.
Loading...
Loading...
Loading...
Loading...