Skip to main content

CLE7 homolog Antibody (OTI2A4) - Azide and BSA Free

Novus Biologicals, part of Bio-Techne | Catalog # NBP2-71940

Novus Biologicals, part of Bio-Techne
Catalog #
Availability
Size / Price
Qty
Loading...
NBP2-71940
Conjugate
Catalog #

Key Product Details

Species Reactivity

Human

Applications

Immunohistochemistry, Immunohistochemistry-Paraffin, Western Blot

Label

Unconjugated

Antibody Source

Monoclonal Mouse IgG1 Clone # OTI2A4

Format

Azide and BSA Free

Concentration

LYOPH mg/ml

Product Specifications

Immunogen

Full length human recombinant protein of human C14orf166 (NP_057123) produced in E.coli.

Clonality

Monoclonal

Host

Mouse

Isotype

IgG1

Scientific Data Images for CLE7 homolog Antibody (OTI2A4) - Azide and BSA Free

Western Blot: CLE7 homolog Antibody (OTI2A4)Azide and BSA Free [NBP2-71940]

Western Blot: CLE7 homolog Antibody (OTI2A4)Azide and BSA Free [NBP2-71940]

Western Blot: CLE7 homolog Antibody (OTI2A4) - Azide and BSA Free [NBP2-71940] - Analysis of HEK293T cells were transfected with the pCMV6-ENTRY control (Left lane) or pCMV6-ENTRY C14orf166.
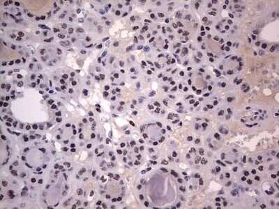
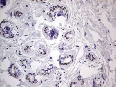
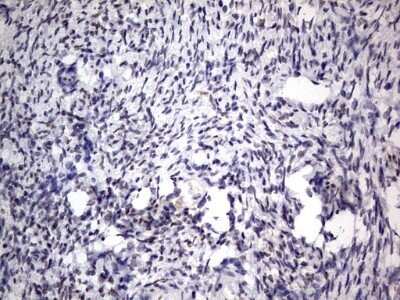
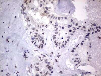
Immunohistochemistry: CLE7 homolog Antibody (OTI2A4) - Azide and BSA Free [NBP2-71940]

Immunohistochemistry: CLE7 homolog Antibody (OTI2A4) - Azide and BSA Free [NBP2-71940]

Immunohistochemistry: CLE7 homolog Antibody (OTI2A4) - Azide and BSA Free [NBP2-71940] - Analysis of Human thyroid tissue.
Western Blot: CLE7 homolog Antibody (OTI2A4)Azide and BSA Free [NBP2-71940]

Western Blot: CLE7 homolog Antibody (OTI2A4)Azide and BSA Free [NBP2-71940]

Western Blot: CLE7 homolog Antibody (OTI2A4) - Azide and BSA Free [NBP2-71940] - Analysis of A549 cell lysate (35ug).

Applications for CLE7 homolog Antibody (OTI2A4) - Azide and BSA Free

Application
Recommended Usage

Western Blot

1:2000

Formulation, Preparation, and Storage

Purification

Immunogen affinity purified

Reconstitution

we recommend adding 100uL distilled water to a final antibody concentration of about 1 mg/mL. To use this carrier-free antibody for conjugation experiment, we strongly recommend performing another round of desalting process.

Formulation

Lyophilized from PBS (pH 7.3) with 8% Trehalose

Format

Azide and BSA Free

Preservative

No Preservative

Concentration

LYOPH mg/ml

Shipping

The product is shipped with polar packs. Upon receipt, store it immediately at the temperature recommended below.

Stability & Storage

Store at -20C. Avoid freeze-thaw cycles.

Background: CLE7 homolog

Alternate Names

CGI99, CGI-99, CLE, LCRP369, RLLM1

Gene Symbol

RTRAF

Additional CLE7 homolog Products

Product Documents for CLE7 homolog Antibody (OTI2A4) - Azide and BSA Free

Certificate of Analysis

To download a Certificate of Analysis, please enter a lot number in the search box below.

Product Specific Notices for CLE7 homolog Antibody (OTI2A4) - Azide and BSA Free

This product is for research use only and is not approved for use in humans or in clinical diagnosis. Primary Antibodies are guaranteed for 1 year from date of receipt.

Loading...
Loading...
Loading...
Loading...
Loading...