Skip to main content

CKII alpha prime polypeptide Antibody - BSA Free

Novus Biologicals, part of Bio-Techne | Catalog # NBP3-35347

Novus Biologicals, part of Bio-Techne
Catalog #
Availability
Size / Price
Qty
Loading...
NBP3-35347-100ul
NBP3-35347-20ul

Key Product Details

Species Reactivity

Human, Mouse, Rat

Applications

ELISA, Immunocytochemistry/ Immunofluorescence, Immunohistochemistry, Immunohistochemistry-Paraffin, Western Blot

Label

Unconjugated

Antibody Source

Polyclonal Rabbit IgG

Format

BSA Free

Concentration

Please see the vial label for concentration. If unlisted please contact technical services.

Product Specifications

Immunogen

Recombinant fusion protein containing a sequence corresponding to amino acids 1-350 of human CKII alpha prime polypeptide (NP_001887.1).

Sequence:
MPGPAAGSRARVYAEVNSLRSREYWDYEAHVPSWGNQDDYQLVRKLGRGKYSEVFEAINITNNERVVVKILKPVKKKKIKREVKILENLRGGTNIIKLIDTVKDPVSKTPALVFEYINNTDFKQLYQILTDFDIRFYMYELLKALDYCHSKGIMHRDVKPHNVMIDHQQKKLRLIDWGLAEFYHPAQEYNVRVASRYFKGPELLVDYQMYDYSLDMWSLGCMLASMIFRREPFFHGQDNYDQLVRIAKVLGTEELYGYLKKYHIDLDPHFNDILGQHSRKRWENFIHSENRHLVSPEALDLLDKLLRYDHQQRLTAKEAMEHPYFYPVVKEQSQPCADNAVLSSGLTAAR

Clonality

Polyclonal

Host

Rabbit

Isotype

IgG

Theoretical MW

41 kDa.
Disclaimer note: The observed molecular weight of the protein may vary from the listed predicted molecular weight due to post translational modifications, post translation cleavages, relative charges, and other experimental factors.

Description

Novus Biologicals Rabbit CKII alpha prime polypeptide Antibody - BSA Free (NBP3-35347) is a polyclonal antibody validated for use in IHC, WB, ELISA and ICC/IF. All Novus Biologicals antibodies are covered by our 100% guarantee.

Scientific Data Images for CKII alpha prime polypeptide Antibody - BSA Free

CKII alpha prime polypeptide Antibody

Western Blot: CKII alpha prime polypeptide Antibody [NBP3-35347] -

Western Blot: CKII alpha prime polypeptide Antibody [NBP3-35347] - Western blot analysis of various lysates using CKII alpha prime polypeptide Rabbit pAb at 1:1000 dilution.
Secondary antibody: HRP-conjugated Goat anti-Rabbit IgG (H+L) at 1:10000 dilution.
Lysates/proteins: 25ug per lane.
Blocking buffer: 3% nonfat dry milk in TBST.
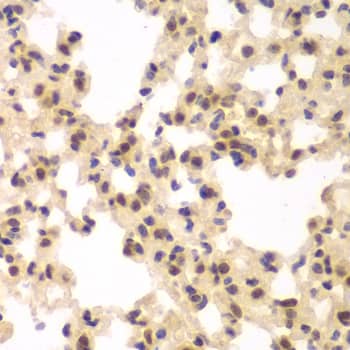
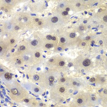
CKII alpha prime polypeptide Antibody

Immunohistochemistry: CKII alpha prime polypeptide Antibody [NBP3-35347] -

Immunohistochemistry: CKII alpha prime polypeptide Antibody [NBP3-35347] - Immunohistochemistry analysis of paraffin-embedded Human liver cancer using CKII alpha prime polypeptide Rabbit pAb at dilution of 1:100 (40x lens). Microwave antigen retrieval performed with 0.01M PBS Buffer (pH 7.2) prior to IHC staining.
CKII alpha prime polypeptide Antibody

Immunocytochemistry/ Immunofluorescence: CKII alpha prime polypeptide Antibody [NBP3-35347] -

Immunocytochemistry/ Immunofluorescence: CKII alpha prime polypeptide Antibody [NBP3-35347] - Immunofluorescence analysis of NIH-3T3 cells using CKII alpha prime polypeptide Rabbit pAb at dilution of 1:100 (40x lens). Secondary antibody: Cy3-conjugated Goat anti-Rabbit IgG (H+L) at 1:500 dilution. Blue: DAPI for nuclear staining.

Applications for CKII alpha prime polypeptide Antibody - BSA Free

Application
Recommended Usage

Immunocytochemistry/ Immunofluorescence

1:50 - 1:100

Immunohistochemistry-Paraffin

1:50 - 1:100

Western Blot

1:500 - 1:2000

Formulation, Preparation, and Storage

Purification

Affinity purified

Formulation

PBS (pH 7.3), 50% glycerol

Format

BSA Free

Preservative

0.02% Sodium Azide

Concentration

Please see the vial label for concentration. If unlisted please contact technical services.

Shipping

The product is shipped with polar packs. Upon receipt, store it immediately at the temperature recommended below.

Stability & Storage

Store at -20C. Avoid freeze-thaw cycles.

Background: CKII alpha prime polypeptide

CKII alpha is involved in leukemogensis and tumorigenesis. It is a catalytic, ubiquitous cellular kinase that can use ATP and GTP as phosphorylation donors. CKII alpha also plays a role in many proliferation-related processes in the cell.

Long Name

Casein kinase II subunit alpha'

Alternate Names

CK II alpha', CK2A2, CSNK2A2

Gene Symbol

CSNK2A2

Additional CKII alpha prime polypeptide Products

Product Documents for CKII alpha prime polypeptide Antibody - BSA Free

Certificate of Analysis

To download a Certificate of Analysis, please enter a lot number in the search box below.

Product Specific Notices for CKII alpha prime polypeptide Antibody - BSA Free

This product is for research use only and is not approved for use in humans or in clinical diagnosis. Primary Antibodies are guaranteed for 1 year from date of receipt.

Loading...
Loading...
Loading...
Loading...