Skip to main content

CISD1 Antibody (OTI4G3)

Novus Biologicals, part of Bio-Techne | Catalog # NBP2-02321

Novus Biologicals, part of Bio-Techne
Catalog #
Availability
Size / Price
Qty
Loading...
NBP2-02321

Key Product Details

Species Reactivity

Human, Mouse, Rat

Applications

Immunohistochemistry, Immunohistochemistry-Paraffin, Western Blot, Immunocytochemistry/ Immunofluorescence

Label

Unconjugated

Antibody Source

Monoclonal Mouse IgG1 Clone # OTI4G3

Concentration

0.68 mg/ml

Product Specifications

Immunogen

Full length human recombinant protein of human CISD1 (NP_060934) produced in HEK293T cell.

Reactivity Notes

Please note that this antibody is reactive to Mouse and derived from the same host, Mouse. Mouse-On-Mouse blocking reagent may be needed for IHC and ICC experiments to reduce high background signal. You can find these reagents under catalog numbers PK-2200-NB and MP-2400-NB. Please contact Technical Support if you have any questions.

Clonality

Monoclonal

Host

Mouse

Isotype

IgG1

Theoretical MW

12.2 kDa.
Disclaimer note: The observed molecular weight of the protein may vary from the listed predicted molecular weight due to post translational modifications, post translation cleavages, relative charges, and other experimental factors.

Description

Novus Biologicals Mouse CISD1 Antibody (OTI4G3) (NBP2-02321) is a monoclonal antibody validated for use in IHC, WB and ICC/IF. All Novus Biologicals antibodies are covered by our 100% guarantee.

Scientific Data Images for CISD1 Antibody (OTI4G3)

Western Blot: CISD1 Antibody (OTI4G3) [NBP2-02321]

Western Blot: CISD1 Antibody (OTI4G3) [NBP2-02321]

Western Blot: CISD1 Antibody (4G3) [NBP2-02321] - HEK293T cells were transfected with the pCMV6-ENTRY control (Left lane) or pCMV6-ENTRY CISD1 (Right lane) cDNA for 48 hrs and lysed. Equivalent amounts of cell lysates (5 ug per lane) were separated by SDS-PAGE and immunoblotted with anti-CISD1.
Immunocytochemistry/Immunofluorescence: CISD1 Antibody (4G3) [NBP2-02321] Staining of COS7 cells transiently transfected by pCMV6-ENTRY CISD1.
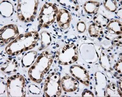
Immunohistochemistry-Paraffin: CISD1 Antibody (OTI4G3) [NBP2-02321]

Immunohistochemistry-Paraffin: CISD1 Antibody (OTI4G3) [NBP2-02321]

Immunohistochemistry-Paraffin: CISD1 Antibody (4G3) [NBP2-02321] - Staining of paraffin-embedded Kidney tissue using anti-CISD1mouse monoclonal antibody.

Applications for CISD1 Antibody (OTI4G3)

Application
Recommended Usage

Immunocytochemistry/ Immunofluorescence

1:100

Immunohistochemistry

1:50

Immunohistochemistry-Paraffin

1:50

Western Blot

1:2000

Formulation, Preparation, and Storage

Purification

Immunogen affinity purified

Formulation

PBS (pH 7.3), 1.0% BSA and 50% Glycerol

Preservative

0.02% Sodium Azide

Concentration

0.68 mg/ml

Shipping

The product is shipped with polar packs. Upon receipt, store it immediately at the temperature recommended below.

Stability & Storage

Store at -20C. Avoid freeze-thaw cycles.

Background: CISD1

CISD1 is a member of the CDGSH domain-containing family and may play a role in the regulation of mitochondrial oxidative capacity

Alternate Names

C10orf70, CDGSH iron sulfur domain 1, CDGSH iron sulfur domain-containing protein 1, CDGSH iron-sulfur domain-containing protein 1, chromosome 10 open reading frame 70, MDS029, MGC14684, MitoNEET, ZCD1, zinc finger CDGSH-type domain 1, zinc finger, CDGSH-type domain 1

Entrez Gene IDs

902 (Human)

Gene Symbol

CISD1

Additional CISD1 Products

Product Documents for CISD1 Antibody (OTI4G3)

Certificate of Analysis

To download a Certificate of Analysis, please enter a lot number in the search box below.

Product Specific Notices for CISD1 Antibody (OTI4G3)

This product is for research use only and is not approved for use in humans or in clinical diagnosis. Primary Antibodies are guaranteed for 1 year from date of receipt.

Loading...
Loading...
Loading...
Loading...