Skip to main content

CIRBP Antibody (6E12D5) - BSA Free

Novus Biologicals, part of Bio-Techne | Catalog # NBP2-61735

Novus Biologicals, part of Bio-Techne
Catalog #
Availability
Size / Price
Qty
Loading...
NBP2-61735
NBP2-61735-0.025ml

Key Product Details

Species Reactivity

Human

Applications

ELISA, Immunohistochemistry, Immunohistochemistry-Paraffin, Western Blot

Label

Unconjugated

Antibody Source

Monoclonal Mouse IgG1 Clone # 6E12D5

Format

BSA Free

Concentration

1 mg/ml

Product Specifications

Immunogen

Purified recombinant fragment of human CIRBP (AA: 1-90) expressed in E. Coli.

Clonality

Monoclonal

Host

Mouse

Isotype

IgG1

Theoretical MW

18.6 kDa.
Disclaimer note: The observed molecular weight of the protein may vary from the listed predicted molecular weight due to post translational modifications, post translation cleavages, relative charges, and other experimental factors.

Description

Novus Biologicals Mouse CIRBP Antibody (6E12D5) - BSA Free (NBP2-61735) is a monoclonal antibody validated for use in IHC, WB and ELISA. All Novus Biologicals antibodies are covered by our 100% guarantee.

Scientific Data Images for CIRBP Antibody (6E12D5) - BSA Free

Western Blot: CIRBP Antibody (6E12D5)BSA Free [NBP2-61735]

Western Blot: CIRBP Antibody (6E12D5)BSA Free [NBP2-61735]

Western Blot: CIRBP Antibody (6E12D5) [NBP2-61735] - Analysis using CIRBP mAb against human CIRBP (AA: 1-90) recombinant protein. (Expected MW is 35.9 kDa)
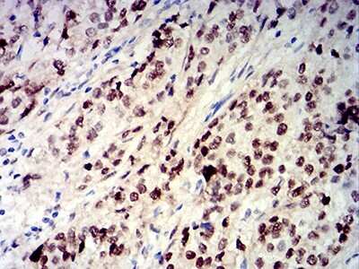
Immunohistochemistry: CIRBP Antibody (6E12D5) - BSA Free [NBP2-61735]

Immunohistochemistry: CIRBP Antibody (6E12D5) - BSA Free [NBP2-61735]

Immunohistochemistry: CIRBP Antibody (6E12D5) [NBP2-61735] - Analysis of paraffin-embedded bladder cancer tissues using CIRBP mouse mAb with DAB staining.
Western Blot: CIRBP Antibody (6E12D5)BSA Free [NBP2-61735]

Western Blot: CIRBP Antibody (6E12D5)BSA Free [NBP2-61735]

Western Blot: CIRBP Antibody (6E12D5) [NBP2-61735] - Analysis using CIRBP mAb against HEK293 (1) and CIRBP (AA: 1-90)-hIgGFc transfected HEK293 (2) cell lysate.

Applications for CIRBP Antibody (6E12D5) - BSA Free

Application
Recommended Usage

ELISA

1:100-1:2000

Immunohistochemistry

1:10-1:1000

Immunohistochemistry-Paraffin

1:200 - 1:1000

Western Blot

1:100-1:2000

Formulation, Preparation, and Storage

Purification

Protein G purified

Formulation

PBS

Format

BSA Free

Preservative

0.05% Sodium Azide

Concentration

1 mg/ml

Shipping

The product is shipped with polar packs. Upon receipt, store it immediately at the temperature recommended below.

Stability & Storage

Store at 4C short term. Aliquot and store at -20C long term. Avoid freeze-thaw cycles.

Background: CIRBP

CIRBP (Cold Inducible RNA Binding Protein) is a Protein Coding gene. Diseases associated with CIRBP include Cryptorchidism. Among its related pathways are Neuroscience and Translational Control. GO annotations related to this gene include nucleic acid binding and nucleotide binding. An important paralog of this gene is RBMX.

Alternate Names

A18 hnRNP, A18HNRNP, CIRPcold-inducible RNA-binding protein, cold inducible RNA binding protein, cold inducible RNA-binding protein, glycine-rich RNA binding protein, Glycine-rich RNA-binding protein CIRP

Gene Symbol

CIRBP

Additional CIRBP Products

Product Documents for CIRBP Antibody (6E12D5) - BSA Free

Certificate of Analysis

To download a Certificate of Analysis, please enter a lot number in the search box below.

Product Specific Notices for CIRBP Antibody (6E12D5) - BSA Free

This product is for research use only and is not approved for use in humans or in clinical diagnosis. Primary Antibodies are guaranteed for 1 year from date of receipt.

Loading...
Loading...
Loading...
Loading...