Skip to main content

CHRNB3 Antibody (3G6) - Azide and BSA Free

Novus Biologicals, part of Bio-Techne | Catalog # H00001142-M01

Novus Biologicals, part of Bio-Techne
Catalog #
Availability
Size / Price
Qty
Loading...
H00001142-M01

Key Product Details

Species Reactivity

Human

Applications

Western Blot, ELISA, Immunocytochemistry/ Immunofluorescence

Label

Unconjugated

Antibody Source

Monoclonal Mouse IgG2b Kappa Clone # 3G6

Format

Azide and BSA Free

Concentration

Concentrations vary lot to lot. See vial label for concentration. If unlisted please contact technical services.

Product Specifications

Immunogen

CHRNB3 (NP_000740, 128 a.a. ~ 223 a.a) partial recombinant protein with GST tag. MW of the GST tag alone is 26 KDa. SLMTKVIVKSNGTVVWTPPASYKSSCTMDVTFFPFDRQNCSMKFGSWTYDGTMVDLILINENVDRKDFFDNGEWEILNAKGMKGNRRDGVYSYPFI

Specificity

CHRNB3 - cholinergic receptor, nicotinic, beta 3 (3G6)

Clonality

Monoclonal

Host

Mouse

Isotype

IgG2b Kappa

Description

Quality control test: Antibody Reactive Against Recombinant Protein.

Scientific Data Images for CHRNB3 Antibody (3G6) - Azide and BSA Free

Western Blot: CHRNB3 Antibody (3G6) [H00001142-M01]

Western Blot: CHRNB3 Antibody (3G6) [H00001142-M01]

Western Blot: CHRNB3 Antibody (3G6) [H00001142-M01] - detection against Immunogen (36.67 KDa)
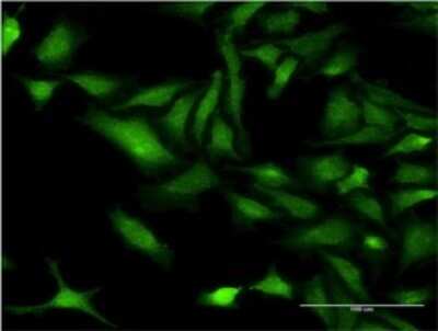
Immunocytochemistry/ Immunofluorescence: CHRNB3 Antibody (3G6) [H00001142-M01]

Immunocytochemistry/ Immunofluorescence: CHRNB3 Antibody (3G6) [H00001142-M01]

Immunocytochemistry/Immunofluorescence: CHRNB3 Antibody (3G6) [H00001142-M01] - Analysis of monoclonal antibody to CHRNB3 on HeLa cell . Antibody concentration 10 ug/ml.

Applications for CHRNB3 Antibody (3G6) - Azide and BSA Free

Application
Recommended Usage

Western Blot

1:500
Application Notes
Antibody reactivity against Recombinant Protein with GST tag on ELISA and WB. GST tag alone is used as a negative control.

Formulation, Preparation, and Storage

Purification

IgG purified

Formulation

In 1x PBS, pH 7.4

Format

Azide and BSA Free

Preservative

No Preservative

Concentration

Concentrations vary lot to lot. See vial label for concentration. If unlisted please contact technical services.

Shipping

The product is shipped with polar packs. Upon receipt, store it immediately at the temperature recommended below.

Stability & Storage

Aliquot and store at -20C or -80C. Avoid freeze-thaw cycles.

Background: Nicotinic Acetylcholine R beta 3/CHRNB3

CHRNB3 is associated with subjective responses to tobacco. Observational study of gene-disease association and gene-environment interaction. (HuGE Navigator). Observational study and genome-wide association study of gene-disease association. (HuGE Navigator). Observational study of gene-disease association. (HuGE Navigator). absence of differences in the pharmacological profile of nicotinic receptor alpha3beta4 argues against role for incorporated beta3 subunit in formation of agonist binding sites while changes in channel kinetics suggest important effect on receptor gating

Long Name

Nicotinic Acetylcholine Receptor beta 3

Alternate Names

CHRNB3, NAChRB3

Entrez Gene IDs

1142 (Human)

Gene Symbol

CHRNB3

UniProt

Additional Nicotinic Acetylcholine R beta 3/CHRNB3 Products

Product Documents for CHRNB3 Antibody (3G6) - Azide and BSA Free

Certificate of Analysis

To download a Certificate of Analysis, please enter a lot number in the search box below.

Product Specific Notices for CHRNB3 Antibody (3G6) - Azide and BSA Free

This product is produced by and distributed for Abnova, a company based in Taiwan.

This product is for research use only and is not approved for use in humans or in clinical diagnosis. Primary Antibodies are guaranteed for 1 year from date of receipt.

Loading...
Loading...
Loading...
Loading...