Skip to main content

CHORDC1 Antibody - BSA Free

Novus Biologicals, part of Bio-Techne | Catalog # NBP1-78304

Novus Biologicals, part of Bio-Techne

Key Product Details

Species Reactivity

Validated:

Human, Mouse

Cited:

Human

Applications

Validated:

Immunohistochemistry, Immunohistochemistry-Paraffin, Western Blot, Immunocytochemistry/ Immunofluorescence

Cited:

Western Blot

Label

Unconjugated

Antibody Source

Polyclonal Rabbit IgG

Format

BSA Free

Concentration

0.65 mg/ml

Product Specifications

Immunogen

A synthetic peptide made to an internal portion of the human CHORDC1 protein (between residues 100-250) [UniProt Q9UHD1]

Localization

Nucleus. Cytoplasm.

Clonality

Polyclonal

Host

Rabbit

Isotype

IgG

Description

Novus Biologicals Rabbit CHORDC1 Antibody - BSA Free (NBP1-78304) is a polyclonal antibody validated for use in IHC, WB and ICC/IF. Anti-CHORDC1 Antibody: Cited in 3 publications. All Novus Biologicals antibodies are covered by our 100% guarantee.

Scientific Data Images for CHORDC1 Antibody - BSA Free

Western Blot: CHORDC1 AntibodyBSA Free [NBP1-78304]

Western Blot: CHORDC1 AntibodyBSA Free [NBP1-78304]

Western Blot: CHORDC1 Antibody [NBP1-78304] - Analysis of CHORDC1 in 1. human brain, 2. human heart and 3. mouse liver.
Immunocytochemistry/ Immunofluorescence: CHORDC1 Antibody - BSA Free [NBP1-78304]

Immunocytochemistry/ Immunofluorescence: CHORDC1 Antibody - BSA Free [NBP1-78304]

Immunocytochemistry/Immunofluorescence: CHORDC1 Antibody [NBP1-78304] - Antibody was tested in HeLa cells with FITC (green). Nuclei were counterstained with DAPI (blue).
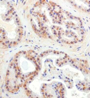
Immunohistochemistry: CHORDC1 Antibody - BSA Free [NBP1-78304]

Immunohistochemistry: CHORDC1 Antibody - BSA Free [NBP1-78304]

Immunohistochemistry: CHORDC1 Antibody [NBP1-78304] - Analysis of CHORDC1 in mouse prostate using DAB with hematoxylin counterstain.

Applications for CHORDC1 Antibody - BSA Free

Application
Recommended Usage

Immunocytochemistry/ Immunofluorescence

1:100-1:400

Immunohistochemistry

1:150

Immunohistochemistry-Paraffin

1:150

Western Blot

1:2500
Application Notes
This CHORDC1 antibody is useful for Western Blot where a band is observed ~37kDa, Immunocytochemistry/Immunofluorescence, and IHC-paraffin embedded sections. Prior to immunostaining paraffin tissues, antigen retrieval with sodium citrate buffer (pH 6.0) is recommended.

Formulation, Preparation, and Storage

Purification

Immunogen affinity purified

Formulation

PBS and 30% Glycerol

Format

BSA Free

Preservative

0.05% Sodium Azide

Concentration

0.65 mg/ml

Shipping

The product is shipped with polar packs. Upon receipt, store it immediately at the temperature recommended below.

Stability & Storage

Store at 4C short term. Aliquot and store at -20C long term. Avoid freeze-thaw cycles.

Background: CHORDC1

Cysteine and histidine-rich domain containing 1 (CHORDC1; CHP1) is a member of a novel family of highly conserved proteins. These proteins are factors in plant disease resistance, as well as animal development. Mammalian Chp-1 is a novel Hsp90-interacting protein that contains two CHORD domains and one CS domain. CHP-1 binds to the ATPase domain of Hsp90, but this interaction does not utilize ATP and ATPase- coupled conformational change of Hsp90 (PMID: 15642353). High ADP:ATP ratios in cell lysates appears to promote the interaction between CHP1 and Hsp90 (PMID: 19875381). Additionally, CHP-1 has been shown to be 63% homologous to Melusin; a muscle specific protein necessary for heart hypertrophy caused by mechanical burden (PMID12965203).

Alternate Names

CHORD domain-containing protein 1, CHORD-containing protein 1, CHP1CHP-1, cysteine and histidine-rich domain (CHORD) containing 1, cysteine and histidine-rich domain (CHORD)-containing 1, cysteine and histidine-rich domain (CHORD)-containing, zinc-binding protein 1, cysteine and histidine-rich domain-containing protein 1, FLJ37289, Protein morgana

Entrez Gene IDs

26973 (Human)

Gene Symbol

CHORDC1

UniProt

Additional CHORDC1 Products

Product Documents for CHORDC1 Antibody - BSA Free

Certificate of Analysis

To download a Certificate of Analysis, please enter a lot number in the search box below.

Product Specific Notices for CHORDC1 Antibody - BSA Free

This product is for research use only and is not approved for use in humans or in clinical diagnosis. Primary Antibodies are guaranteed for 1 year from date of receipt.

Loading...
Loading...
Loading...
Loading...