Skip to main content

Chk1 Antibody - BSA Free

Novus Biologicals, part of Bio-Techne | Catalog # NB100-464

Novus Biologicals, part of Bio-Techne

Key Product Details

Validated by

Biological Validation

Species Reactivity

Validated:

Human, Mouse

Cited:

Human, Mouse

Applications

Validated:

Immunohistochemistry, Immunohistochemistry-Paraffin, Western Blot, Immunoprecipitation

Cited:

Western Blot, Immunoprecipitation, IF/IHC

Label

Unconjugated

Antibody Source

Polyclonal Rabbit IgG

Format

BSA Free

Concentration

1.0 mg/ml

Product Specifications

Immunogen

The immunogen recognized by this antibody maps to a region between residues 250 and 300 of human Checkpoint Kinase 1 using the numbering given in SwissProt entry O14757 (GeneID 1111).

Reactivity Notes

Mouse reactivity reported in scientific literature (PMID: 29287241).

Clonality

Polyclonal

Host

Rabbit

Isotype

IgG

Theoretical MW

54 kDa.
Disclaimer note: The observed molecular weight of the protein may vary from the listed predicted molecular weight due to post translational modifications, post translation cleavages, relative charges, and other experimental factors.

Description

This antibody can be used as the primary antibody in a PLA assay with the following as complementing antibodies: NB100-305, NB100-322, NB100-97831

Scientific Data Images for Chk1 Antibody - BSA Free

Western Blot: Chk1 Antibody [NB100-464]

Western Blot: Chk1 Antibody [NB100-464]

Chk1-Antibody-Western-Blot-NB100-464-img0034.jpg
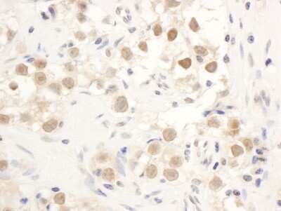
Immunohistochemistry-Paraffin: Chk1 Antibody [NB100-464]

Immunohistochemistry-Paraffin: Chk1 Antibody [NB100-464]

Immunohistochemistry-Paraffin: Chk1 Antibody [NB100-464] - Section of human breast carcinoma. Antibody: Affinity purified rabbit anti-CHK1 used at a dilution of 1:1,000 (1ug/ml). Detection: DAB
Western Blot: Chk1 Antibody [NB100-464]

Western Blot: Chk1 Antibody [NB100-464]

Western Blot: Chk1 Antibody [NB100-464] - Detection of Human Chk1 by Western Blot. Samples: Whole cell lysate (50 ug) from HeLa, 293T, Jurkat, and mouse TMCK cells. Antibodies: Affinity purified rabbit anti-Chk1 antibody NB100-464 used for WB at 0.4 ug/ml. Detection: Chemiluminescence with an exposure time of 30 seconds.

Applications for Chk1 Antibody - BSA Free

Application
Recommended Usage

Immunohistochemistry

1:1000-1:5000

Immunohistochemistry-Paraffin

1:1000-1:5000

Immunoprecipitation

2-10 ug/mg lysate

Western Blot

1:10000-1:25000
Application Notes
Epitope retrieval with Tris-EDTA pH 9.0 is recommended for FFPE tissue sections.

Formulation, Preparation, and Storage

Purification

Immunogen affinity purified

Formulation

Tris-Citrate/Phosphate (pH 7.0 - 8.0)

Format

BSA Free

Preservative

0.09% Sodium Azide

Concentration

1.0 mg/ml

Shipping

The product is shipped with polar packs. Upon receipt, store it immediately at the temperature recommended below.

Stability & Storage

Store at 4C. Do not freeze.

Background: Chk1

Cell cycle events are regulated by the sequential activation and deactivation of cyclin dependent kinases (Cdks) and by proteolysis of cyclins. Chk1 and Chk2 are involved in these processes as regulators of Cdks. Chk1 and Chk2 both function as essential components in the G2 DNA damage checkpoint by phosphorylating Cdc25C in response to DNA damage. Phosphorylation inhibits Cdc25C activity, thereby blocking mitosis. Cdc25A, Cdc25B and Cdc25C protein tyrosine phosphatases function as mitotic activators by dephosphorylating Cdc2 p34 on regulatory tyrosine residues. It has also been shown that Chk1 can phosphorylate Wee 1 in vitro, providing evidence that the hyperphosphorylated form of Wee 1, seen in cells delayed by Chk1 overexpression, is due to phosphorylation by Chk1. Chk1 is phosphorylated on Serine 345 (S345) in response to UV, IR and hydroxyurea (HU). Chk1 plays an essential role in the mammalian DNA damage checkpoint, embryonic development and tumor suppression.

Long Name

Checkpoint Kinase 1

Alternate Names

CHEK1

Entrez Gene IDs

1111 (Human)

Gene Symbol

CHEK1

UniProt

Additional Chk1 Products

Product Documents for Chk1 Antibody - BSA Free

Certificate of Analysis

To download a Certificate of Analysis, please enter a lot number in the search box below.

Product Specific Notices for Chk1 Antibody - BSA Free

This antibody can be used as the primary antibody in a PLA assay with the following as complementing antibodies: NB100-305, NB100-322, NB100-97831

This product is for research use only and is not approved for use in humans or in clinical diagnosis. Primary Antibodies are guaranteed for 1 year from date of receipt.

Loading...
Loading...
Loading...
Loading...