Skip to main content

Chitotriosidase/CHIT1 Antibody - BSA Free

Novus Biologicals, part of Bio-Techne | Catalog # NBP1-84490

Novus Biologicals, part of Bio-Techne
Catalog #
Availability
Size / Price
Qty
Loading...
NBP1-84490
NBP1-84490-25ul

Key Product Details

Validated by

Orthogonal Validation

Species Reactivity

Validated:

Human

Cited:

Human

Applications

Validated:

Immunohistochemistry, Immunohistochemistry-Paraffin, Western Blot

Cited:

Immunohistochemistry-Paraffin

Label

Unconjugated

Antibody Source

Polyclonal Rabbit IgG

Format

BSA Free

Concentration

Concentrations vary lot to lot. See vial label for concentration. If unlisted please contact technical services.

Product Specifications

Immunogen

This antibody was developed against Recombinant Protein corresponding to amino acids: FDDVESFKTKVSYLKQKGLGGAMVWALDLDDFAGFSCNQGRYPLIQTLRQELSLPYLPSGTPELEVPKPGQPSEPEHGPSPGQDTFCQGKADGLYPNPRERSSFYSCAAGRLFQQSCPTGLVFSNSCKCCTWN

Clonality

Polyclonal

Host

Rabbit

Isotype

IgG

Description

Novus Biologicals Rabbit Chitotriosidase/CHIT1 Antibody - BSA Free (NBP1-84490) is a polyclonal antibody validated for use in IHC and WB. Anti-Chitotriosidase/CHIT1 Antibody: Cited in 1 publication. All Novus Biologicals antibodies are covered by our 100% guarantee.

Scientific Data Images for Chitotriosidase/CHIT1 Antibody - BSA Free

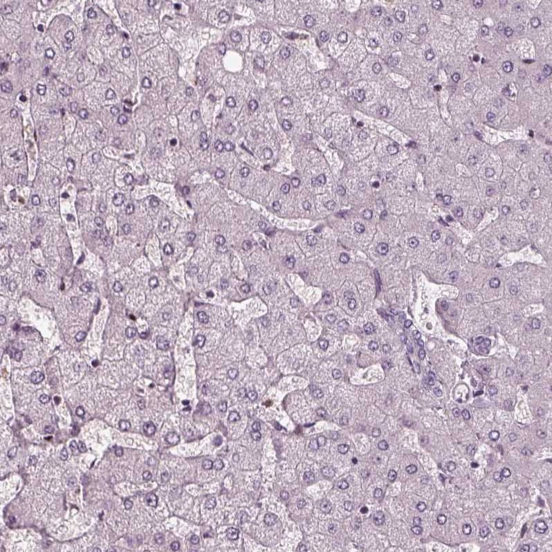
Immunohistochemistry-Paraffin: Chitotriosidase/CHIT1 Antibody [NBP1-84490]

Immunohistochemistry-Paraffin: Chitotriosidase/CHIT1 Antibody [NBP1-84490]

Chitotriosidase-CHIT1-Antibody-Immunohistochemistry-Paraffin-NBP1-84490-img0010.jpg
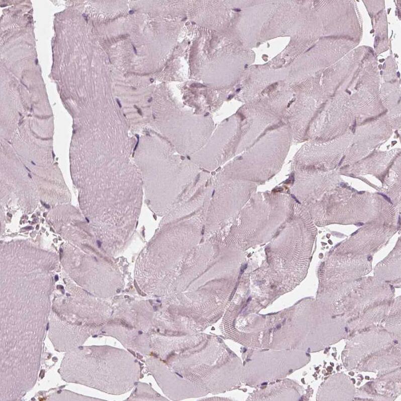
Chitotriosidase/CHIT1 Antibody - BSA Free Immunohistochemistry-Paraffin: Chitotriosidase/CHIT1 Antibody - BSA Free [NBP1-84490]

Immunohistochemistry-Paraffin: Chitotriosidase/CHIT1 Antibody - BSA Free [NBP1-84490]

Staining of human skeletal muscle shows no positivity in myocytes as expected.
Chitotriosidase/CHIT1 Antibody - BSA Free Immunohistochemistry-Paraffin: Chitotriosidase/CHIT1 Antibody - BSA Free [NBP1-84490]

Immunohistochemistry-Paraffin: Chitotriosidase/CHIT1 Antibody - BSA Free [NBP1-84490]

Staining of human bone marrow shows moderate cytoplasmic positivity in hematopoietic cells.

Applications for Chitotriosidase/CHIT1 Antibody - BSA Free

Application
Recommended Usage

Immunohistochemistry

1:200 - 1:500

Immunohistochemistry-Paraffin

1:200 - 1:500

Western Blot

0.04-0.4 ug/ml
Application Notes
For IHC-Paraffin, HIER pH 6 retrieval is recommended.

Formulation, Preparation, and Storage

Purification

Affinity purified

Formulation

PBS (pH 7.2) and 40% Glycerol

Format

BSA Free

Preservative

0.02% Sodium Azide

Concentration

Concentrations vary lot to lot. See vial label for concentration. If unlisted please contact technical services.

Shipping

The product is shipped with polar packs. Upon receipt, store it immediately at the temperature recommended below.

Stability & Storage

Store at 4C short term. Aliquot and store at -20C long term. Avoid freeze-thaw cycles.

Background: Chitotriosidase/CHIT1

Chitotriosidase is secreted by activated human macrophages and is markedly elevated in plasma of Gaucher disease patients. The expression of chitotriosidase occurs only at a late stage of differentiation of monocytes to activated macrophages in culture. Human macrophages can synthesize a functional chitotriosidase, a highly conserved enzyme with a strongly regulated expression. This enzyme may play a role in the degradation of chitin-containing pathogens. [provided by RefSeq]

Alternate Names

CHI3, CHIT1

Gene Symbol

CHIT1

Additional Chitotriosidase/CHIT1 Products

Product Documents for Chitotriosidase/CHIT1 Antibody - BSA Free

Certificate of Analysis

To download a Certificate of Analysis, please enter a lot number in the search box below.

Product Specific Notices for Chitotriosidase/CHIT1 Antibody - BSA Free

This product is for research use only and is not approved for use in humans or in clinical diagnosis. Primary Antibodies are guaranteed for 1 year from date of receipt.

Loading...
Loading...
Loading...
Loading...