Skip to main content

Chitinase 3-like 1/YKL-40 Antibody (CL12314) - Azide and BSA Free

Novus Biologicals, part of Bio-Techne | Catalog # NBP3-44361

Novus Biologicals, part of Bio-Techne
Catalog #
Availability
Size / Price
Qty
Loading...
NBP3-44361

Key Product Details

Species Reactivity

Human

Applications

Immunohistochemistry-Paraffin, Western Blot

Label

Unconjugated

Antibody Source

Monoclonal Mouse IgG2B Clone # CL12314

Format

Azide and BSA Free

Concentration

LYOPH mg/ml

Product Specifications

Immunogen

This antibody was generated using a synthetic peptide of P36222, with the exact immunogen sequence remaining proprietary.

Clonality

Monoclonal

Host

Mouse

Isotype

IgG2B

Description

Novus Biologicals Mouse Chitinase 3-like 1/YKL-40 Antibody (CL12314) - Azide and BSA Free (NBP3-15132) is a monoclonal antibody validated for use in IHC and WB. All Novus Biologicals antibodies are covered by our 100% guarantee.

Scientific Data Images for Chitinase 3-like 1/YKL-40 Antibody (CL12314) - Azide and BSA Free

Chitinase 3-like 1/YKL-40 Antibody (CL12314) - Azide and BSA Free Immunohistochemistry-Paraffin: Chitinase 3-like 1/YKL-40 Antibody [NBP3-44361]

Immunohistochemistry-Paraffin: Chitinase 3-like 1/YKL-40 Antibody [NBP3-44361]

Staining of human astrocytoma shows strong cytoplasmic positivity in tumor cells.
Chitinase 3-like 1/YKL-40 Antibody (CL12314) - Azide and BSA Free Immunohistochemistry-Paraffin: Chitinase 3-like 1/YKL-40 Antibody [NBP3-44361]

Immunohistochemistry-Paraffin: Chitinase 3-like 1/YKL-40 Antibody [NBP3-44361]

Staining of human cerebral cortex shows moderate to strong cytoplasmic positivity in glial cells.
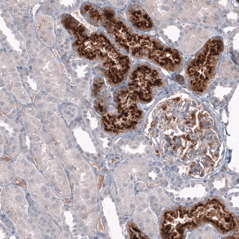
Chitinase 3-like 1/YKL-40 Antibody (CL12314) - Azide and BSA Free Immunohistochemistry-Paraffin: Chitinase 3-like 1/YKL-40 Antibody [NBP3-44361]

Immunohistochemistry-Paraffin: Chitinase 3-like 1/YKL-40 Antibody [NBP3-44361]

Staining of human kidney shows strong granular cytoplasmic positivity in cells in tubules.

Applications for Chitinase 3-like 1/YKL-40 Antibody (CL12314) - Azide and BSA Free

Application
Recommended Usage

Immunohistochemistry-Paraffin

1:1000 - 1:2500

Western Blot

1 ug/ml
Application Notes
For IHC-Paraffin, HIER pH 6 retrieval is recommended.

Formulation, Preparation, and Storage

Purification

Protein A purified

Reconstitution

Centrifuge the vial of lyophilized antibody at 12,000 x g for 20 seconds. Reconstitute by adding sterile, distilled water to achieve a final antibody concentration of 1mg/ml.

Formulation

Lyophilized from a 0.2 um filtered solution in PBS with Trehalose

Format

Azide and BSA Free

Preservative

No Preservative

Concentration

LYOPH mg/ml

Shipping

The product is shipped at ambient temperature. Upon receipt, store it immediately at the temperature recommended below.

Stability & Storage

Store at 4C short term. Aliquot and store at -20C long term. Avoid freeze-thaw cycles.

Background: Chitinase 3-like 1/YKL-40

Chitinase 3-like 1/YKL-40 (CHI3L1), also called BRP39 in mouse, is a 39 kDa glycoprotein member of the glycosyl hydrolase 18 family although it does not show chitotriosidase activity. CHI3L1 is expressed by articular chondrocytes, synovial cells, activated monocyte-derived macrophages, neutrophils, endothelial cells, vascular smooth muscle cells, and some cancer cells. CHI3L1 binds to chitin and heparins, and it enhances cell adhesion, proliferation and tumor angiogenesis. Circulating CHI3L1 is elevated during inflammation and connective tissue remodeling such as arthritis, chronic obstructive pulmonary disease, diabetes, cardiovascular disease, inflammatory bowel disease, and liver cirrhosis. It is frequently upregulated in glioblastoma, myxoid chondrosarcoma, melanoma and carcinomas of the breast, thyroid, colon, lung, kidney, and ovary.

Alternate Names

CHI3L1, Chitinase 3 like 1, HCgp39, YKL-40

Gene Symbol

CHI3L1

Additional Chitinase 3-like 1/YKL-40 Products

Product Documents for Chitinase 3-like 1/YKL-40 Antibody (CL12314) - Azide and BSA Free

Certificate of Analysis

To download a Certificate of Analysis, please enter a lot number in the search box below.

Product Specific Notices for Chitinase 3-like 1/YKL-40 Antibody (CL12314) - Azide and BSA Free

This product is for research use only and is not approved for use in humans or in clinical diagnosis. Primary Antibodies are guaranteed for 1 year from date of receipt.

Loading...
Loading...
Loading...
Loading...
Loading...