Skip to main content

CHD1 Antibody - BSA Free

Novus Biologicals, part of Bio-Techne | Catalog # NBP2-14478

Novus Biologicals, part of Bio-Techne
Catalog #
Availability
Size / Price
Qty
Loading...
NBP2-14478-25ul
NBP2-14478

Key Product Details

Validated by

Orthogonal Validation

Species Reactivity

Validated:

Human

Predicted:

Mouse (90%). Backed by our 100% Guarantee.

Applications

Immunohistochemistry, Immunohistochemistry-Paraffin, Immunocytochemistry/ Immunofluorescence, Chromatin Immunoprecipitation-exo-Seq

Label

Unconjugated

Antibody Source

Polyclonal Rabbit IgG

Format

BSA Free

Concentration

Concentrations vary lot to lot. See vial label for concentration. If unlisted please contact technical services.

Product Specifications

Immunogen

This antibody was developed against a recombinant protein corresponding to the amino acids: QESQQNSDQNSNLNPHVIRNPDVERLKENTNHDDSSRDSYSSDRHLTQYHDHHKDRHQGDSYKKSDSRKRPYSSFSNGKDHRDWDHYKQDSRYYSDREKHRKLDDHRSRDHRSNLEGSL

Reactivity Notes

Rat (88%).

Clonality

Polyclonal

Host

Rabbit

Isotype

IgG

Scientific Data Images for CHD1 Antibody - BSA Free

Immunocytochemistry/ Immunofluorescence: CHD1 Antibody [NBP2-14478]

Immunocytochemistry/ Immunofluorescence: CHD1 Antibody [NBP2-14478]

Immunocytochemistry/Immunofluorescence: CHD1 Antibody [NBP2-14478] - Staining of human cell line RH-30 shows localization to nucleus & nucleoli fibrillar center. Antibody staining is shown in green.
Immunohistochemistry-Paraffin: CHD1 Antibody [NBP2-14478]

Immunohistochemistry-Paraffin: CHD1 Antibody [NBP2-14478]

Immunohistochemistry-Paraffin: CHD1 Antibody [NBP2-14478] - Staining in human testis and skeletal muscle tissues.. Corresponding CHD1 RNA-seq data are presented for the same tissues.
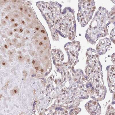
Immunohistochemistry-Paraffin: CHD1 Antibody [NBP2-14478]

Immunohistochemistry-Paraffin: CHD1 Antibody [NBP2-14478]

Immunohistochemistry-Paraffin: CHD1 Antibody [NBP2-14478] - Staining of human placenta shows moderate to strong nuclear positivity.

Applications for CHD1 Antibody - BSA Free

Application
Recommended Usage

Chromatin Immunoprecipitation-exo-Seq

1-10ug per reaction

Immunocytochemistry/ Immunofluorescence

0.25-2 ug/ml

Immunohistochemistry

1:50 - 1:200

Immunohistochemistry-Paraffin

1:50 - 1:200
Application Notes
For IHC-Paraffin, HIER pH 6 retrieval is recommended. ICC/IF Fixation Permeabilization: Use PFA/Triton X-100.

Formulation, Preparation, and Storage

Purification

Affinity purified

Formulation

PBS (pH 7.2) and 40% Glycerol

Format

BSA Free

Preservative

0.02% Sodium Azide

Concentration

Concentrations vary lot to lot. See vial label for concentration. If unlisted please contact technical services.

Shipping

The product is shipped with polar packs. Upon receipt, store it immediately at the temperature recommended below.

Stability & Storage

Store at 4C short term. Aliquot and store at -20C long term. Avoid freeze-thaw cycles.

Background: CHD1

The CHD family of proteins is characterized by the presence of chromo (chromatin organization modifier) domains and SNF2-related helicase/ATPase domains. CHD genes alter gene expression possibly by modification of chromatin structure thus altering access of the transcriptional apparatus to its chromosomal DNA template.

Long Name

Chromodomain Helicase DNA Binding Protein 1

Alternate Names

ATP-dependent helicase CHD1, CHD-1, chromodomain helicase DNA binding protein 1, chromodomain-helicase-DNA-binding protein 1, DKFZp686E2337, EC 3.6.1, EC 3.6.4.12

Gene Symbol

CHD1

Additional CHD1 Products

Product Documents for CHD1 Antibody - BSA Free

Certificate of Analysis

To download a Certificate of Analysis, please enter a lot number in the search box below.

Product Specific Notices for CHD1 Antibody - BSA Free

This product is for research use only and is not approved for use in humans or in clinical diagnosis. Primary Antibodies are guaranteed for 1 year from date of receipt.

Loading...
Loading...
Loading...
Loading...