Skip to main content

CGGBP1 Antibody - BSA Free

Novus Biologicals, part of Bio-Techne | Catalog # NBP2-15869

Novus Biologicals, part of Bio-Techne
Catalog #
Availability
Size / Price
Qty
Loading...
NBP2-15869

Key Product Details

Species Reactivity

Validated:

Human

Predicted:

Bovine (100%), Mouse (98%), Rat (100%). Backed by our 100% Guarantee.

Applications

Immunohistochemistry, Immunohistochemistry-Paraffin, Western Blot

Label

Unconjugated

Antibody Source

Polyclonal Rabbit IgG

Format

BSA Free

Concentration

Concentrations vary lot to lot. See vial label for concentration. If unlisted please contact technical services.

Product Specifications

Immunogen

Recombinant protein encompassing a sequence within the center region of human CGGBP1. The exact sequence is proprietary.

Localization

Nucleus

Clonality

Polyclonal

Host

Rabbit

Isotype

IgG

Theoretical MW

19 kDa.
Disclaimer note: The observed molecular weight of the protein may vary from the listed predicted molecular weight due to post translational modifications, post translation cleavages, relative charges, and other experimental factors.

Description

Novus Biologicals Rabbit CGGBP1 Antibody - BSA Free (NBP2-15869) is a polyclonal antibody validated for use in IHC and WB. All Novus Biologicals antibodies are covered by our 100% guarantee.

Scientific Data Images for CGGBP1 Antibody - BSA Free

Western Blot: CGGBP1 Antibody [NBP2-15869]

Western Blot: CGGBP1 Antibody [NBP2-15869]

Western Blot: CGGBP1 Antibody [NBP2-15869] - Sample (30 ug of whole cell lysate) A: Jurkat 12% SDS PAGE gel, diluted at 1:1000.
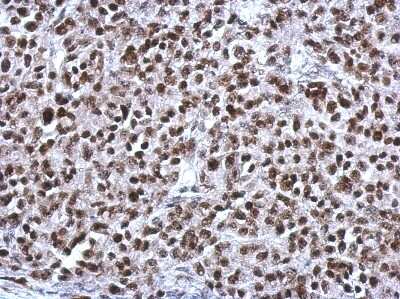
Immunohistochemistry-Paraffin: CGGBP1 Antibody [NBP2-15869]

Immunohistochemistry-Paraffin: CGGBP1 Antibody [NBP2-15869]

Immunohistochemistry-Paraffin: CGGBP1 Antibody [NBP2-15869] - Immunohistochemical analysis of paraffin-embedded HBL435 xenograft, using antibody at 1:500 dilution.

Applications for CGGBP1 Antibody - BSA Free

Application
Recommended Usage

Immunohistochemistry

10 - 1:500

Immunohistochemistry-Paraffin

1:100-1:1000

Western Blot

1:500-1:3000

Formulation, Preparation, and Storage

Purification

Antigen Affinity-purified

Formulation

0.1M Tris, 0.1M Glycine, 20% Glycerol

Format

BSA Free

Preservative

0.01% Thimerosal

Concentration

Concentrations vary lot to lot. See vial label for concentration. If unlisted please contact technical services.

Shipping

The product is shipped with polar packs. Upon receipt, store it immediately at the temperature recommended below.

Stability & Storage

Aliquot and store at -20C or -80C. Avoid freeze-thaw cycles.

Background: CGGBP1

CGGBP1 influences expression of the FMR1 gene (MIM 309550), which is associated with the fragile X mental retardation syndrome (MIM 300624), by specifically interacting with the 5-prime (CGG)n-3-prime repeat in its 5-prime UTR.[supplied by OMIM]

Alternate Names

20 kDa CGG-binding protein, CGG triplet repeat binding protein 1, CGG triplet repeat-binding protein 1, CGG-binding protein 1, CGGBPp20-CGGBP, p20-CGG binding protein, p20-CGGBP DNA-binding protein

Gene Symbol

CGGBP1

UniProt

Additional CGGBP1 Products

Product Documents for CGGBP1 Antibody - BSA Free

Certificate of Analysis

To download a Certificate of Analysis, please enter a lot number in the search box below.

Product Specific Notices for CGGBP1 Antibody - BSA Free

This product is for research use only and is not approved for use in humans or in clinical diagnosis. Primary Antibodies are guaranteed for 1 year from date of receipt.

Loading...
Loading...
Loading...
Loading...

⚠ WARNING: This product can expose you to chemicals including mercury, which is known to the State of California to cause reproductive toxicity with developmental effects.  For more information go to www.P65Warnings.ca.gov.