Skip to main content

CGGBP1 Antibody - BSA Free

Novus Biologicals, part of Bio-Techne | Catalog # NBP1-84528

Novus Biologicals, part of Bio-Techne
Catalog #
Availability
Size / Price
Qty
Loading...
NBP1-84528-25ul
NBP1-84528

Key Product Details

Validated by

Independent Antibodies

Species Reactivity

Human, Mouse, Rat

Applications

Immunohistochemistry, Immunohistochemistry-Paraffin, Western Blot, Immunocytochemistry/ Immunofluorescence

Label

Unconjugated

Antibody Source

Polyclonal Rabbit IgG

Format

BSA Free

Concentration

Concentrations vary lot to lot. See vial label for concentration. If unlisted please contact technical services.

Product Specifications

Immunogen

This antibody was developed against Recombinant Protein corresponding to amino acids: MERFVVTAPPARNRSKTALYVTPLDRVTEFGGELHEDGGKLFCTSCNVVLNHVRKSAISDHLKSKTHTKRKAEFEEQNVRK

Reactivity Notes

Reactivity reported in scientific literature (PMID: 23435261)

Clonality

Polyclonal

Host

Rabbit

Isotype

IgG

Description

Novus Biologicals Rabbit CGGBP1 Antibody - BSA Free (NBP1-84528) is a polyclonal antibody validated for use in IHC, WB and ICC/IF. Anti-CGGBP1 Antibody: Cited in 1 publication. All Novus Biologicals antibodies are covered by our 100% guarantee.

Scientific Data Images for CGGBP1 Antibody - BSA Free

Western Blot: CGGBP1 Antibody [NBP1-84528]

Western Blot: CGGBP1 Antibody [NBP1-84528]

Western Blot: CGGBP1 Antibody [NBP1-84528] - Analysis using Anti-CGGBP1 antibody NBP1-84528 (A) shows similar pattern to independent antibody NBP2-32680 (B).
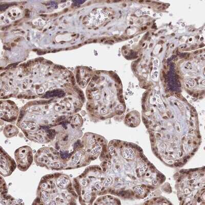
Immunohistochemistry-Paraffin: CGGBP1 Antibody [NBP1-84528]

Immunohistochemistry-Paraffin: CGGBP1 Antibody [NBP1-84528]

Immunohistochemistry-Paraffin: CGGBP1 Antibody [NBP1-84528] - Staining of human placenta shows moderate nuclear positivity in trophoblastic cells.
CGGBP1 Antibody - BSA Free Immunocytochemistry/ Immunofluorescence: CGGBP1 Antibody - BSA Free [NBP1-84528]

Immunocytochemistry/ Immunofluorescence: CGGBP1 Antibody - BSA Free [NBP1-84528]

Staining of human cell line U-2 OS shows localization to nucleoplasm.

Applications for CGGBP1 Antibody - BSA Free

Application
Recommended Usage

Immunocytochemistry/ Immunofluorescence

0.25-2 ug/ml

Immunohistochemistry

1:200 - 1:500

Immunohistochemistry-Paraffin

1:200-1:500

Western Blot

0.04-0.4 ug/ml
Application Notes
For IHC-Paraffin, HIER pH 6 retrieval is recommended. Immunocytochemistry/Immunofluorescence Fixation Permeabilization: Use PFA/Triton X-100.

Formulation, Preparation, and Storage

Purification

Affinity purified

Formulation

PBS (pH 7.2) and 40% Glycerol

Format

BSA Free

Preservative

0.02% Sodium Azide

Concentration

Concentrations vary lot to lot. See vial label for concentration. If unlisted please contact technical services.

Shipping

The product is shipped with polar packs. Upon receipt, store it immediately at the temperature recommended below.

Stability & Storage

Store at 4C short term. Aliquot and store at -20C long term. Avoid freeze-thaw cycles.

Background: CGGBP1

CGGBP1 influences expression of the FMR1 gene (MIM 309550), which is associated with the fragile X mental retardation syndrome (MIM 300624), by specifically interacting with the 5-prime (CGG)n-3-prime repeat in its 5-prime UTR.[supplied by OMIM]

Alternate Names

20 kDa CGG-binding protein, CGG triplet repeat binding protein 1, CGG triplet repeat-binding protein 1, CGG-binding protein 1, CGGBPp20-CGGBP, p20-CGG binding protein, p20-CGGBP DNA-binding protein

Gene Symbol

CGGBP1

Additional CGGBP1 Products

Product Documents for CGGBP1 Antibody - BSA Free

Certificate of Analysis

To download a Certificate of Analysis, please enter a lot number in the search box below.

Product Specific Notices for CGGBP1 Antibody - BSA Free

This product is for research use only and is not approved for use in humans or in clinical diagnosis. Primary Antibodies are guaranteed for 1 year from date of receipt.

Loading...
Loading...
Loading...
Loading...