Skip to main content

CFAP69 Antibody - BSA Free

Novus Biologicals, part of Bio-Techne | Catalog # NBP2-32373

Novus Biologicals, part of Bio-Techne
Catalog #
Availability
Size / Price
Qty
Loading...
NBP2-32373
NBP2-32373-25ul

Key Product Details

Species Reactivity

Human

Applications

Immunohistochemistry, Immunohistochemistry-Paraffin

Label

Unconjugated

Antibody Source

Polyclonal Rabbit IgG

Format

BSA Free

Concentration

Concentrations vary lot to lot. See vial label for concentration. If unlisted please contact technical services.

Product Specifications

Immunogen

This antibody was developed against a recombinant protein corresponding to amino acids: MDVSENIRAKIYAILGKLDFENLPGLSAEDFVTLCIIHRYLDFKIGEIWNEIYEEIKLEKLRPVTTDKKALEAITTASENIGKMVASLQSDIIESQA

Reactivity Notes

Immunogen displays the following percentage of sequence identity for non-tested species: Mouse (82%), Rat (81%)

Clonality

Polyclonal

Host

Rabbit

Isotype

IgG

Description

Novus Biologicals Rabbit CFAP69 Antibody - BSA Free (NBP2-32373) is a polyclonal antibody validated for use in IHC. All Novus Biologicals antibodies are covered by our 100% guarantee.

Scientific Data Images for CFAP69 Antibody - BSA Free

Immunohistochemistry-Paraffin: CFAP69 Antibody [NBP2-32373]

Immunohistochemistry-Paraffin: CFAP69 Antibody [NBP2-32373]

Immunohistochemistry-Paraffin: CFAP69 Antibody [NBP2-32373] - Staining of human pancreas shows no membranous positivity in exocrine glandular cells.
Immunohistochemistry-Paraffin: CFAP69 Antibody [NBP2-32373]

Immunohistochemistry-Paraffin: CFAP69 Antibody [NBP2-32373]

Immunohistochemistry-Paraffin: CFAP69 Antibody [NBP2-32373] - Staining of human small intestine shows moderate membranous positivity in glandular cells.
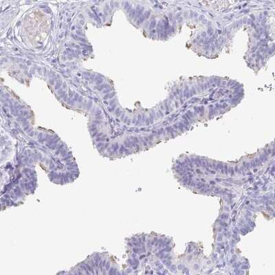
Immunohistochemistry-Paraffin: CFAP69 Antibody [NBP2-32373]

Immunohistochemistry-Paraffin: CFAP69 Antibody [NBP2-32373]

Immunohistochemistry-Paraffin: CFAP69 Antibody [NBP2-32373] - Staining of human duodenum shows moderate positivity in apical membrane in glandular cells.

Applications for CFAP69 Antibody - BSA Free

Application
Recommended Usage

Immunohistochemistry

1:500 - 1:1000

Immunohistochemistry-Paraffin

1:500 - 1:1000
Application Notes
For IHC-Paraffin, HIER pH 6 retrieval is recommended.

Formulation, Preparation, and Storage

Purification

Immunogen affinity purified

Formulation

PBS (pH 7.2) and 40% Glycerol

Format

BSA Free

Preservative

0.02% Sodium Azide

Concentration

Concentrations vary lot to lot. See vial label for concentration. If unlisted please contact technical services.

Shipping

The product is shipped with polar packs. Upon receipt, store it immediately at the temperature recommended below.

Stability & Storage

Store at 4C short term. Aliquot and store at -20C long term. Avoid freeze-thaw cycles.

Background: CFAP69

Alternate Names

Chromosome 7 Open Reading Frame 63, Flagellar Protein 69 Homolog (Chlamydomonas), Hypothetical Protein FLJ21062, Uncharacterized Protein C7orf63

Gene Symbol

CFAP69

Additional CFAP69 Products

Product Documents for CFAP69 Antibody - BSA Free

Certificate of Analysis

To download a Certificate of Analysis, please enter a lot number in the search box below.

Product Specific Notices for CFAP69 Antibody - BSA Free

This product is for research use only and is not approved for use in humans or in clinical diagnosis. Primary Antibodies are guaranteed for 1 year from date of receipt.

Loading...
Loading...
Loading...
Loading...