Skip to main content

CETP Antibody

Novus Biologicals, part of Bio-Techne | Catalog # NBP2-15867

Novus Biologicals, part of Bio-Techne
Catalog #
Availability
Size / Price
Qty
Loading...
NBP2-15867

Key Product Details

Species Reactivity

Human

Applications

Immunohistochemistry-Paraffin, Western Blot

Label

Unconjugated

Antibody Source

Polyclonal Rabbit IgG

Concentration

Concentrations vary lot to lot. See vial label for concentration. If unlisted please contact technical services.

Product Specifications

Immunogen

Recombinant protein encompassing a sequence within the center region of human CETP. The exact sequence is proprietary.

Clonality

Polyclonal

Host

Rabbit

Isotype

IgG

Theoretical MW

55 kDa.
Disclaimer note: The observed molecular weight of the protein may vary from the listed predicted molecular weight due to post translational modifications, post translation cleavages, relative charges, and other experimental factors.

Description

Novus Biologicals Rabbit CETP Antibody (NBP2-15867) is a polyclonal antibody validated for use in IHC and WB. All Novus Biologicals antibodies are covered by our 100% guarantee.

Scientific Data Images for CETP Antibody

Western Blot: CETP Antibody [NBP2-15867]

Western Blot: CETP Antibody [NBP2-15867]

Western Blot: CETP Antibody [NBP2-15867] - Sample (30 ug of whole cell lysate) A: HepG2 10% SDS PAGE gel, diluted at 1:500.
CETP Antibody

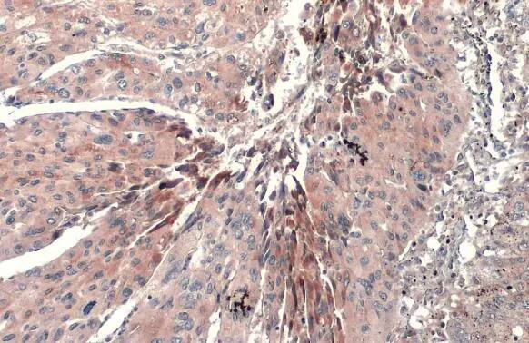
Immunohistochemistry-Paraffin: CETP Antibody [NBP2-15867] -

Immunohistochemistry-Paraffin: CETP Antibody [NBP2-15867] - CETP antibody [N1N3] detects CETP protein at cytoplasm by immunohistochemical analysis.Sample: Paraffin-embedded human hepatocellular carcinoma.CETP stained by CETP antibody [N1N3] (NBP2-15867) diluted at 1:500.Antigen Retrieval: Citrate buffer, pH 6.0, 15 min

Applications for CETP Antibody

Application
Recommended Usage

Western Blot

1:500-1:3000

Formulation, Preparation, and Storage

Purification

Antigen Affinity-purified

Formulation

PBS, 1% BSA, 20% Glycerol

Preservative

0.01% Thimerosal

Concentration

Concentrations vary lot to lot. See vial label for concentration. If unlisted please contact technical services.

Shipping

The product is shipped with polar packs. Upon receipt, store it immediately at the temperature recommended below.

Stability & Storage

Aliquot and store at -20C or -80C. Avoid freeze-thaw cycles.

Background: CETP

Cholesteryl ester transfer protein (CETP) transfers cholesteryl esters between lipoproteins. CETP may effect susceptibility to atherosclerosis. [provided by RefSeq]

Long Name

Cholesteryl Ester Transfer Protein

Alternate Names

BPIFF, HDLCQ10, Lipid Transfer Protein I

Gene Symbol

CETP

UniProt

Additional CETP Products

Product Documents for CETP Antibody

Certificate of Analysis

To download a Certificate of Analysis, please enter a lot number in the search box below.

Product Specific Notices for CETP Antibody

This product is for research use only and is not approved for use in humans or in clinical diagnosis. Primary Antibodies are guaranteed for 1 year from date of receipt.

Loading...
Loading...
Loading...
Loading...

⚠ WARNING: This product can expose you to chemicals including mercury, which is known to the State of California to cause reproductive toxicity with developmental effects.  For more information go to www.P65Warnings.ca.gov.