Skip to main content

CEP55 Antibody (OTI10C4) - Azide and BSA Free

Novus Biologicals, part of Bio-Techne | Catalog # NBP2-71990

Novus Biologicals, part of Bio-Techne

Key Product Details

Species Reactivity

Human

Applications

Immunohistochemistry, Immunohistochemistry-Paraffin, Western Blot

Label

Unconjugated

Antibody Source

Monoclonal Mouse IgG1 Clone # OTI10C4

Format

Azide and BSA Free

Concentration

LYOPH mg/ml

Product Specifications

Immunogen

Human recombinant protein fragment corresponding to amino acids 1-280 of human CEP55 (NP_060601) produced in E.coli.

Clonality

Monoclonal

Host

Mouse

Isotype

IgG1

Description

Novus Biologicals Mouse CEP55 Antibody (OTI10C4) - Azide and BSA Free (NBP2-46241) is a monoclonal antibody validated for use in IHC and WB. All Novus Biologicals antibodies are covered by our 100% guarantee.

Scientific Data Images for CEP55 Antibody (OTI10C4) - Azide and BSA Free

Western Blot: CEP55 Antibody (OTI10C4)Azide and BSA Free [NBP2-71990]

Western Blot: CEP55 Antibody (OTI10C4)Azide and BSA Free [NBP2-71990]

Western Blot: CEP55 Antibody (OTI10C4) - Azide and BSA Free [NBP2-71990] - HEK293T cells were transfected with the pCMV6-ENTRY control (Left lane) or pCMV6-ENTRY CEP55 (Right lane) cDNA for 48 hrs and lysed. Equivalent amounts of cell lysates (5 ug per lane) were separated by SDS-PAGE and immunoblotted with anti-CEP55.
Immunohistochemistry: CEP55 Antibody (OTI10C4) - Azide and BSA Free [NBP2-71990]

Immunohistochemistry: CEP55 Antibody (OTI10C4) - Azide and BSA Free [NBP2-71990]

Immunohistochemistry: CEP55 Antibody (OTI10C4) - Azide and BSA Free [NBP2-71990] - Staining of paraffin-embedded Carcinoma of Human liver tissue using anti-CEP55 mouse monoclonal antibody.
Immunohistochemistry: CEP55 Antibody (OTI10C4) - Azide and BSA Free [NBP2-71990]

Immunohistochemistry: CEP55 Antibody (OTI10C4) - Azide and BSA Free [NBP2-71990]

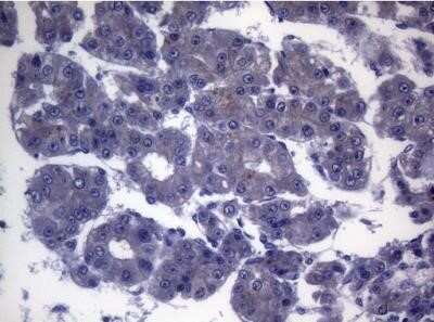
Immunohistochemistry: CEP55 Antibody (OTI10C4) - Azide and BSA Free [NBP2-71990] - Staining of paraffin-embedded Human pancreas tissue within the normal limits using anti-CEP55 mouse monoclonal antibody.

Applications for CEP55 Antibody (OTI10C4) - Azide and BSA Free

Application
Recommended Usage

Immunohistochemistry

1:150

Western Blot

1:2000

Formulation, Preparation, and Storage

Purification

Immunogen affinity purified

Reconstitution

we recommend adding 100uL distilled water to a final antibody concentration of about 1 mg/mL. To use this carrier-free antibody for conjugation experiment, we strongly recommend performing another round of desalting process.

Formulation

Lyophilized from PBS (pH 7.3) with 8% Trehalose

Format

Azide and BSA Free

Preservative

No Preservative

Concentration

LYOPH mg/ml

Shipping

The product is shipped with polar packs. Upon receipt, store it immediately at the temperature recommended below.

Stability & Storage

Store at -20C. Avoid freeze-thaw cycles.

Background: CEP55

CEP55 plays a role in mitotic exit and cytokinesis. Not required for microtubule nucleation. Recruits PDCD6IP and TSG101 to midbody during cytokinesis

Alternate Names

C10orf3, cancer/testis antigen 111, centrosomal protein 55kDa, centrosomal protein of 55 kDa, Cep55, chromosome 10 open reading frame 3, CT111, FLJ10540, Up-regulated in colon cancer 6, URCC6

Gene Symbol

CEP55

Additional CEP55 Products

Product Documents for CEP55 Antibody (OTI10C4) - Azide and BSA Free

Certificate of Analysis

To download a Certificate of Analysis, please enter a lot number in the search box below.

Product Specific Notices for CEP55 Antibody (OTI10C4) - Azide and BSA Free

This product is for research use only and is not approved for use in humans or in clinical diagnosis. Primary Antibodies are guaranteed for 1 year from date of receipt.

Loading...
Loading...
Loading...
Loading...
Loading...