Skip to main content

CEP295 Antibody - BSA Free

Novus Biologicals, part of Bio-Techne | Catalog # NBP1-90900

Novus Biologicals, part of Bio-Techne
Catalog #
Availability
Size / Price
Qty
Loading...
NBP1-90900

Key Product Details

Species Reactivity

Human

Applications

Immunohistochemistry, Immunohistochemistry-Paraffin, Immunocytochemistry/ Immunofluorescence

Label

Unconjugated

Antibody Source

Polyclonal Rabbit IgG

Format

BSA Free

Concentration

Concentrations vary lot to lot. See vial label for concentration. If unlisted please contact technical services.

Product Specifications

Immunogen

This antibody was developed against Recombinant Protein corresponding to amino acids: LRVSISREQSFFGSPLAHDPFSCLQLVGQENVCGDDYDEAVKLKESVVENHAVLSYAVEEEHAYLGPTVKPDDKAKTLSYEPLSSATVSTGSLLSYENTDLS

Clonality

Polyclonal

Host

Rabbit

Isotype

IgG

Description

Novus Biologicals Rabbit CEP295 Antibody - BSA Free (NBP1-90900) is a polyclonal antibody validated for use in IHC and ICC/IF. All Novus Biologicals antibodies are covered by our 100% guarantee.

Scientific Data Images for CEP295 Antibody - BSA Free

Immunocytochemistry/ Immunofluorescence: CEP295 Antibody [NBP1-90900]

Immunocytochemistry/ Immunofluorescence: CEP295 Antibody [NBP1-90900]

Immunocytochemistry/Immunofluorescence: KIAA1731 Antibody [NBP1-90900] - Immunofluorescent staining of human cell line U-2 OS shows localization to plasma membrane & cytosol.
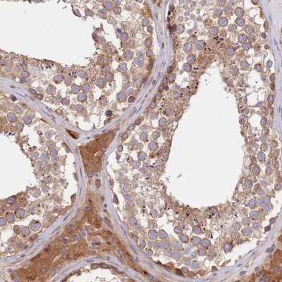
Immunohistochemistry-Paraffin: CEP295 Antibody [NBP1-90900]

Immunohistochemistry-Paraffin: CEP295 Antibody [NBP1-90900]

Immunohistochemistry-Paraffin: KIAA1731 Antibody [NBP1-90900] - Staining of human testis shows moderate cytoplasmic positivity in seminiferous duct cells and Leydig cells.
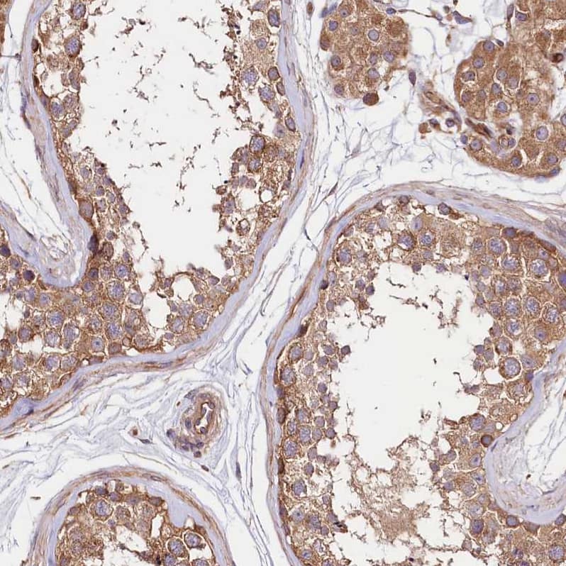
CEP295 Antibody - BSA Free Immunohistochemistry: CEP295 Antibody - BSA Free [NBP1-90900]

Immunohistochemistry: CEP295 Antibody - BSA Free [NBP1-90900]

Staining of human testis shows moderate cytoplasmic positivity in seminiferous duct cells and Leydig cells.

Applications for CEP295 Antibody - BSA Free

Application
Recommended Usage

Immunocytochemistry/ Immunofluorescence

0.25-2 ug/ml

Immunohistochemistry

1:200 - 1:500

Immunohistochemistry-Paraffin

1:200 - 1:500
Application Notes
For IHC-Paraffin, HIER pH 6 retrieval is recommended. Immunocytochemistry/Immunofluorescence Fixation Permeabilization: Use PFA/Triton X-100.

Formulation, Preparation, and Storage

Purification

Immunogen affinity purified

Formulation

PBS (pH 7.2) and 40% Glycerol

Format

BSA Free

Preservative

0.02% Sodium Azide

Concentration

Concentrations vary lot to lot. See vial label for concentration. If unlisted please contact technical services.

Shipping

The product is shipped with polar packs. Upon receipt, store it immediately at the temperature recommended below.

Stability & Storage

Store at 4C short term. Aliquot and store at -20C long term. Avoid freeze-thaw cycles.

Background: CEP295

Alternate Names

FLJ40913, hypothetical protein LOC85459, KIAA1731

Gene Symbol

KIAA1731

Additional CEP295 Products

Product Documents for CEP295 Antibody - BSA Free

Certificate of Analysis

To download a Certificate of Analysis, please enter a lot number in the search box below.

Product Specific Notices for CEP295 Antibody - BSA Free

This product is for research use only and is not approved for use in humans or in clinical diagnosis. Primary Antibodies are guaranteed for 1 year from date of receipt.

Loading...
Loading...
Loading...
Loading...