Skip to main content

CEP152 Antibody (HL2763)

Novus Biologicals, part of Bio-Techne | Catalog # NBP3-48727

Recombinant Monoclonal Antibody
Novus Biologicals, part of Bio-Techne
Catalog #
Availability
Size / Price
Qty
Loading...
NBP3-48727

Key Product Details

Validated by

Orthogonal Validation

Species Reactivity

Human

Applications

Western Blot, Immunocytochemistry/ Immunofluorescence

Label

Unconjugated

Antibody Source

Recombinant Monoclonal Rabbit IgG Clone # HL2763

Concentration

Concentrations vary lot to lot. See vial label for concentration. If unlisted please contact technical services.

Product Specifications

Immunogen

Recombinant fragment of human CEP152.

Clonality

Monoclonal

Host

Rabbit

Isotype

IgG

Description

Novus Biologicals Rabbit CEP152 Antibody (HL2763) (NBP3-48727) is a recombinant monoclonal antibody validated for use in WB and ICC/IF. All Novus Biologicals antibodies are covered by our 100% guarantee.

Scientific Data Images for CEP152 Antibody (HL2763)

CEP152 Antibody (HL2763)

Immunocytochemistry/ Immunofluorescence: CEP152 Antibody (HL2763) [NBP3-48727] -

CEP152 antibody [HL2763] detects CEP152 protein at centrosome by immunofluorescent analysis.Sample: HeLa cells were fixed in ice-cold MeOH for 5 min.Green: CEP152 stained by CEP152 antibody [HL2763] (NBP3-48727) diluted at 1:500.Red: alpha Tubulin, a cytoskeleton marker, stained by alpha Tubulin antibody [GT114] diluted at 1:1000.Blue: Fluoroshield with DAPI .
CEP152 Antibody (HL2763)

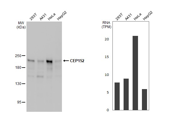
Western Blot: CEP152 Antibody (HL2763) [NBP3-48727] -

Various whole cell extracts (30 ug) were separated by 5% SDS-PAGE, and the membrane was blotted with CEP152 antibody [HL2763] (NBP3-48727) diluted at 1:1000. The HRP-conjugated anti-rabbit IgG antibody was used to detect the primary antibody, and the signal was developed with Trident ECL plus-Enhanced. Corresponding RNA expression data for the same cell lines are based on Human Protein Atlas program.

Applications for CEP152 Antibody (HL2763)

Application
Recommended Usage

Western Blot

1:500-1:3000

Formulation, Preparation, and Storage

Purification

Protein A purified

Formulation

PBS

Preservative

No Preservative

Concentration

Concentrations vary lot to lot. See vial label for concentration. If unlisted please contact technical services.

Shipping

The product is shipped with polar packs. Upon receipt, store it immediately at the temperature recommended below.

Stability & Storage

Store at 4C short term. Aliquot and store at -20C long term. Avoid freeze-thaw cycles.

Background: CEP152

Alternate Names

centrosomal protein 152kDa, centrosomal protein of 152 kDa, Cep152, FLJ21594, KIAA0912MCPH4

Gene Symbol

CEP152

Additional CEP152 Products

Product Documents for CEP152 Antibody (HL2763)

Certificate of Analysis

To download a Certificate of Analysis, please enter a lot number in the search box below.

Product Specific Notices for CEP152 Antibody (HL2763)

This product is for research use only and is not approved for use in humans or in clinical diagnosis. Primary Antibodies are guaranteed for 1 year from date of receipt.

Loading...
Loading...
Loading...
Loading...