Skip to main content

CENPH Antibody - BSA Free

Novus Biologicals, part of Bio-Techne | Catalog # NBP1-82546

Novus Biologicals, part of Bio-Techne
Catalog #
Availability
Size / Price
Qty
Loading...
NBP1-82546
NBP1-82546-25ul

Key Product Details

Species Reactivity

Human

Applications

Immunohistochemistry, Immunohistochemistry-Paraffin, Western Blot, Immunocytochemistry/ Immunofluorescence

Label

Unconjugated

Antibody Source

Polyclonal Rabbit IgG

Format

BSA Free

Concentration

Concentrations vary lot to lot. See vial label for concentration. If unlisted please contact technical services.

Product Specifications

Immunogen

This antibody was developed against Recombinant Protein corresponding to amino acids: NMKHLLELNKLIMKSQQESWDLEEKLLDIRKKRLQLKQASESKLLEIQTEKNKQKIDLDSMENSERIKIIRQNLQMEI

Reactivity Notes

Reactivity reported in scientific literature (PMID: 23435261)

Clonality

Polyclonal

Host

Rabbit

Isotype

IgG

Description

Novus Biologicals Rabbit CENPH Antibody - BSA Free (NBP1-82546) is a polyclonal antibody validated for use in IHC, WB and ICC/IF. Anti-CENPH Antibody: Cited in 2 publications. All Novus Biologicals antibodies are covered by our 100% guarantee.

Scientific Data Images for CENPH Antibody - BSA Free

Western Blot: CENPH Antibody [NBP1-82546]

Western Blot: CENPH Antibody [NBP1-82546]

Western Blot: CENPH Antibody [NBP1-82546] - Lane 1: Marker [kDa] 230, 130, 95, 72, 56, 36, 28, 17, 11. Lane 2: Human cell line RT-119
Immunocytochemistry/ Immunofluorescence: CENPH Antibody [NBP1-82546]

Immunocytochemistry/ Immunofluorescence: CENPH Antibody [NBP1-82546]

Immunocytochemistry/Immunofluorescence: CENPH Antibody [NBP1-82546] - Staining of human cell line A-431 shows localization to nucleus & nucleoli. Antibody staining is shown in green.
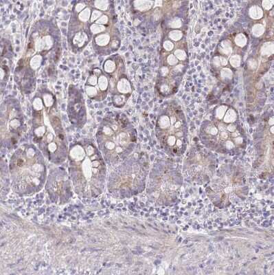
Immunohistochemistry-Paraffin: CENPH Antibody [NBP1-82546]

Immunohistochemistry-Paraffin: CENPH Antibody [NBP1-82546]

Immunohistochemistry-Paraffin: CENPH Antibody [NBP1-82546] - Staining of human small intestine shows weak to moderate nuclear positivity in a subset of glandular cells.

Applications for CENPH Antibody - BSA Free

Application
Recommended Usage

Immunocytochemistry/ Immunofluorescence

0.25-2 ug/ml

Immunohistochemistry

1:200 - 1:500

Immunohistochemistry-Paraffin

1:200 - 1:500

Western Blot

0.04-0.4 ug/ml
Application Notes
For IHC-Paraffin, HIER pH 6 retrieval is recommended. ICC/IF, Fixation Permeabilization: Use PFA/Triton X-100.

Formulation, Preparation, and Storage

Purification

Immunogen affinity purified

Formulation

PBS (pH 7.2) and 40% Glycerol

Format

BSA Free

Preservative

0.02% Sodium Azide

Concentration

Concentrations vary lot to lot. See vial label for concentration. If unlisted please contact technical services.

Shipping

The product is shipped with polar packs. Upon receipt, store it immediately at the temperature recommended below.

Stability & Storage

Store at 4C short term. Aliquot and store at -20C long term. Avoid freeze-thaw cycles.

Background: CENPH

Centromere and kinetochore proteins play a critical role in centromere structure, kinetochore formation, and sister chromatid separation. The protein encoded by this gene colocalizes with inner kinetochore plate proteins CENP-A and CENP-C in both interphase and metaphase. It localizes outside of centromeric heterochromatin, where CENP-B is localized, and inside the kinetochore corona, where CENP-E is localized during prometaphase. It is thought that this protein can bind to itself, as well as to CENP-A, CENP-B or CENP-C. Multimers of the protein localize constitutively to the inner kinetochore plate and play an important role in the organization and function of the active centromere-kinetochore complex.

Alternate Names

CENP-H, centromere protein H, ICEN35, Interphase centromere complex protein 35, kinetochore protein CENP-H, NNF1, PMF1

Gene Symbol

CENPH

Additional CENPH Products

Product Documents for CENPH Antibody - BSA Free

Certificate of Analysis

To download a Certificate of Analysis, please enter a lot number in the search box below.

Product Specific Notices for CENPH Antibody - BSA Free

This product is for research use only and is not approved for use in humans or in clinical diagnosis. Primary Antibodies are guaranteed for 1 year from date of receipt.

Loading...
Loading...
Loading...
Loading...