Skip to main content

CENPF Antibody (PSH0-79)

Novus Biologicals, part of Bio-Techne | Catalog # NBP3-32181

Recombinant Monoclonal Antibody
Novus Biologicals, part of Bio-Techne
Catalog #
Availability
Size / Price
Qty
Loading...
NBP3-32181

Key Product Details

Species Reactivity

Human, Mouse, Rat

Applications

Immunohistochemistry, Immunohistochemistry-Paraffin, Western Blot

Label

Unconjugated

Antibody Source

Recombinant Monoclonal Rabbit IgG Clone # PSH0-79 expressed in HEK293

Concentration

1 mg/ml

Product Specifications

Immunogen

Recombinant protein within human CENPF aa 2,825-3,114 / 3,114. (Uniprot: P49454)

Localization

Cytoplasm, perinuclear region, Nucleus matrix, Chromosome, centromere, kinetochore, Cytoplasm, cytoskeleton, spindle.

Clonality

Monoclonal

Host

Rabbit

Isotype

IgG

Theoretical MW

358 kDa.
Disclaimer note: The observed molecular weight of the protein may vary from the listed predicted molecular weight due to post translational modifications, post translation cleavages, relative charges, and other experimental factors.

Description

Novus Biologicals Rabbit CENPF Antibody (PSH0-79) (NBP3-32181) is a recombinant monoclonal antibody validated for use in IHC and WB. All Novus Biologicals antibodies are covered by our 100% guarantee.

Scientific Data Images for CENPF Antibody (PSH0-79)

CENPF Antibody (PSH0-79)

Western Blot: CENPF Antibody (PSH0-79) [NBP3-32181]

Western Blot: CENPF Antibody (PSH0-79) [NBP3-32181] - Western blot analysis of CENPF on different lysates with Rabbit anti-CENPF antibody (NBP3-32181) at 1/1,000 dilution.

Lane 1: SK-Br-3 cell lysate
Lane 2: Jurkat cell lysate

Lysates/proteins at 20 ug/Lane.

Predicted band size: 358 kDa
Observed band size: 358 kDa

Exposure time: 3 minutes;

6% SDS-PAGE gel.

Proteins were transferred to a PVDF membrane and blocked with 5% NFDM/TBST for 1 hour at room temperature. The primary antibody (NBP3-32181) at 1/1,000 dilution was used in 5% NFDM/TBST at room temperature for 2 hours. Goat Anti-Rabbit IgG - HRP Secondary Antibody at 1:100,000 dilution was used for 1 hour at room temperature.
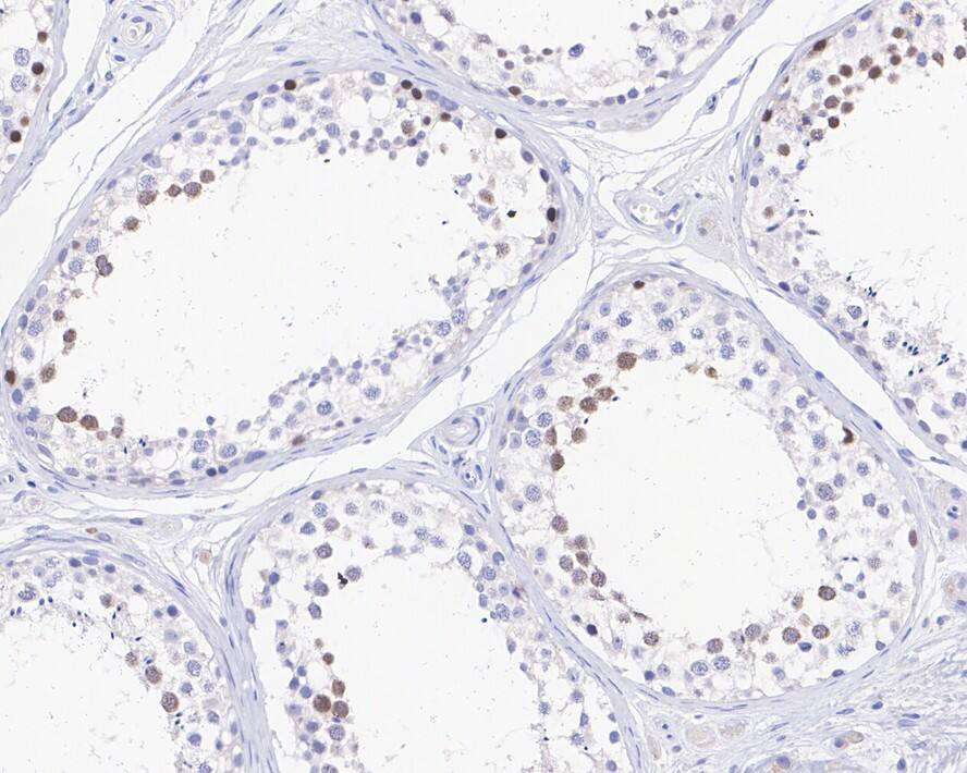
CENPF Antibody (PSH0-79)

Immunohistochemistry: CENPF Antibody (PSH0-79) [NBP3-32181]

Immunohistochemistry: CENPF Antibody (PSH0-79) [NBP3-32181] - Immunohistochemical analysis of paraffin-embedded human testis tissue with Rabbit anti-CENPF antibody (NBP3-32181) at 1/1,000 dilution.

The section was pre-treated using heat mediated antigen retrieval with sodium citrate buffer (pH 6.0) for 2 minutes. The tissues were blocked in 1% BSA for 20 minutes at room temperature, washed with ddH2O and PBS, and then probed with the primary antibody (NBP3-32181) at 1/1,000 dilution for 1 hour at room temperature. The detection was performed using an HRP conjugated compact polymer system. DAB was used as the chromogen. Tissues were counterstained with hematoxylin and mounted with DPX.

Applications for CENPF Antibody (PSH0-79)

Application
Recommended Usage

Immunohistochemistry-Paraffin

1:1000

Western Blot

1:1000

Formulation, Preparation, and Storage

Purification

Protein A purified

Formulation

PBS (pH7.4), 0.1% BSA and 40% Glycerol

Preservative

0.05% Sodium Azide

Concentration

1 mg/ml

Shipping

The product is shipped with polar packs. Upon receipt, store it immediately at the temperature recommended below.

Stability & Storage

Store at 4C short term. Aliquot and store at -20C long term. Avoid freeze-thaw cycles.

Background: CENPF

CENPF (Centromere protein F) is required for proper chromosome segregation in mitosis, and has a cell-cycle distribution that is both temporally regulated and diverse in terms of the structural component localization. Specifically, CENPF is a component of the nuclear matrix during the G2 phase of interphase. In late G2, it associates with the kinetochore and maintains this association through early anaphase. Here, CENPF is required for kinetochore function and appears to be the earliest member to interact with the centromere-kinetochore complex. It then localizes to the spindle midzone in late anaphase and to the intracellular bridge in telophase, where the protein is subsequently degraded. Given this diversity of function, CENPF is expected to play an important role in several mitotic events.

Alternate Names

AH antigen, cell-cycle-dependent 350K nuclear protein, CENF, CENP-F, CENP-F kinetochore protein, centromere protein F, centromere protein F (350/400kD, mitosin), centromere protein F, 350/400ka (mitosin), centromere protein F, 350/400kDa (mitosin), hcp-1, Kinetochore protein CENPF, mitosin, PRO1779

Gene Symbol

CENPF

Additional CENPF Products

Product Documents for CENPF Antibody (PSH0-79)

Certificate of Analysis

To download a Certificate of Analysis, please enter a lot number in the search box below.

Product Specific Notices for CENPF Antibody (PSH0-79)

This product is for research use only and is not approved for use in humans or in clinical diagnosis. Primary Antibodies are guaranteed for 1 year from date of receipt.

Loading...
Loading...
Loading...
Loading...