Skip to main content

CENPA Antibody - BSA Free

Novus Biologicals, part of Bio-Techne | Catalog # NBP3-13389

Novus Biologicals, part of Bio-Techne
Catalog #
Availability
Size / Price
Qty
Loading...
NBP3-13389

Key Product Details

Species Reactivity

Human

Applications

Immunohistochemistry, Immunohistochemistry-Paraffin, Western Blot

Label

Unconjugated

Antibody Source

Polyclonal Rabbit IgG

Format

BSA Free

Concentration

Concentrations vary lot to lot. See vial label for concentration. If unlisted please contact technical services.

Product Specifications

Immunogen

Carrier-protein conjugated synthetic peptide encompassing a sequence within the N-terminus region of human CENPA. The exact sequence is proprietary.

Clonality

Polyclonal

Host

Rabbit

Isotype

IgG

Theoretical MW

16 kDa.
Disclaimer note: The observed molecular weight of the protein may vary from the listed predicted molecular weight due to post translational modifications, post translation cleavages, relative charges, and other experimental factors.

Description

Centrifuge briefly prior to opening.

Scientific Data Images for CENPA Antibody - BSA Free

Western Blot: CENPA Antibody [NBP3-13389]

Western Blot: CENPA Antibody [NBP3-13389]

Western Blot: CENPA Antibody [NBP3-13389] - Whole cell extract (30 ug) was separated by 15% SDS-PAGE, and the membrane was blotted with CENPA antibody (NBP3-13389) diluted at 1:1000. The HRP-conjugated anti-rabbit IgG antibody (NBP2-19301) was used to detect the primary antibody.
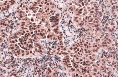
Immunohistochemistry-Paraffin: CENPA Antibody [NBP3-13389]

Immunohistochemistry-Paraffin: CENPA Antibody [NBP3-13389]

Immunohistochemistry-Paraffin: CENPA Antibody [NBP3-13389] - Human lung cancer. CENPA stained by CENPA antibody (NBP3-13389) diluted at 1:500. Antigen Retrieval: Citrate buffer, pH 6.0, 15 min

Applications for CENPA Antibody - BSA Free

Application
Recommended Usage

Western Blot

1:500-1:3000
Application Notes
IHC, IHC-P-Assay dependent

Formulation, Preparation, and Storage

Purification

Antigen Affinity-purified

Formulation

PBS, 20% Glycerol

Format

BSA Free

Preservative

0.025% Proclin 300

Concentration

Concentrations vary lot to lot. See vial label for concentration. If unlisted please contact technical services.

Shipping

The product is shipped with polar packs. Upon receipt, store it immediately at the temperature recommended below.

Stability & Storage

Store at 4C short term. Aliquot and store at -20C long term. Avoid freeze-thaw cycles.

Background: CENPA

Centromere protein A (CENP-A) is a 17 kD centromere-specific histone variant with 62% amino acids homology to the C-terminal of histone H3. Localized in the centromere, it plays a central role in the centromere-specific chromatin formation. The depletion of histone H3 at the CENP-A binding domain suggests CENP-A to be a possible replacement for histone H3 in the packaging process of

Alternate Names

Centromere autoantigen A, centromere protein A (17kD), centromere protein ACENP-Acentromere protein A, 17kDa, histone H3-like centromeric protein A

Gene Symbol

CENPA

Additional CENPA Products

Product Documents for CENPA Antibody - BSA Free

Certificate of Analysis

To download a Certificate of Analysis, please enter a lot number in the search box below.

Product Specific Notices for CENPA Antibody - BSA Free

This product is for research use only and is not approved for use in humans or in clinical diagnosis. Primary Antibodies are guaranteed for 1 year from date of receipt.

Loading...
Loading...
Loading...
Loading...