Skip to main content

CEACAM16 Antibody - BSA Free

Novus Biologicals, part of Bio-Techne | Catalog # NBP1-91777

Novus Biologicals, part of Bio-Techne
Catalog #
Availability
Size / Price
Qty
Loading...
NBP1-91777
NBP1-91777-25ul

Key Product Details

Species Reactivity

Validated:

Human

Predicted:

Mouse (96%), Rat (95%). Backed by our 100% Guarantee.

Applications

Immunohistochemistry, Immunohistochemistry-Paraffin, Western Blot

Label

Unconjugated

Antibody Source

Polyclonal Rabbit IgG

Format

BSA Free

Concentration

Concentrations vary lot to lot. See vial label for concentration. If unlisted please contact technical services.

Product Specifications

Immunogen

This antibody was developed against Recombinant Protein corresponding to amino acids: VPVPTKPTEGQDVTLTVQGYPKDLLVYAWYRGPASEPNRLLSQLPSGTWIAGPAHTGREVGFPNCSLLVQKLNLTDTGRYTLKTVTVQGKT

Clonality

Polyclonal

Host

Rabbit

Isotype

IgG

Description

Novus Biologicals Rabbit CEACAM16 Antibody - BSA Free (NBP1-91777) is a polyclonal antibody validated for use in IHC and WB. All Novus Biologicals antibodies are covered by our 100% guarantee.

Scientific Data Images for CEACAM16 Antibody - BSA Free

Western Blot: CEACAM16 Antibody [NBP1-91777]

Western Blot: CEACAM16 Antibody [NBP1-91777]

Western Blot: CEACAM16 Antibody [NBP1-91777] - Lane 1: Marker [kDa] 250, 130, 95, 72, 55, 36, 28, 17, 10. Lane 2: Human cell line RT-4. Lane 3: Human cell line U-251MG sp. Lane 4: Human plasma (IgG/HSA depleted)
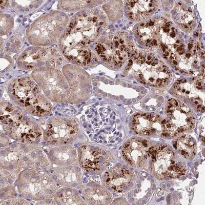
Immunohistochemistry-Paraffin: CEACAM16 Antibody [NBP1-91777]

Immunohistochemistry-Paraffin: CEACAM16 Antibody [NBP1-91777]

Immunohistochemistry-Paraffin: CEACAM16 Antibody [NBP1-91777] - Staining of human kidney shows strong granular cytoplasmic positivity in cells in tubules.
CEACAM16 Antibody - BSA Free Western Blot: CEACAM16 Antibody - BSA Free [NBP1-91777]

Western Blot: CEACAM16 Antibody - BSA Free [NBP1-91777]

Lane 1: Marker [kDa] 250, 130, 95, 72, 55, 36, 28, 17, 10
Lane 2: Human cell line RT-4
Lane 3: Human cell line U-251MG sp
Lane 4: Human plasma (IgG/HSA depleted)

Applications for CEACAM16 Antibody - BSA Free

Application
Recommended Usage

Immunohistochemistry

1:20 - 1:50

Immunohistochemistry-Paraffin

1:20 - 1:50

Western Blot

0.04-0.4 ug/ml
Application Notes
For IHC-Paraffin, HIER pH 6 retrieval is recommended.

Formulation, Preparation, and Storage

Purification

Immunogen affinity purified

Formulation

PBS (pH 7.2) and 40% Glycerol

Format

BSA Free

Preservative

0.02% Sodium Azide

Concentration

Concentrations vary lot to lot. See vial label for concentration. If unlisted please contact technical services.

Shipping

The product is shipped with polar packs. Upon receipt, store it immediately at the temperature recommended below.

Stability & Storage

Store at 4C short term. Aliquot and store at -20C long term. Avoid freeze-thaw cycles.

Background: CEACAM-16

Long Name

Carcinoembryonic Antigen-related Cell Adhesion Molecule 16

Alternate Names

CEAL2, DFNA4B

Gene Symbol

CEACAM16

Additional CEACAM-16 Products

Product Documents for CEACAM16 Antibody - BSA Free

Certificate of Analysis

To download a Certificate of Analysis, please enter a lot number in the search box below.

Product Specific Notices for CEACAM16 Antibody - BSA Free

This product is for research use only and is not approved for use in humans or in clinical diagnosis. Primary Antibodies are guaranteed for 1 year from date of receipt.

Loading...
Loading...
Loading...
Loading...