Skip to main content

CEACAM1/CD66a Antibody (10H8) - BSA Free

Novus Biologicals, part of Bio-Techne | Catalog # NBP3-26661

Recombinant monoclonal antibody expressed in HEK293F cells
Novus Biologicals, part of Bio-Techne
Catalog #
Availability
Size / Price
Qty
Loading...
NBP3-26661-100ul
NBP3-26661-50ul

Key Product Details

Species Reactivity

Human

Applications

ELISA, Immunohistochemistry

Label

Unconjugated

Antibody Source

Recombinant Monoclonal Rabbit IgG Clone # 10H8 expressed in HEK293

Format

BSA Free

Concentration

Please see the vial label for concentration. If unlisted please contact technical services.

Product Specifications

Immunogen

A synthesized peptide derived from Human CEACAM1/CD66a [UniProt P13688]

Clonality

Monoclonal

Host

Rabbit

Isotype

IgG

Description

Novus Biologicals Rabbit CEACAM1/CD66a Antibody (10H8) - BSA Free (NBP3-26661) is a recombinant monoclonal antibody validated for use in IHC and ELISA. All Novus Biologicals antibodies are covered by our 100% guarantee.

Scientific Data Images for CEACAM1/CD66a Antibody (10H8) - BSA Free

CEACAM1/CD66a Antibody (10H8)

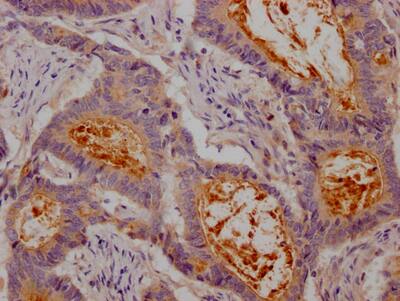
Immunohistochemistry: CEACAM1/CD66a Antibody (10H8) [NBP3-26661] -

Immunohistochemistry: CEACAM1/CD66a Antibody (10H8) [NBP3-26661] - Image of CEACAM1/CD66a Antibody (10H8) diluted at 1:100 and staining in paraffin-embedded human colon cancer performed. After dewaxing and hydration, antigen retrieval was mediated by high pressure in a citrate buffer (pH 6.0). Section was blocked with 10% normal goat serum 30min at RT. Then primary antibody (1% BSA) was incubated at 4C overnight. The primary is detected by a Goat anti-rabbit IgG polymer labeled by HRP and visualized using 0.05% DAB.
CEACAM1/CD66a Antibody (10H8)

Immunohistochemistry: CEACAM1/CD66a Antibody (10H8) [NBP3-26661] -

Immunohistochemistry: CEACAM1/CD66a Antibody (10H8) [NBP3-26661] - Image of CEACAM1/CD66a Antibody (10H8) diluted at 1:100 and staining in paraffin-embedded human colon cancer performed. After dewaxing and hydration, antigen retrieval was mediated by high pressure in a citrate buffer (pH 6.0). Section was blocked with 10% normal goat serum 30min at RT. Then primary antibody (1% BSA) was incubated at 4C overnight. The primary is detected by a Goat anti-rabbit IgG polymer labeled by HRP and visualized using 0.05% DAB.

Applications for CEACAM1/CD66a Antibody (10H8) - BSA Free

Application
Recommended Usage

Immunohistochemistry

1:50-1:200

Formulation, Preparation, and Storage

Purification

Affinity purified

Formulation

PBS, pH 7.4, 150mM NaCl, and 50% glycerol

Format

BSA Free

Preservative

0.02% Sodium Azide

Concentration

Please see the vial label for concentration. If unlisted please contact technical services.

Shipping

The product is shipped with polar packs. Upon receipt, store it immediately at the temperature recommended below.

Stability & Storage

Store at -20 to -70C. Avoid freeze-thaw cycles.

Background: CEACAM-1/CD66a

CEACAM1 encodes a member of the carcinoembryonic antigen (CEA) gene family, which belongs to the immunoglobulin superfamily. Two subgroups of the CEA family, the CEA cell adhesion molecules and the pregnancy-specific glycoproteins, are located within a 1.2 Mb cluster on the long arm of chromosome 19. Eleven pseudogenes of the CEA cell adhesion molecule subgroup are also found in the cluster. The encoded protein was originally described in bile ducts of liver as biliary glycoprotein. Subsequently, it was found to be a cell-cell adhesion molecule detected on leukocytes, epithelia, and endothelia. The encoded protein mediates cell adhesion via homophilic as well as heterophilic binding to other proteins of the subgroup. Multiple cellular activities have been attributed to the encoded protein, including roles in the differentiation and arrangement of tissue three-dimensional structure, angiogenesis, apoptosis, tumor suppression, metastasis, and the modulation of innate and adaptive immune responses. Multiple transcript variants encoding different isoforms have been reported, but the full-length nature of only two has been determined. [provided by RefSeq]

Long Name

Carcinoembryonic Antigen-related Cell Adhesion Molecule 1

Alternate Names

BGP1, Biliary Glycoprotein 1, CD66a, Cea-1, CEACAM1, Hv-1, Hv-2, MHVR

Gene Symbol

CEACAM1

Additional CEACAM-1/CD66a Products

Product Documents for CEACAM1/CD66a Antibody (10H8) - BSA Free

Certificate of Analysis

To download a Certificate of Analysis, please enter a lot number in the search box below.

Product Specific Notices for CEACAM1/CD66a Antibody (10H8) - BSA Free

This product is for research use only and is not approved for use in humans or in clinical diagnosis. Primary Antibodies are guaranteed for 1 year from date of receipt.

Loading...
Loading...
Loading...
Loading...