Skip to main content

CDNF Antibody - BSA Free

Novus Biologicals, part of Bio-Techne | Catalog # NBP1-88994

Novus Biologicals, part of Bio-Techne
Catalog #
Availability
Size / Price
Qty
Loading...
NBP1-88994
NBP1-88994-25ul

Key Product Details

Species Reactivity

Human

Applications

Immunohistochemistry, Immunohistochemistry-Paraffin, Western Blot

Label

Unconjugated

Antibody Source

Polyclonal Rabbit IgG

Format

BSA Free

Concentration

Concentrations vary lot to lot. See vial label for concentration. If unlisted please contact technical services.

Product Specifications

Immunogen

This antibody was developed against Recombinant Protein corresponding to amino acids: TLDLASVDLRKMRVAELKQILHSWGEECRACAEKTDYVNLIQELAPKYAATH

Reactivity Notes

Immunogen displays the following percentage of sequence identity for non-tested species: Mouse (81%), Rat (85%)

Clonality

Polyclonal

Host

Rabbit

Isotype

IgG

Description

Novus Biologicals Rabbit CDNF Antibody - BSA Free (NBP1-88994) is a polyclonal antibody validated for use in IHC and WB. All Novus Biologicals antibodies are covered by our 100% guarantee.

Scientific Data Images for CDNF Antibody - BSA Free

Western Blot: CDNF Antibody [NBP1-88994]

Western Blot: CDNF Antibody [NBP1-88994]

Western Blot: CDNF Antibody [NBP1-88994] - Lane 1: Marker [kDa] 250, 130, 95, 72, 55, 36, 28, 17, 10. Lane 2: Human cell line RT-4. Lane 3: Human cell line U-251MG sp. Lane 4: Human plasma (IgG/HSA depleted). Lane 5: Human liver tissue
Immunohistochemistry-Paraffin: CDNF Antibody [NBP1-88994]

Immunohistochemistry-Paraffin: CDNF Antibody [NBP1-88994]

Immunohistochemistry-Paraffin: CDNF Antibody [NBP1-88994] - Staining of human fallopian tube shows moderate cytoplasmic positivity in glandular cells.
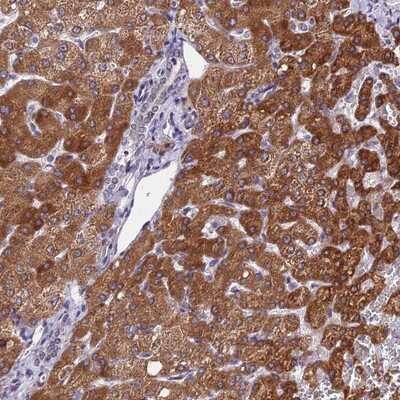
Immunohistochemistry-Paraffin: CDNF Antibody [NBP1-88994]

Immunohistochemistry-Paraffin: CDNF Antibody [NBP1-88994]

Immunohistochemistry-Paraffin: CDNF Antibody [NBP1-88994] - Staining of human liver shows strong cytoplasmic positivity in hepatocytes.

Applications for CDNF Antibody - BSA Free

Application
Recommended Usage

Immunohistochemistry

1:20 - 1:50

Immunohistochemistry-Paraffin

1:20 - 1:50

Western Blot

0.04-0.4 ug/ml
Application Notes
For IHC-Paraffin, HIER pH 6 retrieval is recommended.

Formulation, Preparation, and Storage

Purification

Immunogen affinity purified

Formulation

PBS (pH 7.2) and 40% Glycerol

Format

BSA Free

Preservative

0.02% Sodium Azide

Concentration

Concentrations vary lot to lot. See vial label for concentration. If unlisted please contact technical services.

Shipping

The product is shipped with polar packs. Upon receipt, store it immediately at the temperature recommended below.

Stability & Storage

Store at 4C short term. Aliquot and store at -20C long term. Avoid freeze-thaw cycles.

Background: CDNF

Trophic factor for dopamine neurons. Prevents the 6-hydroxydopamine (6-OHDA)-induced degeneration ofdopaminergic neurons. When administered after 6-OHDA-lesioning, restores the dopaminergic function and prevents thedegeneration of dopaminergic neurons in substantia nigra

Long Name

Conserved Dopamine Neurotrophic Factor

Alternate Names

ARMETL1

Gene Symbol

CDNF

Additional CDNF Products

Product Documents for CDNF Antibody - BSA Free

Certificate of Analysis

To download a Certificate of Analysis, please enter a lot number in the search box below.

Product Specific Notices for CDNF Antibody - BSA Free

This product is for research use only and is not approved for use in humans or in clinical diagnosis. Primary Antibodies are guaranteed for 1 year from date of receipt.

Loading...
Loading...
Loading...
Loading...