Skip to main content

CDNF Antibody - BSA Free

Novus Biologicals, part of Bio-Techne | Catalog # NBP1-76835

Novus Biologicals, part of Bio-Techne

Key Product Details

Species Reactivity

Human, Mouse, Rat

Applications

Immunohistochemistry, Immunohistochemistry-Paraffin, Western Blot, ELISA, Immunocytochemistry/ Immunofluorescence

Label

Unconjugated

Antibody Source

Polyclonal Rabbit IgG

Format

BSA Free

Concentration

1 mg/ml

Product Specifications

Immunogen

Antibody was raised against a 12 amino acid synthetic peptide from near the amino terminus of human CDNF. The immunogen is located within the first 50 amino acids of CDNF. Amino Acid Squence: QGQEAGGRPGAD

Specificity

This antibody does not cross-react with MANF.

Clonality

Polyclonal

Host

Rabbit

Isotype

IgG

Description

Novus Biologicals Rabbit CDNF Antibody - BSA Free (NBP1-76835) is a polyclonal antibody validated for use in IHC, WB, ELISA and ICC/IF. All Novus Biologicals antibodies are covered by our 100% guarantee.

Scientific Data Images for CDNF Antibody - BSA Free

Western Blot: CDNF AntibodyBSA Free [NBP1-76835]

Western Blot: CDNF AntibodyBSA Free [NBP1-76835]

Western Blot: CDNF Antibody [NBP1-76835] - A-20 cell lysate in (A) the absence and (B) the presence of blocking peptide with CDNF antibody at 1 ug/ml.
CDNF Antibody - BSA Free

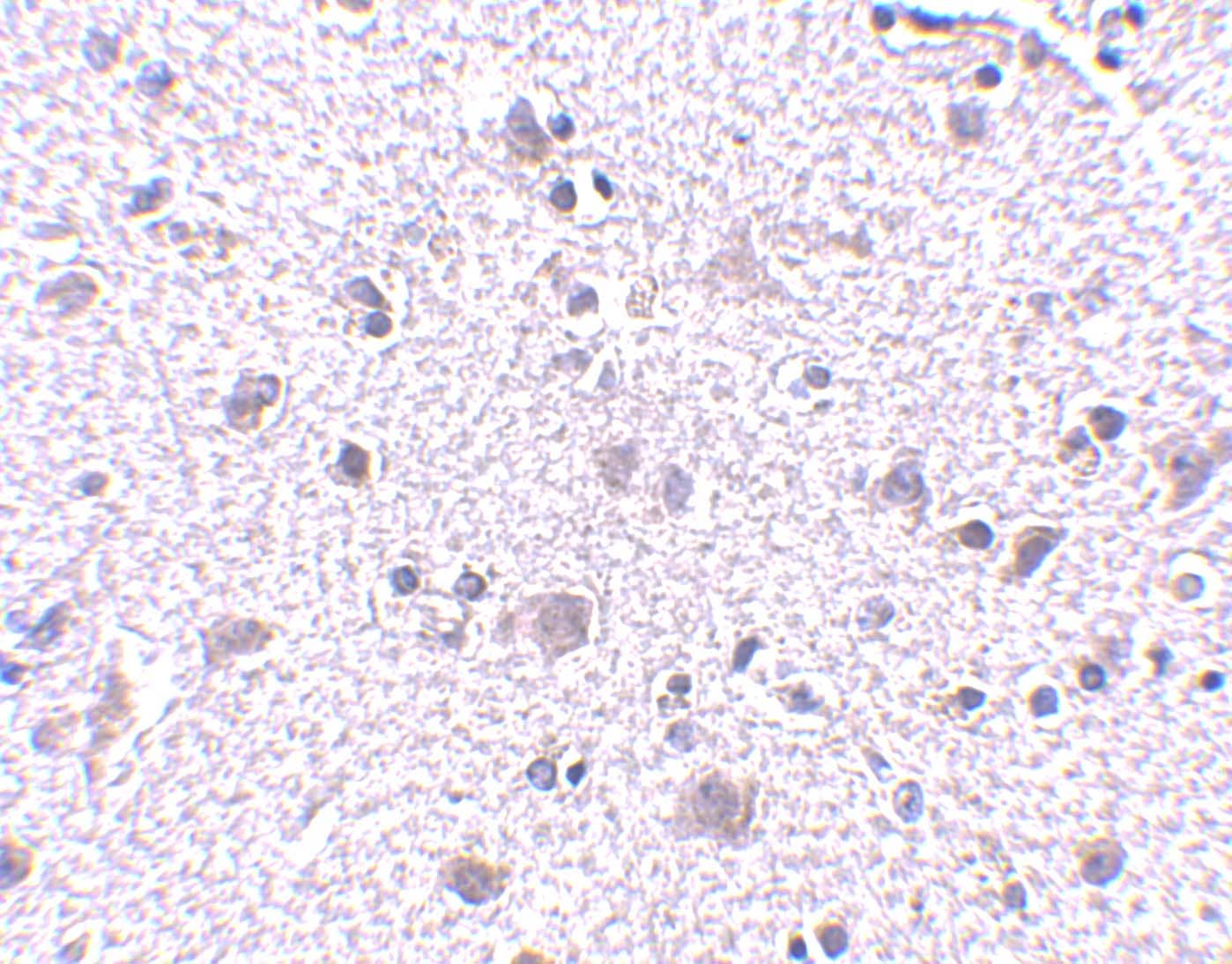
Immunohistochemistry: CDNF Antibody - BSA Free [NBP1-76835] -

Immunohistochemistry: CDNF Antibody - BSA Free [NBP1-76835] - Immunohistochemistry of CDNF in human brain tissue with CDNF antibody at 5 ug/mL.
CDNF Antibody - BSA Free

Immunocytochemistry/ Immunofluorescence: CDNF Antibody - BSA Free [NBP1-76835] -

Immunocytochemistry/ Immunofluorescence: CDNF Antibody - BSA Free [NBP1-76835] - Immunofluorescence of CDNF in Human Brain cells with CDNF antibody at 20 ug/mL.

Applications for CDNF Antibody - BSA Free

Application
Recommended Usage

ELISA

1:100-1:2000

Immunocytochemistry/ Immunofluorescence

20 ug/ml

Immunohistochemistry

5 ug/ml

Immunohistochemistry-Paraffin

5 ug/ml

Western Blot

1 ug/ml

Formulation, Preparation, and Storage

Purification

Peptide affinity purified

Formulation

PBS

Format

BSA Free

Preservative

0.02% Sodium Azide

Concentration

1 mg/ml

Shipping

The product is shipped with polar packs. Upon receipt, store it immediately at the temperature recommended below.

Stability & Storage

Store at 4C.

Background: CDNF

The conserved dopamine neurotrophic factor (CDNF) is a neurotrophic factor for dopaminergic neurons and highly homologous to the mesencephalic-astrocyte-derived neuro-trophic factor. Somewhat surprisingly, CDCF is expressed at higher levels in tissues such as heart, skeletal muscle and testes than in brain. Similar to the glial cell line-derived neurotrophic factor (GDNF), CDNF can prevent the 6-hydroxylamine (6-OHDA)-induced degeneration of dopaminergic neurons in a rat model of Parkinson's disease. Furthermore, CDNF was able to restore the dopaminergic function and prevent the degeneration of dopaminergic neurons in the substantia nigra, suggesting that CDNF might be suitable for the treatment of Parkinson's disease. At least two isoforms of CDNF are known to exist. This antibody does not cross-react with MANF.

Long Name

Conserved Dopamine Neurotrophic Factor

Alternate Names

ARMETL1

Gene Symbol

CDNF

UniProt

Additional CDNF Products

Product Documents for CDNF Antibody - BSA Free

Certificate of Analysis

To download a Certificate of Analysis, please enter a lot number in the search box below.

Product Specific Notices for CDNF Antibody - BSA Free

This product is for research use only and is not approved for use in humans or in clinical diagnosis. Primary Antibodies are guaranteed for 1 year from date of receipt.

Loading...
Loading...
Loading...
Loading...