Skip to main content

Cdk7 Antibody - BSA Free

Novus Biologicals, part of Bio-Techne | Catalog # NBP1-86666

Novus Biologicals, part of Bio-Techne
Catalog #
Availability
Size / Price
Qty
Loading...
NBP1-86666
NBP1-86666-25ul

Key Product Details

Validated by

Orthogonal Validation

Species Reactivity

Validated:

Human

Predicted:

Rat (92%). Backed by our 100% Guarantee.

Applications

Immunohistochemistry, Immunohistochemistry-Paraffin, Western Blot

Label

Unconjugated

Antibody Source

Polyclonal Rabbit IgG

Format

BSA Free

Concentration

Concentrations vary lot to lot. See vial label for concentration. If unlisted please contact technical services.

Product Specifications

Immunogen

This antibody was developed against Recombinant Protein corresponding to amino acids: GCILAELLLRVPFLPGDSDLDQLTRIFETLGTPTEEQWPDMCSLPDYVTFKSFPGIPLHHIFSAAGDDLLDLIQGLFLFNPCARITATQALKMKYFSNRPGPTPGCQLPRPNCPVETLKEQSNPALAIKRKRTEALEQGGLPKKLI

Reactivity Notes

Immunogen displays the following percentage of sequence identity for non-tested species: Mouse (89%)

Clonality

Polyclonal

Host

Rabbit

Isotype

IgG

Description

Novus Biologicals Rabbit Cdk7 Antibody - BSA Free (NBP1-86666) is a polyclonal antibody validated for use in IHC and WB. All Novus Biologicals antibodies are covered by our 100% guarantee.

Scientific Data Images for Cdk7 Antibody - BSA Free

Cdk7 Antibody - BSA Free Western Blot: Cdk7 Antibody - BSA Free [NBP1-86666]

Western Blot: Cdk7 Antibody - BSA Free [NBP1-86666]

Analysis in human cell lines Caco-2 and MCF-7 using Anti-CDK7 antibody. Corresponding CDK7 RNA-seq data are presented for the same cell lines. Loading control: Anti-PPIB.
Immunohistochemistry-Paraffin: Cdk7 Antibody [NBP1-86666]

Immunohistochemistry-Paraffin: Cdk7 Antibody [NBP1-86666]

Immunohistochemistry-Paraffin: Cdk7 Antibody [NBP1-86666] - Staining in human testis and liver tissues using NBP1-86666 antibody. Corresponding CDK7 RNA-seq data are presented for the same tissues.
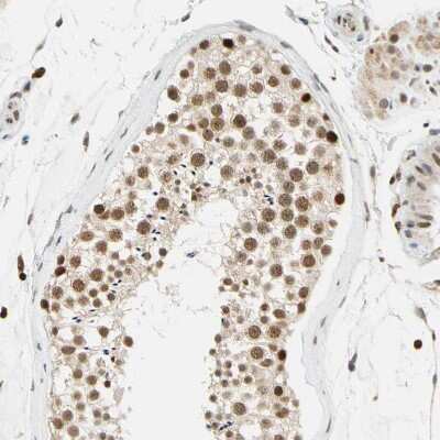
Immunohistochemistry-Paraffin: Cdk7 Antibody [NBP1-86666]

Immunohistochemistry-Paraffin: Cdk7 Antibody [NBP1-86666]

Immunohistochemistry-Paraffin: Cdk7 Antibody [NBP1-86666] - Staining of human testis shows strong nuclear positivity in cells in seminiferous ducts.

Applications for Cdk7 Antibody - BSA Free

Application
Recommended Usage

Immunohistochemistry

1:200 - 1:500

Immunohistochemistry-Paraffin

1:200-1:500

Western Blot

0.04 - 0.4 ug/ml
Application Notes
For IHC-Paraffin, HIER pH 6 retrieval is recommended.

Formulation, Preparation, and Storage

Purification

Affinity purified

Formulation

PBS (pH 7.2) and 40% Glycerol

Format

BSA Free

Preservative

0.02% Sodium Azide

Concentration

Concentrations vary lot to lot. See vial label for concentration. If unlisted please contact technical services.

Shipping

The product is shipped with polar packs. Upon receipt, store it immediately at the temperature recommended below.

Stability & Storage

Store at 4C short term. Aliquot and store at -20C long term. Avoid freeze-thaw cycles.

Background: Cdk7

Cdk7 is encoded by this gene is a member of the cyclin-dependent protein kinase (CDK) family. CDK family members are highly similar to the gene products of Saccharomyces cerevisiae cdc28, and Schizosaccharomyces pombe cdc2, and are known to be important regulators of cell cycle progression. This protein forms a trimeric complex with cyclin H and MAT1, which functions as a Cdk-activating kinase (CAK). It is an essential component of the transcription factor TFIIH, that is involved in transcription initiation and DNA repair. This protein is thought to serve as a direct link between the regulation of transcription and the cell cycle.

Long Name

Cyclin-dependent kinase 7

Alternate Names

CDKN7, MO15, p39 Mo15, STK1

Gene Symbol

CDK7

Additional Cdk7 Products

Product Documents for Cdk7 Antibody - BSA Free

Certificate of Analysis

To download a Certificate of Analysis, please enter a lot number in the search box below.

Product Specific Notices for Cdk7 Antibody - BSA Free

This product is for research use only and is not approved for use in humans or in clinical diagnosis. Primary Antibodies are guaranteed for 1 year from date of receipt.

Loading...
Loading...
Loading...
Loading...